Objectif
Diagnostiquer un adénome hypophysaire.
L’hypophyse est une glande située à la base du cerveau, dans une cavité osseuse appelée selle turcique (fig. 1). Cette glande contrôle de nombreux processus vitaux tels que la croissance, la maturation sexuelle, la reproduction, le stress, le métabolisme basal. Elle assure une fonction de relais entre l’hypothalamus et les glandes endocrines périphériques.
L’hypophyse est composée de deux lobes :
  • l’antéhypophyse sécrète l’hormone de croissance (GH), les gonadotrophines (hormone lutéinisante [LH] et hormone folliculostimulante [FSH]), la thyréostimuline (TSH), la prolactine et l’hormone adrénocorticotrope (ACTH). La sécrétion de ces hormones est stimulée par les hormones hypothalamiques : growth hormone-releasing hormone, ou hormone de libération de l’hormone de croissance (GHRH) pour la GH, hormone thyréotrope (TRH) pour la TSH, gonadotropin-releasing hormone, ou gonadolibérine (GnRH) pour la FSH et la LH. La sécrétion de prolactine est inhibée en continu par la dopamine ;
  • la posthypophyse est le siège de la sécrétion d’hormone antidiurétique (ADH) et d’ocytocine.
Les adénomes hypophysaires sont des tumeurs bénignes qui se développent au sein de l’antéhypophyse. Ils peuvent se révéler soit du fait de leur taille, soit du fait de leur caractère sécrétant. Il faut penser à ce diagnostic devant trois types de syndromes, souvent associés :
  • un syndrome tumoral en cas de macro-adénome (céphalées, troubles visuels) ;
  • un syndrome d’hypersécrétion hormonale (hyperprolactinémie, acromégalie, hypercorticisme, exceptionnellement hyperthyroïdie) ;
  • un syndrome d’insuffisance antéhypophysaire.
On distingue les adénomes somatotropes sécrétant de la GH, les adénomes lactotropes sécrétant de la prolactine, les adénomes gonadotropes secrétant de la LH ou de la FSH, et les adénomes thyréotropes sécrétant de la TSH (très rares). Des sécrétions mixtes sont possibles (GH et prolactine étant les plus fréquemment associées).

Épidémiologie

La prévalence des adénomes hypophysaires est d’environ 80 cas pour 100 000 habitants, et l’incidence de 3 à 5 nouveaux cas par million d’habitants.
C’est l’adénome à prolactine qui est le plus fréquent (57 %), suivi des adénomes non fonctionnels dans 11 % des cas et de l’acromégalie dans 11 % des cas. L’adénome corticotrope représente 2 % des cas.
Les adénomes non fonctionnels sont plus fréquents chez les hommes (57 %), et les prolactinomes chez les femmes (76 %).

Classification (rang B)

La taille des adénomes hypophysaires les divise en deux classes. On distingue les micro-adénomes (< 10 mm), qui sont intrasellaires, et les macro-adénomes (> 10 mm).
Les adénomes peuvent être invasifs en infiltrant les sinus caverneux sur les côtés, ou le plancher sellaire en bas, ou la citerne optochiasmatique, voire le plancher du troisième ventricule en haut.

Mode de découverte

Syndrome tumoral

Le syndrome tumoral associe des céphalées et des troubles visuels. Les céphalées sont le plus souvent rétro-­orbitaires, pulsatiles. L’ancienneté et la fréquence des céphalées sont variables.
Les troubles visuels sont liés à une compression du chiasma optique, qui est situé juste au-dessus de l’hypophyse. Les patients peuvent se plaindre d’une sensation de flou visuel, de voile devant les yeux, plus rarement ils remarquent une altération de leur champ de vision (accident de voiture par non-perception d’un autre véhicule arrivant sur le côté).
Trois examens ophtalmologiques sont à réaliser pour diagnostiquer ces troubles visuels :
  • l’acuité visuelle, qui est le plus souvent conservée ;
  • le classique champ visuel de Goldmann, ou aujourd’hui le champ visuel automatisé, qui peut montrer une quadranopsie bitemporale supérieure, ou une hémianopsie bitemporale si les troubles sont plus sévères. Parfois, les patients ont une hémianopsie latérale homonyme si la tumeur comprime une bandelette optique en arrière du chiasma ;
  • le fond d’œil, à la recherche d’une pâleur papillaire, signant une souffrance ancienne du nerf optique et donc un moindre espoir de récupération visuelle après chirurgie.
Dans 5 à 10 % des cas, les patients présentent une apoplexie hypophysaire. L’apoplexie est liée à un saignement intra-adénomateux, conduisant à une augmentation brutale du volume de l’adénome. Le tableau clinique est très brutal comme « un coup de tonnerre dans un ciel serein », et peut associer :
  • des céphalées intenses et brutales ;
  • un syndrome méningé ;
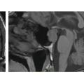
  • une paralysie oculomotrice liée à une compression des nerfs crâniens (III, IV et VI) dans le sinus caverneux (fig. 1) ;
  • des troubles visuels allant de la baisse de l’acuité visuelle à la cécité ;
  • un ptosis (atteinte du III extrinsèque), avec mydriase (atteinte du III intrinsèque) ;
  • un syndrome confusionnel, voire un coma ;
  • des signes d’insuffisance hypophysaire, notamment corticotrope.

Hypersécrétion

Hyperprolactinémie

Chez la femme
La première manifestation est une perturbation du cycle menstruel : aménorrhée secondaire dans 90 % des cas (absence totale de règles) ou oligoménorrhée (moins de 4 cycles par an). L’hyperprolactinémie bloque la pulsatilité de la GnRH au niveau hypothalamique, or cette pulsatilité est indispensable à la stimulation des cellules gonadotropes pour la production de FSH et LH, qui stimulent la folliculogenèse et la production de l’estradiol.
Dans de rares cas, les femmes conservent des cycles mais qui sont le plus souvent anovulatoires : une courbe de température et un dosage de progestérone en deuxième partie de cycle permettent de faire le diagnostic d’anovulation.
Le deuxième signe clinique d’hyperprolactinémie chez la femme est la galactorrhée (fig. 4D), qui est le plus souvent provoquée. Elle correspond à un liquide lactescent. Attention toutefois, une galactorrhée peut persister après allaitement. La découverte d’une galactorrhée ne signe pas une hyperprolactinémie mais un dosage de prolactinémie est nécessaire devant toute galactorrhée.
Chez la jeune fille prépubaire, on observe une aménorrhée primaire et un retard pubertaire.
Chez l’homme
La baisse de la libido et les troubles de l’érection sont au premier plan. Pourtant, l’hyperprolactinémie est souvent diagnostiquée plus tardivement, au stade de syndrome tumoral, les signes cliniques initiaux ayant été négligés.
Une gynécomastie peut être observée mais n’est pas systématique.
L’enfant ou l’adolescent présente un retard pubertaire ou un arrêt de la puberté.
Diagnostic biologique
Tout dosage élevé de prolactine doit être contrôlé dans un laboratoire spécialisé (utilisant une autre méthode de dosage). En effet, certains kits de dosage ne sont pas assez précis et rendent de fausses valeurs de prolactinémie (rang B). De plus, des chiffres de prolactinémie faussement élevés peuvent être dus à une macroprolactinémie, qui correspond à des agrégats de molécules de prolactine et d’immunoglobulines. Une chromatographie de la prolacti­némie ou un dosage après traitement par polyéthylène glycol permet de doser la prolactine monomérique (rang C).
Diagnostic étiologique (rang B) 
Après confirmation de l’hyperprolactinémie par deux dosages dans des laboratoires différents, la première étape est d’éliminer les hyperprolactinémies non adénomateuses :
  • l’hyperœstrogénie de la grossesse ;
  • les hyperprolactinémies médicamenteuses : les médicaments inhibant la dopamine élèvent les chiffres de prolactine (neuroleptiques, antidépresseurs, antivomitifs, opiacés). Il est conseillé de vérifier pour chaque médicament pris par le patient la possibilité d’une hyperprolactinémie ;
  • l’hypothyroïdie sévère, où l’élévation de la TRH peut stimuler les cellules lactotropes (cause rare d’hyperprolactinémie) ;
  • l’insuffisance rénale chronique (diminution de la clairance de la prolactine).
Les hyperprolactinémies tumorales peuvent être de deux origines :
  • sécrétion de prolactine par un micro-adénome (prolactinémie < 200 ng/mL) ou par un macro-adénome hypophysaire (prolactinémie > 200 ng/mL) ;
  • hyperprolactinémie de déconnexion, liée à une compression de la tige pituitaire, qui entraîne une levée du signal inhibiteur de la dopamine (macro-adénome à l’imagerie par résonance magnétique [IRM] et prolactinémie < 200 ng/mL).
La stratégie diagnostique devant une hyperprolactinémie est schématisée sur la fig. 2.
 

Excès d’hormone de croissance : acromégalie

Signes cliniques
L’acromégalie est caractérisée par un syndrome dysmorphique se développant lentement. L’inspection des photographies plus anciennes (carte d’identité, permis de conduire) permet de voir l’évolution de ces déformations progressives et de dater approximativement le début de la maladie. Les extrémités (mains et pieds) sont élargies, conduisant au changement de pointure et à un agrandissement des bagues ou de l’alliance. Au niveau du visage, le nez est épaté, les plis marqués, le front bombé, les pommettes saillantes, et un prognathisme peut être visible.
En sus de ces déformations, les patients se plaignent de signes généraux tels que des sueurs, surtout nocturnes, des céphalées (quelle que soit la taille de l’adénome), des douleurs articulaires, des paresthésies des mains et une asthénie (fig. 4B).
À l’interrogatoire, un ronflement voire des symptômes d’apnées du sommeil doivent être recherchés.
L’hypertension artérielle est présente chez 20 à 50 % des patients.
Diagnostic de l’acromégalie 
En cas de suspicion d’acromégalie, l’insulin-like growth factor 1 (IGF-1) est dosé, en examen de dépistage. Pour confirmer l’acromégalie, on dose la GH lors de l’hyperglycémie provoquée per os (HGPO). Une IGF-1 supérieure à la normale pour l’âge et une absence de freinage de la GH à l’HGPO pose le diagnostic biologique d’acromégalie (rang B).
Chez l’acromégale, la GH sous HGPO reste supérieure à 0,4 ng/mL (1 mUI/L), voire présente une stimulation paradoxale (rang C).
Complications de l’acromégalie
Elles sont principalement cardiovasculaires, articulaires, métaboliques et respiratoires.
Sur le plan articulaire, les patients présentent des arthralgies mécaniques périphériques et des lombalgies qui évoluent vers l’arthrose à partir de 45 ans.
Le syndrome du canal carpien est très fréquent, lié à un œdème du nerf médian.
Sur le plan cardiovasculaire, l’acromégalie conduit à une augmentation du débit cardiaque, une cardiomégalie, une valvulopathie. L’absence de traitement de l’acromégalie conduit à une insuffisance cardiaque congestive.
Sur le plan métabolique, la GH est hyperglycémiante et induit une insulinorésistance. L’intolérance au glucose et le diabète sont des complications fréquentes de l’acromégalie.
Le syndrome des apnées du sommeil touche 60 à 80 % des acromégales.
L’acromégalie entraîne une organomégalie, avec une augmentation du risque de goitre et le développement de nodules thyroïdiens. La prévalence des polypes coliques est également augmentée.
Bilan d’une acromégalie (rang B)
Il comprend donc :
  • les dosages de l’IGF-1 et la sécrétion de GH sous HGPO ;
  • l’évaluation du retentissement sur les autres axes hypophysaires et le retentissement visuel en cas de macro-­adénome ;
  • le bilan tumoral (IRM hypophysaire) ;
  • la recherche de complications : échographie cardiaque, échographie thyroïdienne, coloscopie, pression artérielle, signes de syndrome des apnées du sommeil, glycémie.
 

Adénome corticotrope : hypercorticisme ACTH-dépendant d’origine hypophysaire (maladie de Cushing)

Signes cliniques
Les signes morphologiques permettent d’évoquer le diag­nostic. La prise de poids est le symptôme le plus fréquent, localisé au niveau faciotronculaire : visage bouffi, comblement des creux sus-claviculaires, bosse de bison. Cette répartition des graisses contraste avec une amyotrophie des ceintures et des cuisses, mise en évidence par le signe du tabouret. La peau est érythrosique avec des télangiectasies, fragile avec des ecchymoses après des traumatismes mineurs ; les flancs et la racine des membres sont le siège de vergetures larges, pourpres, horizontales (fig. 4A). Ces signes sont liés à l’effet catabolique du cortisol et sont spécifiques du syndrome de Cushing.
Chez la femme, des signes d’hyperandrogénie se développent : hirsutisme, hyperséborrhée, voire acné. Par ailleurs, l’hypercorticisme induit un hypogonadisme hypogonadotrope fonctionnel avec spanioménorrhée, voire aménorrhée, chez la femme et impuissance chez l’homme, ainsi qu’une baisse de la libido.
Sur le plan cardiovasculaire, l’hypertension artérielle est très fréquente,
Sur le plan neuropsychique, l’excès de cortisol peut aggraver ou révéler un trouble psychiatrique latent, des troubles du sommeil, un syndrome dépressif.
Diagnostic biologique
Il se fait en deux temps (rang B).
Dans un premier temps, il est nécessaire d’affirmer une sécrétion excessive de cortisol.
Pour dépister un syndrome de Cushing, un des trois tests possibles en externe est à réaliser en première intention : le dosage du cortisol sur les urines de 24 heures (CLU), le freinage minute ou le cortisol salivaire nocturne (23 h-minuit) ;
  • pour le dosage du CLU, un recueil complet des urines de 24 heures est nécessaire, et la créatinine urinaire est dosée pour s’assurer du bon recueil (urines du matin jetées, puis recueil de toutes les urines de la journée et de la nuit jusqu’aux premières urines du lendemain matin) ;
  • le freinage minute consiste en la prise de 1 mg de dexaméthasone à 23 h-minuit, et en un dosage le lendemain matin à 8 h du cortisol plasmatique. La dexaméthasone est un glucocorticoïde de synthèse puissant qui n’est pas reconnu quand on dose le cortisol sanguin ou urinaire (on considère que le test est normal [freinage positif] si la cortisolémie est < 1,8 µg/dL [rang C]) ;
  • pour le cortisol salivaire, une salivette est à mâcher pendant une minute entre 23 h et minuit, puis à déposer au laboratoire le lendemain matin. Ce dosage n’est pas remboursé. Une valeur basse à minuit – moment où la sécrétion de cortisol est la plus basse – élimine un syndrome de Cushing (cycle nycthéméral conservé) [rang C] ; à l’inverse, une valeur élevée est en faveur du diagnostic d’hypersécrétion (rang C).
Un de ces trois tests est à choisir en dépistage. Le cortisol libre urinaire et le cortisol salivaire reflètent le cortisol plasmatique libre. Ceci évite la surévaluation due à l’augmentation de la protéine porteuse en cas de traitement œstrogénique, qui augmente la valeur du cortisol plasmatique – mesurant le cortisol total [rang C].
Si un test est normal et la suspicion clinique faible, on ne poursuit pas les explorations ; si la suspicion clinique est forte, un deuxième test peut être utilisé dans l’immédiat ou à distance.
Si un test de dépistage est en faveur d’un syndrome de Cushing, un deuxième test de dépistage est réalisé. Si les deux tests de dépistage sont concordants, le syndrome de Cushing est affirmé.
Des examens de deuxième intention sont nécessaires si les deux tests sont discordants :
  • cycle nycthéméral du cortisol, la sécrétion étant physiologiquement plus importante le matin à 8 h, avec un nadir vers 23 h-minuit. En cas de syndrome de Cushing, on observe une perte du rythme circadien, avec un cycle dit « plat » ;
  • un test de freinage faible ou freinage standard est plus rarement réalisé car les sensibilité et spécificité ne sont pas meilleures que le freinage minute (rang C). Il consiste en un recueil d’urine pendant 48 heures avec prise concomitante de dexaméthasone 0,5 mg toutes les six heures. Un CLU < 10 µg/24 heures élimine le diagnostic de syndrome de Cushing.
Les tests de freinage testent la perte du rétrocontrôle négatif du cortisol sur l’ACTH (rang C).
Un test dexaméthasone-corticotropin releasing hormone (CRH) permet de distinguer le pseudo-Cushing (rang C).
Anomalies biologiques non spécifiques 
L’intolérance aux hydrates de carbone et l’hypertriglycéridémie sont fréquentes (60 % des cas), le diabète plus rare, lié à une insulinorésistance (30 % des cas).
L’hémogramme peut objectiver une hyperleucocytose à polynucléaires neutrophiles, du fait d’une démargination des leucocytes (rang C).
Sur le plan endocrinien, l’axe gonadotrope est freiné par l’hypercorticisme (hypogonadisme hypogonadotrope) [rang C].
Diagnostic étiologique (rang B)
Son but est d’affirmer le caractère hypophysaire de la sécrétion. Cette étape intervient après avoir affirmé le syndrome de Cushing (qui signifie hypersécrétion de cortisol). La première étape est d’affirmer le caractère ACTH-dépendant de la sécrétion de cortisol. Pour ce faire, le dosage d’ACTH de base à 8 h est réalisé :
  • une ACTH effondrée affirme le caractère ACTH-indépendant, autrement dit une origine surrénalienne (adénome ou corticosurrénalome malin) ;
  • inversement, une valeur d’ACTH dans la norme ou plus élevée signe le caractère ACTH-dépendant.
Devant un syndrome de Cushing ACTH-dépendant, deux causes sont possibles (rang C) : l’adénome corticotrope (ou maladie de Cushing) et la sécrétion ectopique d’ACTH (d’origine tumorale : tumeur bronchique à petites cellules le plus souvent). La distinction n’est pas toujours simple, et repose sur un faisceau d’arguments :
  • présence d’un micro-adénome à l’IRM ;
  • test de freinage fort à la dexaméthasone positif (2 mg de dexaméthasone toutes les 6 heures, pendant 48 heures, recueil des urines le 2e jour et cortisol ACTH de 8 h à la 48e heure ;
  • test à la CRH positif ;
  • test à la desmopressine (dDAVP) positif (dû à l’expression ectopique de récepteur à la dDAVP sur les cellules adénomateuses corticotropes).
Ces résultats orientent vers un adénome corticotrope qui reste sensible à la stimulation et à la freination par un freinage fort, contrairement au syndrome de sécrétion ectopique d’ACTH où la sécrétion est autonome et indépendante des mécanismes de stimulation et de freinage. En cas de doute, un cathétérisme des sinus pétreux correspondant aux veines de drainage de l’hypophyse peut être réalisé après injection de CRH, afin de comparer en simultané la sécrétion centrale (hypophysaire) et la sécrétion périphérique (prélevée dans une veine périphérique) d’ACTH. Un gradient centropériphérique est retrouvé en cas de maladie de Cushing (rang C).
Le principal diagnostic différentiel des syndromes de Cushing ACTH-dépendant est le pseudo-Cushing, par hypercorticisme fonctionnel. Le contexte est souvent évocateur : syndrome dépressif, alcoolisme, psychose, stress intense. Ces situations entraînent une élévation modérée de la sécrétion de cortisol et une résistance relative aux glucocorticoïdes (rang B).
Le test au CRH réalisé après un freinage à la dexaméthasone et le contexte permettent de faire le diagnostic (rang C).
L’arbre diagnostique devant un hypercorticisme clinique est détaillé dans la figure 3.
 

Autres hypersécrétions

Adénome gonadotrope : excès de FSH et/ou de LH
Les adénomes gonadotropes sont souvent asymptomatiques et sont révélés par le syndrome tumoral, notamment chez l’homme. La symptomatologie est celle d’une insuffisance gonadotrope.
Sur le plan biologique, la testostérone ou l’estradiol sont bas alors que les gonadotrophines ne sont pas élevées (dans les valeurs normales ou basses) [rang B].
Le diagnostic d’adénome gonadotrope est le plus souvent histologique, par la démonstration de la présence de gonadotrophines en immunohistochimie (rang C).
Adénome thyréotrope (rang C)
C’est une cause rarissime. Le tableau clinique est celui d’une hyperthyroïdie. Sur le plan biologique, la T3 et la T4 libres sont élevées, la TSH est normale ou élevée (sécrétion inappropriée de TSH).

Insuffisance hypophysaire

Un tableau d’insuffisance antéhypohysaire peut amener au diagnostic de macro-adénome hypophysaire. Cependant, le début est souvent insidieux et la symptomatologie peu spécifique. Classiquement, l’aspect d’un patient en panhypopituitarisme est le suivant : le visage est pâle ; la peau mince, sèche, et froide ; les cheveux sont fins ; il existe une dépilation des aisselles et du pubis.
 

Signes propres aux déficits de chaque fonction hypophysaire

Signes liés à l’insuffisance corticotrope 
Le déficit corticotrope entraîne une asthénie intense, à prédominance matinale, un amaigrissement avec anorexie. Par ailleurs, il existe un risque (faible) d’hypoglycémie peu sévère (puisque le déficit en cortisol entraîne un déficit de la néoglucogenèse hépatique [rang C]).
Les patients présentent une dépilation axillaire et pubienne liée aux déficits en androgènes surrénaliens.
La zone glomérulée n’est pas touchée par l’insuffisance corticotrope, ainsi le système rénine-angiotensine n’est pas atteint : il n’y a pas d’hyperkaliémie ni de perte de sel comme dans l’insuffisance surrénale, et l’hypo­tension est rare (rang C). En cas de décompensation corticotrope, on observe une hyponatrémie de dilution liée à la sécrétion inappropriée d’ADH (hormone antidiurétique ou vaso­pressine) secondaire à la carence en cortisol (rang C).
Signes liés à l’insuffisance gonadotrope 
Chez l’homme, l’interrogatoire retrouve une perte de l’érection matinale spontanée, une impuissance dont les patients ne se plaignent pas toujours du fait d’une baisse de la libido, et une diminution de la fréquence de rasage. À l’examen clinique, les testicules peuvent être de petite taille, de consistance molle, si le déficit est ancien.
Chez la femme avant l’âge de la ménopause, l’aménorrhée sans bouffées de chaleur est un signe fréquent, associée à une sécheresse et une atrophie des muqueuses vaginales et vulvaire entraînant une dyspareunie.
Signes liés à l’insuffisance thyréotrope
Ce sont les mêmes que dans l’hypothyroïdie périphérique mais moins marqués : le syndrome cutanéomuqueux (peau infiltrée) est souvent absent en dehors de la pâleur, reste un syndrome d’hypométabolisme peu spécifique : fatigabilité à l’effort, signes cardiaques (bradycardie) [fig. 4C].
Signes liés à l’insuffisance somatotrope 
Chez l’adulte, les conséquences cliniques sont pauci­symptomatiques : diminution de la masse et de la force musculaires, asthénie à l’effort, modification de la répartition des graisses avec tendance à l’adiposité abdominale, altération de la qualité de vie.
Chez l’enfant, le déficit en GH entraîne un retard de croissance, une cassure de la courbe de croissance.
 

Bilan hormonal d’un déficit antéhypophysaire

De façon globale, dans les déficits hypophysaires, les hormones hypophysaires sont normales, et les hormones périphériques basses. Ainsi, un dosage isolé des hormones hypophysaires ne permet pas de faire le diagnostic.
Déficit corticotrope 
Le test de référence est l’hypoglycémie insulinique (rang C). Le test d’hypoglycémie insulinique consiste à injecter de l’insuline en intraveineux, et de prélever régulièrement le cortisol et l’ACTH (rang C). Ce test est valide si la glycémie baisse en dessous de 0,4 g/L (2,2 mmol/L). L’insuffisance corticotrope est définie par une valeur au pic de sécrétion inférieure à 180 µg/L (500 nmol/L) (rang C). Les contre-indications sont l’insuffisance coronarienne et les antécédents de crise d’épilepsie (rang C).
Étant donné les inconvénients de l’hypoglycémie insulinique, d’autres tests peuvent être utilisés comme le test au Synacthène ou le test à la CRH (rang B). Le Synacthène immédiat teste la capacité des surrénales à produire du cortisol (rang B). Après injection de 250 mg de ­Synacthène (ACTH de synthèse) en intramusculaire, le cortisol est dosé à 30 et 60 minutes. Si le cortisol est supérieur à 180 µg/L (500 nmol/L), il n’y a pas de déficit (rang B).
C’est un mauvais test pour évaluer l’étage hypothalamo-hypophysaire puisque ce test peut être normal (pic > 180 µg/L) en cas d’insuffisance corticotrope partielle et/ou récente (datant de moins de 3 mois) [rang C].
Un simple dosage du cortisol plasmatique à 8 h a une mauvaise performance (rang B). Cependant, une valeur de cortisolémie à 8 h inférieure à 50 µg/L (140 nmol/L) affirme un déficit en cortisol (d’origine centrale ou périphérique) et une valeur supérieure à 135 µg/L (365 nmol/L) l’élimine (rang B).
Lorsque la sécrétion de cortisol est insuffisante, c’est l’ACTH à 8 h qui affirme la cause du déficit :
  • hypophysaire (ou central ou insuffisance corticotrope) si l’ACTH à 8 h est normale ou basse ;
  • surrénalien (uropériphérique) si l’ACTH à 8 h est élevée.
Déficit somatotrope
Il doit être recherché devant tout retard de croissance (rang B). Chez l’adulte, sa recherche n’est nécessaire qu’en cas de projet de traitement (rang B). L’IGF-1 ne permet pas le diagnostic car ses performances dans les valeurs basses sont mauvaises. Ainsi, une IGF-1 basse ne permet pas le diagnostic d’une insuffisance somatotrope et une IGF-1 normale ne l’élimine pas. Un test de stimulation de la sécrétion de GH est nécessaire (rang B).
L’hypoglycémie insulinique est un test de référence. Elle permet de tester l’axe corticotrope et somatotrope dans le même temps (rang C). Un autre test utilisé est la GHRH couplée à l’arginine (growth hormone-releasing hormone) [rang C].
Déficit thyréotrope (rang B) 
Un bilan de base suffit à affirmer le diagnostic : la T4 libre est basse, sans élévation de la TSH, qui est normale. Ainsi, un déficit thyréotrope ne peut pas être mis en évidence par un dosage de TSH isolée.
Déficit gonadotrope (rang B) 
Chez la femme, avant la ménopause, le diagnostic est principalement clinique. Sur le plan biologique, l’estradiol est le plus souvent bas en phase folliculaire sans élévation des gonadotrophines, qui restent normales. Après la ménopause, les gonadotrophines sont basses ou « normales » en cas d’insuffisance gonadotrope alors qu’elles sont normalement élevées après la ménopause. Chez l’homme, le déficit gonadotrope associe les signes cliniques à des valeurs basses de testostérone en regard de gonadotrophines normales ou parfois basses.
Déficit lactotrope (rang B)
Il est très rare. Le plus souvent, la prolactinémie est normale, ou haute en cas de compression de tige avec ­hyperprolactinémie de déconnexion, par inhibition du rétrocontrôle par la dopamine.

Diabète insipide

Il n’y a pas de diabète insipide central associé à un adénome hypophysaire, sauf après chirurgie. La présence d’un diabète insipide associé à une masse hypophysaire fait évoquer les diagnostics différentiels (craniopharyngiome, méningiome, germinome, pathologie infiltrative telle que la sarcoïdose…).

Imagerie

IRM hypophysaire

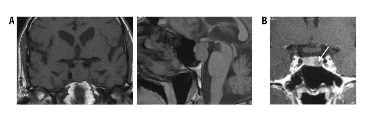
L’imagerie de référence est l’IRM hypophysaire, en coupe fine, avec injection (rang B).
Les micro-adénomes (< 10 mm) sont intrasellaires, ils apparaissent arrondis, homogènes (rang B), en hypo­signal en T1 et hypo-, iso- ou hypersignal en T2 (rang C). La prise de contraste est homogène, volontiers retardée par rapport au parenchyme sain (fig. 5) [rang C].
Les macro-adénomes (> 10 mm) s’étendent en extrasellaire (rang B), leur signal est iso-T1, et souvent hétérogène en T2, les plages nécrotiques apparaissent en hypersignal T2 (rang C). La prise de contraste est le plus souvent hétéro­gène hypo-intense par rapport à l’hypophyse saine (fig. 5) [rang C].

Diagnostics différentiels en imagerie

Les processus tumoraux intrasellaires les plus fréquents sont le craniopharyngiome et le méningiome.
Le craniopharyngiome apparaît en IRM comme une masse hétérogène, souvent kystique, avec une capsule prenant le contraste (rang C). Les calcifications sont fréquentes et nécessitent de réaliser un scanner en fenêtre osseuse car elles sont très mal visualisées en IRM (rang C).
Les méningiomes sont des lésions qui prennent très fortement le produit de contraste et qui « s’accrochent » à la dure-mère, donnant une image en « queue de comète » (rang C).
Les autres diagnostics différentiels sont la grosse hypophyse de la femme jeune, l’hypophysite auto-­immune, les métastases, la sarcoïdose, l’histiocytose, la tuberculose (rang C).

Conclusion

Les adénomes hypophysaires sont des lésions relativement fréquentes qui peuvent poser problème en raison de leur taille, entraînant des complications visuelles et des insuffisances hormonales ou des problèmes de sécrétion. Le diagnostic est à la fois clinique, biologique et radiologique.
Avertissement au lecteur : tous les éléments qui ne sont pas signalés en rang B ou C sont à considérer comme des données de rang A.
Points forts
Adénome hypophysaire

POINTS FORTS À RETENIR

Le syndrome tumoral (céphalées et troubles visuels) est lié à une extension suprasellaire d’un macro-adénome hypophysaire (> 10 mm), avec compression du chiasma par l’adénome ; il impose une étude du champ visuel (hémianopsie bitemporale).

L’IRM hypophysaire est l’examen de référence.

Les micro-adénomes (< 10 mm) posent le problème d’une hypersécrétion, qui est à rechercher par l’examen clinique et le bilan hormonal. L’hypersécrétion corticotrope ou somatotrope nécessite des tests dynamiques de freinage pour affirmer l’hypersécrétion.

Devant un macro-adénome hypophysaire, une insuffisance hypophysaire doit être recherchée. Le diagnostic biologique de l’insuffisance hypophysaire impose un dosage des hormones périphériques qui sont abaissées alors que les hormones hypophysaires sont normales. Un bilan dynamique est nécessaire pour les axes corticotrope et somatotrope.

La découverte d’un syndrome de Cushing (dépistage de première intention par cortisol libre urinaire ou cortisol salivaire à minuit ou freinage minute, test de deuxième intention par le cycle du cortisol ou le freinage faible à la dexaméthasone) impose un diagnostic étiologique reposant sur l’ACTH à 8 h dans un premier temps. Si celui-ci est normal ou élevé, d’autres tests distinguent la maladie de Cushing (adénome corticotrope) de la sécrétion ectopique d’ACTH (d’origine tumorale).

L’hyperprolactinémie doit être confirmée par un dosage en laboratoire spécialisé, elle peut être secondaire à une prise médicamenteuse (psychotropes) même si elle est le plus souvent liée à un adénome à prolactine. La sécrétion est proportionnelle à la taille. Ainsi une valeur de prolactinémie peu élevée (< 200 ng/mL) en regard d’un macro-adénome fait évoquer une hyperprolactinémie de déconnexion.

Un adénome hypophysaire ne s’accompagne pas de diabète insipide.

Dans cet article

Ce contenu est exclusivement réservé aux abonnés