De très nombreuses évolutions remodèlent la prise en charge du cancer du poumon depuis plusieurs années : études prometteuses ou en cours sur le dépistage du cancer bronchique, accès facilité au TEP-scanner, radiothérapie stéréotaxique chez les patients ayant un stade localisé mais non opérables… Mais la « mutation » principale reste l’avènement de la médecine personnalisée en cancérologie thoracique, fondée sur la mise en évidence de certaines altérations génétiques impliquées dans la tumorogenèse. L’immunothérapie bouleverse également les stratégies thérapeutiques, avec de nouveaux tests théranostiques.
En effet, alors que la proportion de patients non fumeurs ou petits fumeurs augmente au sein des cancers pulmonaires, plus de la moitié d’entre eux, quels que soient l’âge ou le sexe, seraient porteurs d’une mutation d’intérêt thérapeutique : mutation de l’EGFR, réarrangement impliquant ALK ou ROS1. Dans ce cas, un traitement par inhibiteur de tyrosine kinase per os ciblant l’anomalie peut être prescrit en première intention, permettant une meilleure tolérance comparée à la chimiothérapie, une plus grande efficacité en termes de taux de réponse et de survie, et une prise en charge entièrement ambulatoire. En cas de progression tumorale, des traitements de la même classe thérapeutique peuvent souvent être proposés à ces patients, avec les mêmes avantages en termes de survie et de tolérance comparés à la chimiothérapie classique.
C’est la raison pour laquelle la nouvelle classification des cancers pulmonaires de l’OMS 2015 intègre pleinement les données de biologie moléculaire en plus de l’histologie, afin d’orienter au plus juste la proposition thérapeutique.
En dehors des altérations EGFR, ALK et ROS1 pour lesquelles des thérapies ciblées ont l’AMM en première voire seconde ligne en Europe, de nombreuses autres mutations font l’objet d’essais thérapeutiques qui modifieront certainement encore nos pratiques à l’avenir.
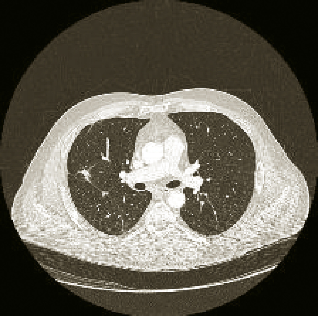
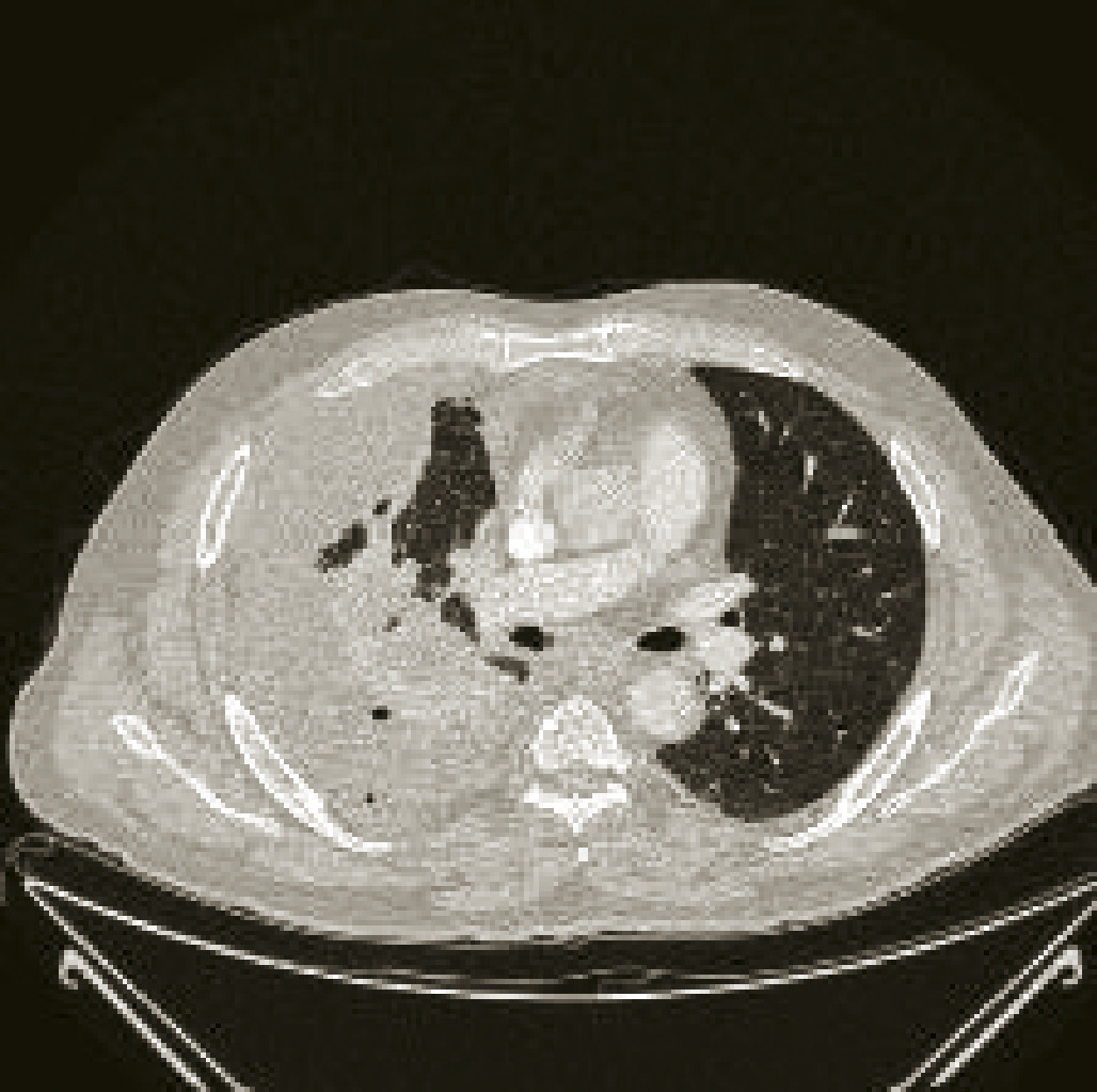
Voici ci-contre, afin d’illustrer l’importance à accorder à la recherche et la découverte de mutations d’intérêt thérapeutique, le cas d’un homme de 51 ans, non-fumeur, chez qui l’on découvre un adénocarcinome bronchique stade IV avec envahissement pleural et ganglionnaire majeur. Lafigure 1 correspond à son imagerie thoracique avant traitement, la figure 2 à son imagerie de réévaluation après traitement par un TKI de première génération ciblant sa mutation activatrice de l’EGFR.•
En effet, alors que la proportion de patients non fumeurs ou petits fumeurs augmente au sein des cancers pulmonaires, plus de la moitié d’entre eux, quels que soient l’âge ou le sexe, seraient porteurs d’une mutation d’intérêt thérapeutique : mutation de l’EGFR, réarrangement impliquant ALK ou ROS1. Dans ce cas, un traitement par inhibiteur de tyrosine kinase per os ciblant l’anomalie peut être prescrit en première intention, permettant une meilleure tolérance comparée à la chimiothérapie, une plus grande efficacité en termes de taux de réponse et de survie, et une prise en charge entièrement ambulatoire. En cas de progression tumorale, des traitements de la même classe thérapeutique peuvent souvent être proposés à ces patients, avec les mêmes avantages en termes de survie et de tolérance comparés à la chimiothérapie classique.
C’est la raison pour laquelle la nouvelle classification des cancers pulmonaires de l’OMS 2015 intègre pleinement les données de biologie moléculaire en plus de l’histologie, afin d’orienter au plus juste la proposition thérapeutique.
En dehors des altérations EGFR, ALK et ROS1 pour lesquelles des thérapies ciblées ont l’AMM en première voire seconde ligne en Europe, de nombreuses autres mutations font l’objet d’essais thérapeutiques qui modifieront certainement encore nos pratiques à l’avenir.
Voici ci-contre, afin d’illustrer l’importance à accorder à la recherche et la découverte de mutations d’intérêt thérapeutique, le cas d’un homme de 51 ans, non-fumeur, chez qui l’on découvre un adénocarcinome bronchique stade IV avec envahissement pleural et ganglionnaire majeur. La