Objectifs
Argumenter les principales hypothèses diagnostiques et justifier les examens complémentaires pertinents.
Argumenter l'attitude thérapeutique et planifier le suivi du patient.

Définition

La définition de la constipation est essentiellement clinique. Elle correspond à une insatisfaction du malade lors de la défé­cation, due soit à des selles trop peu fréquentes (< 3 selles par semaine), soit à une difficulté pour exonérer, soit à l’association des deux. Cette définition reste imprécise car elle repose sur une association symptomatique et sur la perception subjective des patients.
Selon les critères internationaux (critères de Rome IV, tableau 1), la constipation chronique est définie par une évolution des symptômes supérieure à 6 mois.
Les difficultés pour exonérer peuvent se traduire par des efforts de poussée, des selles dures ou fragmentées, une sensation d’évacuation incomplète, une sensation de blocage ano-rectal ou encore par la nécessité de manœuvres digitales pouvant permettre d’obtenir une vacuité rectale.
À noter également que l’émission de selles liquides peut être associée à une constipation. La fausse diarrhée du constipé correspond à des selles liquides soit dans les suites d’une période sans selles, soit suite à l’émission d’un bouchon de selles dures.

Épidémiologie

La prévalence de la constipation se situe entre 15 et 20 % de la population générale, et ses facteurs de risque sont le sexe féminin (rôle des hormones sexuelles) et un âge élevé.

Physiopathologie

En cas de constipation, il faut avant tout éliminer une cause organique. La constipation est alors un symptôme secondaire à une cause organique. La recherche d’une cause organique (tableau 2) est indispensable en cas de constipation récente ou d’aggravation récente d’une constipation préexistante. Une constipation d’origine médicamenteuse ou toxique devra également être recherchée (tableau 3).
Après élimination d’une cause secondaire à la constipation, le diagnostic de constipation idiopathique peut être posé. La constipation idiopathique peut être due à un ralentissement du transit ou à des troubles de l’évacuation rectale (dyschésie). La compréhension de la physiopathologie de la constipation idiopathique est essentielle pour guider la prise en charge de la constipation (cf. Focus).

Diagnostic

Le diagnostic repose avant tout sur l’interrogatoire et l’examen clinique qui serviront dans un premier temps à rechercher une cause organique à la constipation puis à orienter vers le type de constipation chronique (constipation de transit ou d’évacuation).

Interrogatoire

• Caractéristiques des selles :
  • confirmer le diagnostic de constipation et son caractère chronique :
. mode d’installation (brutal ou progressif) ;
. ancienneté ;
. caractère continu ou intermittent ;
. durée et profil évolutif des symptômes (alternance diarrhée/constipation) ;
. forme et consistance des selles (Bristol 1 et 2 selon l’échelle de Bristol, fig. 1) ;
. aspect des selles (rectorragies, glaires) ;
. symptômes associés : douleurs, ballonnements.
  • orientation vers le type de constipation :
. constipation de transit : moins de 3 selles par semaine, selles dures ;
. constipation d’évacuation : efforts de poussée, sensation d’évacuation incomplète, sensation de blocage anorectal, nécessité de manœuvres digitales, absence de besoin exonérateur.
• Évaluer le retentissement sur la qualité de vie.
• Recherche de facteurs de risque (sédentarité, régime pauvre en fibres).
• Traitements déjà entrepris et observance du patient.
• Recherche des éléments en faveur d’une cause organique (tableau 2) ou médicamenteuse (tableau 3) :
  • antécédents personnels et familiaux :
alcoolo-tabagique ;
digestifs ;
maladie métabolique, générale ou neurologique ;
  • recherche d’une grossesse, date des dernières règles ;
  • prise médicamenteuse (tableau 3) ;
  • signes d’alarme devant faire éliminer une cause organique :
. amaigrissement (exprimé en pourcentage du poids habituel), perte d’appétit, altération de l’état général ;
. douleurs abdominales et leur caractère (soulagée par les selles), ballonnement abdominal, nausée, vomissement ;
. présence de rectorragies ou d’émission de glaires ;
. présence d’un syndrome rectal.

Examen physique

Il permet de rechercher une cause organique à la constipation et de déterminer le(s) mécanisme(s) à l’origine de la constipation.
• Recherche de signes de constipation secondaire :
  • examen général : signes de dénutrition, signes d’anémie ;
  • fièvre ;
  • palpation des aires ganglionnaires (adénopathie de Troisier) ;
  • examen neurologique complet si une cause neurologique est suspectée incluant l’étude du réflexe anal et la recherche d’un déficit sensitif périnéal ;
  • examen abdominal : palpation, percussion, recherche d’une masse palpable, hépatomégalie, ascite, douleur localisée, cicatrices, orifices herniaires ;
  • examen de la thyroïde : palpation à la recherche de nodules, d’un goitre.
• Le toucher rectal doit être réalisé de manière systématique, le plus souvent en décubitus latéral gauche, après avoir expliqué son intérêt et son déroulement au patient.
Il permet de déterminer le mécanisme à l’origine de la constipation. Il permet d’apprécier la présence et la consistance des selles dans l’ampoule rectale, la présence de sang, d’une tumeur palpable, d’une douleur localisée, le tonus sphinctérien au repos et la relaxation des muscles du plancher pelvien lors de la poussée ou une contraction paradoxale du sphincter anal lors des efforts de poussée (caractéristique de la dyssynergie rectosphinctérienne).
Les temps de cet examen comprennent : une inspection de la marge anale au repos et en poussée : béance anale, sténose anale, fissure anale, prolapsus rectal, souillure anale.
Un examen du périnée : rectocèle, colpocèle.
Une exploration du tonus du canal anal et du contenu rectal avec un toucher rectal.

Examens complémentaires


Explorations biologiques :

Elles ne sont pas recommandées en première intention chez tout patient consultant pour constipation chronique pour la première fois. En revanche, des examens biologiques seront recommandés si la constipation persiste malgré un traitement adapté et bien suivi, lorsque l’examen clinique a montré des signes en faveur d’une cause secondaire et en présence de signes d’alarme. Ce bilan doit comprendre NFS, créatininémie, calcémie, glycémie, TSH, protéine C réactive.

Explorations morphologiques coliques

Elles ont pour but de rechercher une cause organique, notamment une lésion sténosante colique. Elles ne sont pas recommandées en première intention chez tout patient consultant pour la première fois pour constipation. En revanche, elles sont recommandées :
  • si les symptômes sont apparus à un âge supérieur à 50 ans ;
  • devant la présence de signes d’alarme à l’examen clinique (altération de l’état général, dénutrition, signes d’anémie, rectorragies, émissions glaireuses...) ;
  • en cas de suspicion de cause secondaire à l’interrogatoire ou à l’examen clinique.
Dans les autres situations, il faut suivre les recommandations habituelles pour le dépistage du cancer colorectal. La coloscopie totale sera réalisée en première intention dans les cas décrits ci-dessus et, en cas de contre-indication ou de coloscopie incomplète, il pourra être proposé de réaliser un coloscanner.

Examens complémentaires visant à déterminer le mécanisme physiopathologique d’une constipation idiopathique

En cas constipation idiopathique et en cas d’échec du traitement médical de première intention, certains examens complémentaires sont indiqués pour préciser le mécanisme de cette constipation.

Temps de transit colique des marqueurs radio-opaques

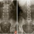
Il s’agit d’un examen simple et reproductible permettant d’obtenir une mesure objective du temps de transit colique. Le temps de transit colique devra être réalisé sans prise concomitante de traitements laxatifs. Il consiste en l’ingestion par le patient pendant 6 jours consécutifs de marqueurs radio-opaques (10 marqueurs par jour) puis en la réalisation au 7e jour d’une radiographie de l’abdomen sans préparation. Le nombre de marqueurs résiduels présents sur le cliché d’abdomen sans préparation permettra de calculer le temps de transit, à la fois total et segmentaire (côlon droit, côlon transverse, côlon gauche et sigmoïde). Il pourra ainsi être distingué deux types de constipation, à savoir la constipation distale lorsqu’on objectivera une stagnation des marqueurs radio-­opaques au niveau du recto-sigmoïde (fig. 2A), ou la constipation dite de transit lorsque les marqueurs radio-opaques stagneront sur l’ensemble du cadre colique (fig. 2B). Le temps de transit global moyen est estimé à 67 heures en moyenne.

Manométrie anorectale

La manométrie anorectale permet l’évaluation des fonctions sphinctériennes (sphincter anal interne et externe), des réflexes recto-anaux et de la sensibilité rectale. Elle est réalisée au moyen d’une sonde qui enregistre la pression dans la partie haute (sphincter anal interne) et basse (sphincter anal externe) du canal anal et dans l’ampoule rectale. Les mesures sont réalisées au repos, lors de la contraction volontaire, lors d’un effort de poussée exonératrice (fig. 3A) et lors de la distension rectale avec l’aide d’un ballonnet. La manométrie anorectale permet de mettre en évidence une fermeture paradoxale du canal anal lors d’un effort de poussée (dyssynergie rectosphinctérienne ou anisme, fig. 3B). Sa normalité oriente vers une constipation de transit.

La défécographie ou déféco-IRM :

Cet examen permet, après une opacification du rectum par un mélange contenant de la baryte, une étude à la fois anatomique et dynamique de la région anorectale lors de la simulation d’une défécation en position assise. La technique peut être intégrée au sein d’une colpo-cysto-défécographie avec opacification simultanée du grêle (recherche de cystocèle, d’entérocèle). Cet examen est réalisé lorsque des anomalies de la statique pelvienne sont retrouvés à l’examen clinique.
On peut ainsi étudier les variations de position du rectum au cours de la défécation et détecter les anomalies et les troubles de la statique pelvienne qui peuvent entraîner une constipation distale. Cet examen permettra principalement de diagnostiquer un rectocèle, une procidence rectale interne, un prolapsus rectal.

Manométrie colique

Cet examen reste exceptionnel et sera réalisé en cas de suspicion d’inertie colique. La sonde de manométrie colique est posée au cours d’une coloscopie totale et permet un enregistrement de la motricité colique sur 24 heures.

Conclusion

À l’issue des examens complémentaires, la constipation sera qualifiée de :
  • constipation de transit en cas de transit colique ralenti au temps de transit colique des marqueurs radio-opaques ;
  • associé à une manométrie anorectale normale ;
  • constipation distale en cas de ralentissement rectosigmoïdien sur le transit colique des marqueurs radio-opaques et d’anomalies sur la manométrie anorectale et/ou la défécographie.

Conduite à tenir

La conduite à tenir en cas de constipation est résumée dans la fig. 4.
Attention ! En cas de temps de transit colique normal sur le cliché, soit il s’agit d’un trouble de la motricité anorectale ou de la statique rectale qui n’a pas encore impacté le transit colique, soit il s’agit d’une fausse constipation (bénéfice secondaire), et le patient devra alors être évalué sur le plan psychologique.

Traitement

Seul le traitement de la constipation idiopathique est détaillé ici, celui de la constipation secondaire étant celui de la cause.
En l’absence de signes d’alarme, un traitement médical est instauré en première intention, avant la réalisation d’examens complémentaires. Il comprend la prise de laxatifs et la correction des apports en fibres.
Après échec du traitement médical de première intention, le traitement peut alors être guidé par les résultats des examens complémentaires qui précisent le mécanisme de la consti­pation.

Règles hygiénodiététiques

Il est recommandé d’augmenter l’apport quotidien en fibres de manière progressive échelonnée sur deux semaines (afin d’éviter les effets indésirables de type ballonnements ou inconfort digestif) afin d’atteindre une dose de 15 à 40 g/j. Les fibres alimentaires permettent une augmentation de la fréquence des selles, une amélioration de leur consistance et permettent une diminution de la consommation de laxatifs.
L’intérêt d’une augmentation des apports hydriques journaliers >1,5 L n’a pas été prouvé en dehors des cas de déshydratation ou chez les personnes ayant une consommation hydrique faible (moins de 0,5 L par jour).

Traitements laxatifs

Le traitement par laxatifs osmotiques ou de lest en association aux mesures hygiénodiététiques est recommandé en première intention. Les laxatifs osmotiques et de lest sont bien tolérés, les laxatifs stimulants et les hydroxydes de magnésium exposent au risque de troubles électrolytiques, tandis que les sucres non absorbables favorisent la survenue de ballonnements. Les différents types de traitement laxatif sont indiqués dans le tableau 4.

Colokinétiques

Le recours aux colokinétiques comme le prucalopride, agoniste des récepteurs 5-HT4 de la sérotonine, est réservé en cas d’échec aux laxatifs de première intention. Son efficacité sur la fréquence des selles et sur les troubles digestifs associés à la constipation de transit a bien été démontrée.

Rééducation périnéale

En cas de constipation distale avec dyssynergie rectosphinctérienne (anisme) prouvée sur la manométrie anorectale, une rééducation périnéale peut être proposée au patient (biofeedback). Le nombre de séances varie entre 3 et 10, et son efficacité sur le long terme pourra être maintenue via des séances d’entretien et la pratique d’exercices au domicile par le patient.

Prise en charge psychologique

Elle est recommandée en cas de troubles psychiatriques, d’antécédent de maltraitance ou d’abus sexuels en lien avec la constipation.

Traitement chirurgical ou endoscopique

Le traitement chirurgical reste exceptionnel dans le cadre de la constipation. En cas de rectocèle ou de prolapsus rectal associé à une constipation distale résistante aux traitements médicaux et à la rééducation périnéale, une prise en charge chirurgicale pourra être discutée. La colectomie totale (ou subtotale) avec anastomose iléorectale (ou colorectale) et les irrigations antérogrades par le biais d’une mini-stomie confectionnée sur le côlon proximal sont exceptionnellement indiquées en cas de constipation réfractaire aux traitements médicaux associée à un diagnostic d’inertie colique sur la manométrie colique.

Conclusion

La constipation est un symptôme qui correspond à une insatisfaction du patient vis-à-vis de la défécation due soit à des selles peu fréquentes, soit à une difficulté à l’exonération, soit aux deux. La constipation idiopathique ne nécessite pas d’exploration en première intention chez un patient de moins de 50 ans et en l’absence de signes d’alarme. Les laxatifs osmotiques sont le traitement de première intention de la constipation idiopathique. En cas de constipation distale, on peut y associer les laxatifs par voie rectale.
Points forts
Constipation chez l'enfant et l'adulte / Partie : Adulte

POINTS FORTS À RETENIR

Une constipation récente ou d’aggravation brutale et/ou la présence de signes d’alarme doit faire rechercher une cause secondaire de constipation à l’aide d’une biologie et d’une coloscopie totale (sténose colique d’origine tumorale).

Penser à rechercher les prises médicamenteuses (opiacés, antidépresseurs...).

Le toucher rectal est un temps indispensable de l’examen clinique.

Les deux mécanismes de constipation sont la constipation de transit et la constipation distale. Le temps de transit des marqueurs et la manométrie anorectale peuvent aider à la compréhension et orienter la thérapeutique.

Les laxatifs osmotiques sont le traitement de première intention de la constipation idiopathique.

Message auteur

Message de l'auteur

La constipation est un symptôme fréquent qui se prête bien à des dossiers transversaux dans lesquels la constipation pourrait être le symptôme inaugural d’une pathologie digestive (cancer colorectal), extradigestive (hypothyroïdie) ou médicamenteuse (opiacés). Un dossier pourrait débuter avec la prise en charge d’une constipation idiopathique chez un patient jeune sans signe de gravité pour pouvoir évaluer la prise en charge thérapeutique qui est à connaître dans cet item.

Au cours du dossier, le patient pourrait avoir une aggravation de sa constipation ou la présence d’un signe d’alarme. Il faudrait alors argumenter la réalisation d’une coloscopie totale pour éliminer une étiologie cancéreuse. Il faut parfaitement connaître les signes d’alarme à rechercher à l’interrogatoire et à l’examen clinique. Le dossier peut alors rebondir sur l’annonce d’un diagnostic grave et la prise en charge étiologique de cette constipation organique.

Un autre dossier qui semblerait intéressant pourrait être la prise en charge d’une pathologie douloureuse (douleur rhumatologique par exemple), avec la prescription d’opioïdes qui peut engendrer une constipation. Cette pathologie étant un vrai problème de santé publique, elle est d’actualité et peut concerner tous les types de dossiers transversaux nécessitant des antalgiques au long cours.

POUR EN SAVOIR +
Abrégé d’hépato-gastro-entérologie et de chirurgie digestive, 3e édition. Partie connaissances. CDU-HGE 2015.
Recommandations pour la pratique clinique de la prise en charge de la constipation. SNFCP, GFNG, SNFGE 2017.
Wald A. Constipation: advances in diagnosis and treatment. JAMA 2016;315:185-91.
American Gastroenterological Association. Medical position statement on constipation. Gastroenterology 2013;14:211-7.
Tack J, Müller-Lissner S, Stanghellini V, Boeckxstaens G, Kamm MA, Simren M, et al. Diagnosis and treatment of chronic constipation – a european perspective. Neurogastroenterol Motil 2011;23:697-710.

Dans cet article

Ce contenu est exclusivement réservé aux abonnés