De l'anatomie à la prise en charge
La mémoire, garante du sentiment que nous avons de la continuité de notre existence, constitue le fondement de notre identité. La connaissance de ses supports anatomiques et des causes de sa défaillance constitue un volet essentiel de la médecine. L’entretien avec le patient et son entourage oriente d’emblée l’enquête étiologique, qui doit se poursuivre par un examen de la mémoire et des fonctions cognitives, pour lequel nous disposons aujourd’hui d’un large éventail de tests. Le terrain, les antécédents et les examens paracliniques permettent l’identification de la cause, condition d’une prise en charge personnalisée. Comme toujours en médecine, l’analyse clinique occupe une place prépondérante pour le diagnostic de la plainte mnésique, qui est aujourd’hui l’un des motifs les plus fréquents de consultation.
Au sommaire
Anatomie de la mémoire
Publié le 15 Décembre 2023 || La Revue du Praticien || 73(10):1072-4
Il pourrait apparaître désuet de s’intéresser à l’anatomie macroscopique de la mémoire. Les mécanismes intimes de cette fonction cérébrale complexe mettent en effet en jeu des circuits neuronaux et des phénomènes de neurogenèse qui relèvent de mécanismes survenant à l’échelle microscopique.Néanmoins, certaines structures anatomiques…
Neuropsychologie de la mémoire
Publié le 15 Décembre 2023 || La Revue du Praticien || 73(10):1075-7
La mémoire permet d’enregistrer, de stocker et de restituer des informations, mais cette définition est incomplète eu égard à sa complexité, puisqu’elle forge notre identité, constitue la source de nos pensées, opère des va-et-vient avec des représentations issues de notre passé personnel et collectif, les projette vers un futur…
Tests de mémoire
Publié le 15 Décembre 2023 || La Revue du Praticien || 73(10):1078-80
Devant une plainte mnésique, la recherche d’une cause organique, et en particulier d’une maladie cérébrale, est la première des préoccupations. Les tests occupent une place essentielle dans la démarche diagnostique, en recherchant les indices d’un dysfonctionnement des systèmes de mémoire, et en donnant des indications sur son…
Maladies de la mémoire
Publié le 15 Décembre 2023 || La Revue du Praticien || 73(10):1081-4
Les maladies de la mémoire peuvent être classées en deux groupes : celles qui donnent une amnésie transitoire, généralement très brève (voir le focus « Amnésies transitoires », page 1085) et celles qui engendrent une amnésie plus durable. Sont décrites ici les plus fréquentes de ces dernières.
Amnésies transitoires
Publié le 15 Décembre 2023 || La Revue du Praticien || 73(10):1085-7
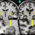
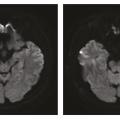
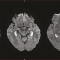
Les amnésies transitoires occupent une place particulière dans le domaine des troubles de la mémoire. L’ictus amnésique (IA) en est le prototype,1 mais les amnésies épileptiques, vasculaires, toxiques ou traumatiques doivent aussi être prises en considération.
Amnésie dissociative : une amnésie fonctionnelle
Publié le 15 Décembre 2023 || La Revue du Praticien || 73(10):1088-9
L’amnésie dissociative est une amnésie autobiographique lacunaire ou globale au point que l’amnésique peut perdre son identité et, voyageur sans bagage, être retrouvé errant loin du domicile si l’amnésie s’accompagne d’une fugue.1 Le terme « dissociatif », traduisant un état modifié de la conscience, est apparu dès le DSM-IV en 1994…
Conduite à tenir devant une plainte mnésique
Publié le 15 Décembre 2023 || La Revue du Praticien || 73(10):1090-4
La plainte mnésique est une situation fréquente en population générale (près d’une personne sur deux).1 Elle peut traduire aussi bien le vieillissement cérébral normal qu’une maladie neurodégénérative incurable ou une affection curable (par exemple, une hydrocéphalie à pression normale). La liste des causes de troubles de mémoire…
Prise en charge d’un patient amnésique
Publié le 15 Décembre 2023 || La Revue du Praticien || 73(10):1095-7
Jusqu’au début des années 1980, les thérapies non médicamenteuses des troubles mnésiques se limitaient à des exercices de mémoire répétitifs. L’inefficacité de ces méthodes est aujourd’hui établie, seuls les exercices entraînés faisant l’objet de modestes améliorations, sans transfert au quotidien. Ainsi, « l’entraînement » de…
Troubles de la mémoire : les 10 messages-clés
Publié le 15 Décembre 2023 || La Revue du Praticien || 73(10):1098
1 - Les phénomènes mnésiques mettent en jeu à l’échelle microscopique des circuits neuronaux et des processus de neurogenèse. Néanmoins, certaines structures anatomiques clés comme l’hippocampe ou le lobe limbique ont un rôle central. L’hippocampe intervient dans l’acquisition, le stockage et la distribution des informations…
1 - L’obésité de l’enfant est une maladie à forte prédisposition génétique dont l’expression phénotypique survient dans un environnement offrant une nourriture abondante et favorisant la sédentarité