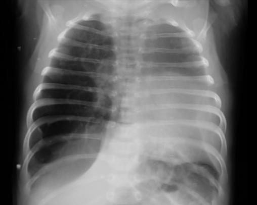
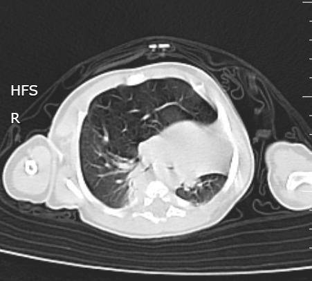
Un nouveau-né âgé de 1 mois est admis aux urgences pédiatriques pour prise en charge d’une détresse respiratoire. Le début de la symptomatologie remonte à la naissance, par l’installation d’une polypnée s’aggravant lors des cris et de l’alimentation, associée à des épisodes de toux sèche. L’examen clinique trouve un nouveau-né tachypnéique, cyanosé avec tirage intercostal et bombement de l’hémithorax droit associé à un wheezing auscultatoire et une SaO2 à 90 % à l’air ambiant. Le patient est mis sous oxygénothérapie et une radiographie thoracique est réalisée, objectivant une hyperaération de l’hémichamp pulmonaire droit refoulant le médiastin (fig. 1). Un scanner est effectué sans injection de produit de contraste et sans sédation, montrant une hyperclarté hypovasculaire avec une expansion du lobe supérieur gauche, refoulant le médiastin et la trachée à gauche, associée à une atélectasie du lobe inférieur droit et de l’hémichamp pulmonaire controlatéral (fig. 2). L’ensemble des éléments radio-cliniques plaident en faveur d’un emphysème lobaire géant compressif congénital (ELGC). Une lobectomie supérieure droite est réalisée, avec une bonne évolution clinique.

L’emphysème lobaire géant compressif congénital (ELGC) est une malformation bronchopulmonaire rare caractérisée par une distension d’un lobe pulmonaire touchant le plus souvent les lobes supérieurs. Elle est causée par un trappage d’air dû à un mécanisme de valve. Cette affection a une prédominance masculine (65 % contre 35 %).1,2

Cliniquement, les premiers symptômes apparaissent tôt au cours de la prime enfance, caractérisés par une dyspnée et une toux sèche, s’aggravant lors des cris ou de l’alimentation. Une cyanose peut être révélatrice de la maladie. L’examen clinique retrouve un hémithorax distendu hypersonore.2

Le diagnostic doit être évoqué en période anténatale devant un poumon ou un lobe pulmonaire augmenté de volume, hyperéchogène sur l’échographie anténatale et en hypersignal T2 à l’imagerie par résonance magnétique (IRM). Un hydramnios peut être associé.3 Le risque de détresse respiratoire néonatale est d'autant plus important que la lésion est volumineuse avec déviation médiastinale.4

En période post-natale, le diag­nostic est plus facile. Sur la radiographie thoracique, le lobe atteint est distendu et hyperaéré, avec une fine trame vasculaire, élément sémiologique essentiel pour différencier un emphysème lobaire géant d’un pneumothorax. Le médiastin est refoulé vers le côté controlatéral et le lobe adjacent est comprimé.5

Le scanner est plus utile pour analyser l’emphysème, en montrant un lobe distendu, hyperclair, avec une raréfaction vasculaire. Les autres lobes sont beaucoup plus denses, car faiblement aérés et collabés. En cas de volumineux emphysème, il existe souvent une hernie rétrosternale du lobe atteint vers le côté opposé. La tomodensitométrie (TDM) joue un rôle fondamental pour éliminer un emphysème obstructif secondaire à une compression extrinsèque de la bronche par une masse médiastinale, plus exceptionnellement, secondaire à une lésion bronchique endoluminale.6

L’indication de la bronchoscopie reste limitée du fait de son caractère invasif et de la performance diagnostique du scanner. Si elle est pratiquée, elle permet d’éliminer une bronchomalacie, une atrésie pulmonaire ou un corps étranger intrabronchique.7

Le traitement chirurgical avec lobectomie est nécessaire si l’enfant est symptomatique. Le délai d’intervention dépend de la sévérité clinique. La lobectomie permet une réexpansion des lobes collabés. Si l’enfant est asymptomatique, une simple surveillance est envisagée. En effet, certains emphysèmes lobaires régressent spontanément.2,8,9 

Références
1. Kerstine KH, Van Natta TL, Burkhart HM, et al. Congenital lung diseases. In Sabiston and Spencer's Surgery of the Chest. Saunders Elsevier Philadelphia 2010:129-50.
2. Bouhaouala MH, Charfi MR, Tlili K, et al. Giant lobar emphysema: The cause of compressive hemithoracic opacity in a newborn infant. Rev Mal Respir 1994;11(1):57-9.
3. Oliver ER, DeBari SE, Horii SC, et al. Congenital lobar overinflation: A rare enigmatic lung lesion on prenatal ultrasound an MRI. J Ultrasound Med 2019;38:1229-39.
4. Chia CC, Huang Sc, Liy MC. Fetal congenital lobar emphysema. J Obstet Gynecol 2007;46:73-6.
5. Pardes JG, Auh YH, Blomquist K, et al. Diagnosis of congenital lobar emphysema. J Comput Assist Tomogr 1983;7:1095-7.
6. Demir OF, Hangul M, Kose M. Congenital lobar emphysema: Diagnosis and treatment options. Int J Chron Obstruct Pulmon Dis 2019;14:921-8.
7. Monin P, Didier F, Vert P, et al. Giant lobar emphysema neonatal diagnosis. Pediatr Radiol 1979;8(4):259-60.
8. Desorgher G, Bayart M, Bayart R, et al. Giant lobar emphysema in the newborn: Left superior lobectomy. J Sci Med Lille 1970;88(1):39-45.
9. Hall NJ, Chiu PP, Langer JC. Morbidity after elective resection of prenatally diagnosed asymptomatic congenital pulmonary airway malformations. Pediatr Pulmonol 2015;2:1-6.

Une question, un commentaire ?

promo