Objectifs
Connaître le diagnostic, les complications et les principes du traitement des fractures de l’enfant.
Connaître les caractères spécifiques et les complications des fractures du coude et de la cheville de l’enfant et de l’adolescent.

Particularités épidémiologiques

La traumatologie infantile est la première cause de décès et la première cause de séquelle et d’indemnisation du dommage corporel chez l’enfant. C’est aussi le premier motif d’hospitalisation de l’enfant.

Les garçons sont plus souvent victimes de fractures que les filles (60 % contre 40 %).1 Le risque de présenter une fracture durant l’enfance est de 40 % pour les garçons et de 27 % pour les filles.

La fracture est plus fréquente du côté non dominant.

La fracture du poignet est la fracture la plus fréquente : 20 à 35 % des fractures de l’enfant.1

Le coude est une localisation fréquente de fractures nécessitant un traitement chirurgical.2

Physiologie et physiopathologie

L’os du petit enfant a une structure moins résistante que celle de l’adulte. Une grande partie est constituée d’une maquette cartilagineuse (non visible sur une radio­graphie) qui s’ossifie progressivement au cours de la croissance. Au fur et à mesure que l’enfant grandit apparaissent au sein de cette maquette cartilagineuse des noyaux d’ossification (fig. 1). En fin de croissance, toute la maquette cartilagineuse a disparu et s’est ossifiée.

Les luxations articulaires sont exceptionnelles, l’os étant moins résistant que la capsule articulaire. Par exemple, les luxations du coude ou de l’épaule sont rares,3 alors que les fractures supracondyliennes du coude ou les fractures du col chirurgical de l’humérus sont fréquentes.

Le périoste est un allié à respecter 

Le périoste a une résistance mécanique importante ; il est beaucoup plus épais que chez l’adulte. Il est présent d’un cartilage de croissance à l’autre, collé sur la métaphyse et l’épiphyse. Il fonctionne en hauban. Lors d’une fracture, il est souvent incomplètement rompu, ce qui permet de guider une réduction ou une stabilisation positionnelle du foyer de fracture. 

Il produit rapidement (en deux à trois semaines) un cal d’origine périosté (cal externe) qui assure une excellente stabilité de la fracture et évite les déplacements secondaires.

Il permet de remodeler la fracture en effaçant les imperfections de la réduction (fig. 2). Ce remodelage se fait par résorption osseuse dans la convexité et apposition dans la concavité.4

Le cartilage de croissance est une structure précieuse et fragile

Le cartilage de croissance est présent aux deux extrémités des os longs. Il est mécaniquement faible, peu résistant aux forces de traction axiale et de torsion. Beaucoup de fractures de l’enfant passent donc par ce cartilage de croissance. 

Une fracture ou un traitement inadéquat peuvent entraîner la création d’un pont d’épiphysiodèse (destruction d’une partie ou de la totalité du cartilage) avec arrêt de croissance et perte de longueur (pouvant aller jusqu’à plusieurs centimètres) et désaxation (jusqu’à plusieurs dizaines de degrés).5 Cette complication est d’autant plus importante que l’enfant est jeune (fort potentiel de croissance) et que la fracture survient sur un des cartilages les plus actifs du membre (près du genou et loin du coude).

Traits et déplacements

Certaines fractures sont identiques à celles de l’adulte : trait transversal, oblique long ou court, spiroïde, avec ou sans troisième fragment. 

D’autres sont propres à l’enfant : 

  • fracture en motte de beurre : il s’agit d’une plicature plastique d’une corticale métaphysaire (fig. 3) ;
  • fracture en bois vert : une corticale est pliée mais continue alors que l’autre est rompue (fig. 4) ;
  • fracture « plastique » ou « arcuature » : il n’y a pas de fracture mais une courbure plastique s’étendant sur toute la longueur de l’os (fig. 5) ;
  • fracture sous-périostée (fracture « en cheveu ») : l’os est fracturé, non déplacé, et le périoste est intact. Chez l’enfant jeune, ce périoste assure la solidité ; les enfants peuvent parfois marcher malgré une fracture du fémur ou du tibia. Le diagnostic est porté sur une boiterie et une douleur à la pression osseuse. La radiographie initiale est souvent normale. Parfois, on devine un trait fracturaire. Ce n’est que quinze jours à trois semaines plus tard qu’un cal osseux apparaît, prouvant ainsi rétrospectivement l’existence de cette fracture sous-périostée ;
  • fracture touchant le cartilage de croissance : fractures-décollements épiphysaires.
 

La classification de Salter et Harris6 (fig. 6) permet de classer ces fractures et de donner dès l’accident un pronostic sur la croissance résiduelle : 

  • type I, décollement épiphysaire pur. Le pronostic de croissance est bon ;
  • type II, le trait de fracture décolle le cartilage de croissance, sauf à une extrémité où il remonte en zone métaphysaire. Le pronostic de croissance est habituellement bon ;
  • type III, le trait de fracture passe par le cartilage de croissance, sauf à une extrémité où il devient épiphysaire. Le trait de fracture coupe donc la zone où se situent les cellules germinales impliquées dans le processus de croissance osseuse. Il existe à ce niveau un risque élevé d’épiphysiodèse. Le pronostic de croissance est compromis, surtout s’il persiste un défaut de réduction, même mineur. Il s’agit d’une fracture à trait intra-articulaire ;
  • type IV, le trait de fracture sépare un fragment épiphyso-­métaphysaire. Il coupe donc la zone où se situent les cellules germinales impliquées dans le processus de croissance osseuse. Il existe à ce niveau un risque élevé d’épiphysiodèse. Le pronostic est souvent mauvais, même si la réduction paraît satisfaisante. Il s’agit d’une fracture à trait intra-articulaire ;
  • type V, une lésion directe du cartilage de croissance par un mécanisme de compression n’est identifiable que par sa complication : le pont d’épiphysiodèse. Ce diag­nostic est le plus souvent posé a posteriori.

Consolidation des fractures

Le cal périphérique produit par le périoste est très volumineux et se constitue rapidement chez l’enfant. Il englobe le foyer de fracture et permet la réalisation plus tardive du cal central, puis du remodelage. Le remodelage du cal se fait par l’apposition d’os par le périoste du côté de la concavité du cal vicieux et par sa résorption du côté de la convexité.

Les délais de consolidation sont de six à huit semaines pour une fracture diaphysaire (fémur, jambe), de quatre à cinq semaines pour une fracture métaphysaire (poignet), de trois semaines pour un décollement épiphysaire qui n’est très instable que pendant les huit premiers jours.

Fracture et croissance

Concernant les fractures à distance du cartilage de croissance, le remodelage du cal et la croissance épiphysaire atténuent, voire corrigent, les éventuels cals vicieux.7

Cette correction obéit à cinq règles :

  • la croissance résiduelle doit être importante (avant 10 ans) ;
  • la fracture doit être le plus proche possible de la métaphyse ;
  • la fracture doit être proche d’un cartilage de croissance très actif (« loin du coude ou près du genou ») ;
  • le mouvement de l’articulation voisine doit être dans le même plan que le déplacement de la fracture ;
  • le cal vicieux doit être dans un plan sagittal ou coronal mais pas rotatoire.
 

Il y a, par exemple, un fort potentiel de remodelage des fractures du quart inférieur des deux os de l’avant-bras.

Une poussée de croissance post-fracturaire atténue ou corrige les inégalités par chevauchements.

Les séquelles les plus fréquentes après fracture chez l’enfant sont des inégalités de longueur des membres, habituellement de quelques millimètres (proche du centimètre), mais parfois de plusieurs centimètres. La fracture stimule la croissance par hypervascularisation (effet vicariant).

Pour les fractures touchant les zones de croissance (fractures-décollements épiphysaires), la complication la plus redoutable est le pont d’épiphysiodèse. Si le pont est central, il entraîne un arrêt de croissance du cartilage de l’os atteint. Si le pont est périphérique, il entraîne une déviation progressive de l’os atteint. Cette complication est d’autant plus importante que l’enfant est jeune et que la fracture survient sur un segment avec un fort potentiel de croissance (près du genou et loin du coude).8

La désépiphysiodèse est une intervention chirurgicale consistant à tenter de retirer la zone fusionnée pour faire redémarrer le fonctionnement du cartilage de croissance. Elle consiste à cureter la zone dans laquelle le cartilage de croissance est détruit et d’y interposer un matériau inerte (ciment, graisse). Cette chirurgie ne donne qu’environ 50 % de succès. En cas d’échec, il faut éventuellement faire des ostéotomies correctrices et des allongements de membre.

Particularités de l’enfant

Il n’y a pas de risque majoré de complications thrombo­emboliques liées à la mise en décharge ou à l’immobilisation du membre inférieur.Il est donc inutile jusqu’à la puberté de prescrire des anticoagulants. En revanche, à partir de la puberté, les mêmes règles de prévention thromboemboliques s’appliquent chez les adolescents que chez les adultes.9

Il y a peu de raideurs consécutives aux fractures et aux immobilisations. L’enfant récupère progressivement en quelques semaines à quelques mois une mobilité complète de ses articulations, même après une immobilisation plâtrée prolongée en position non physiologique. Il n’y a donc pas d’indication à la kinésithérapie en traumatologie infantile, sauf cas exceptionnels.

Les séquelles sont souvent de révélation tardive. Les plus fréquentes et les plus graves sont liées à la croissance. En cas de doute sur un éventuel trouble de croissance (fractures-décollements épiphysaires de types III, IV et V), il faut donc toujours en avertir l’enfant et ses parents et réaliser au moins un contrôle tardif six à douze mois après la fracture pour vérifier que la croissance se déroule normalement. 

Examen physique et confirmation à l’aide de l’imagerie

Il n’y a pas de spécificité clinique pour les fractures de l’enfant, sauf lorsque l’enfant est très jeune et que l’interrogatoire est difficile, voire impossible. Les principaux signes cliniques dépendent de la localisation de la fracture et de son déplacement : douleurs, attitude antalgique, œdème, déformation, ecchymose, etc. 

Les complications importantes à rechercher sont une ouverture cutanée, des troubles vasculaires ou ­neurologiques. 

Si le diagnostic de fracture est suspecté cliniquement, la confirmation est radiographique. Il est presque toujours inutile de demander des radiographies comparatives bien que l’interprétation des radiographies de l’enfant demande une certaine expérience. Les radiographies comparatives sont discutables, car elles sont responsables d’une irradiation plus importante de l’enfant. En raison des difficultés de réalisation des incidences du côté fracturé à cause de la douleur, les deux séries de clichés ne seront pas identiques, et donc la comparaison entre les deux côtés sera très difficile. 

Le scanner et l’imagerie par résonance magnétique (IRM) sont des examens de seconde intention qui peuvent être utiles dans certaines indications de fractures articulaires, par exemple.10 Les indications doivent être discutées au cas par cas avec les médecins radiologues.

Prise en charge thérapeutique et spécificités pédiatriques

L’enfant n’est pas un adulte en miniature. Il ne faut pas appliquer les raisonnements et les techniques de la traumatologie de l’adulte sans une certaine lucidité et en maîtrisant parfaitement l’anatomie du squelette en croissance et ses capacités de cicatrisation spontanée.

Le but du traitement est d’assurer la meilleure réduction et la meilleure contention avec le minimum d’agression chirurgicale. Compte tenu des particularités de l’enfant et des possibilités importantes de remodelage osseux, il faut savoir parfois tolérer de petits défauts (à expliquer à la famille et au médecin traitant) plutôt que proposer une technique plus invasive. En cas de traitement chirurgical, il faut respecter les structures propres à l’enfant : périoste et cartilage de croissance. Les ostéosynthèses par plaques ou par clous sont à éviter avant la fin de la croissance.

Traitement orthopédique

Les méthodes orthopédiques dites « conservatrices » sont : 

  • l’immobilisation plâtrée avec ou sans réduction ;
  • la traction continue ;
  • les dispositifs particuliers comme pour la méthode de Blount, le plâtre pendant, les attelles « directionnelles »…
 

Il ne faut pas hésiter chez l’enfant à immobiliser les articulations sus- et sous-jacentes puisque la récupération de la mobilité après une immobilisation ne pose aucun problème.

L’utilisation du plâtre « classique », plus précis, est souvent préférable aux résines synthétiques sur une fracture récente et potentiellement instable (fig. 7).

Le traitement orthopédique par plâtre permet le plus souvent d’éviter un geste chirurgical, mais il nécessite une surveillance particulière et attentive :

  • à court terme, il faut surveiller la coloration et la chaleur cutanées, la sensibilité et l’apparition éventuelle de douleurs sur les points d’appui du plâtre (prévention d’escarres) ;
  • à plus long terme, tout traitement orthopédique nécessite un suivi médical en consultation pour s’assurer qu’il n’existe pas de déplacement secondaire (radiographie systématique de contrôle à J + 8).

Traitement chirurgical

L’ensemble des techniques chirurgicales peut être utilisé sous réserve que la taille des implants soit adaptée et que la technique utilisée soit respectueuse des zones de croissance de l’os.11 À ce titre, les plaques vissées et les enclouages verrouillés sont réservés aux grands adolescents.

Les techniques utilisées de façon régulière en traumatologie infantile sont : 

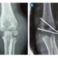
  • le brochage direct (fig. 8) ;
  • le vissage percutané par vis canulée montée sur des broches (fig. 9) ;
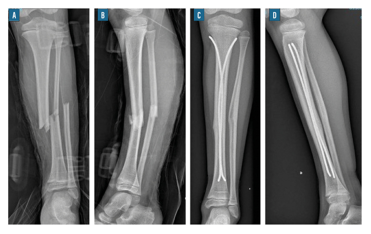
  • l’embrochage centromédullaire élastique stable (ECMES) est une méthode couramment utilisée en traumatologie infantile. Elle consiste à mettre des broches cintrées et béquillées dans le canal médullaire et obtenir ainsi une stabilité élastique du foyer (fig. 10). Toute force appliquée sur l’os provoque un déplacement avec retour élastique à l’état d’équilibre qui est l’état anatomique ;12
  • les fixateurs externes sont utilisés comme chez l’adulte en cas de fracture ouverte ou de fractures multiples et complexes.13

Complications des traitements

Comme pour l’adulte, des complications immédiates peuvent survenir, comme l’ouverture cutanée du foyer de fracture ou des complications vasculaires ou nerveuses. À la différence de l’adulte, l’enfant se défend mieux contre l’infection et récupère plus facilement d’une lésion nerveuse.

Les principales complications secondaires sont : 

  • le syndrome des loges et sa forme séquellaire (syndrome de Volkmann) ; il s’agit d’une complication redoutable causée par l’hyperpression et l’ischémie des loges musculaires à proximité de la zone fracturée. Elle entraîne une rétraction ischémique progressive des muscles et un handicap fonctionnel très important. Le diagnostic précoce repose sur des signes cliniques (douleurs, engourdissement, hypoesthésie et paralysie des muscles). La prise de pression des loges musculaires est nécessaire au moindre doute et impose la réalisation d’une aponévrotomie si elle confirme le diagnostic ;14
  • les pseudarthroses, exceptionnelles chez l’enfant. Il s’agit souvent d’un simple retard de consolidation qu’il suffit de traiter par une immobilisation un peu plus longue pour obtenir la consolidation. Elles peuvent parfois être expliquées par un abord chirurgical extensif et peu respectueux des structures périostées ;
  • les cals vicieux, qui obéissent aux règles de remodelage osseux ;
  • l’infection sur matériel d’ostéosynthèse, qui est rare et souvent de bon pronostic, car l’ablation du matériel et une antibiothérapie sont souvent suffisantes pour obtenir la guérison.
 

Enfin, certaines complications peuvent survenir tardivement :

  • les nécroses épiphysaires par lésions ischémiques, qui concernent surtout la tête fémorale, après fracture du col15 (fig. 11), la tête radiale et le condyle externe du coude ;
  • les raccourcissements et les désaxations des membres par atteinte du cartilage de croissance (épiphysiodèse) ;16
  • les raideurs articulaires, rares et généralement dues aux fractures articulaires.

Conclusion

Les fractures constituent un motif de consultation fréquent en pédiatrie. Souvent bénignes, elles sont le plus souvent secondaires à des traumatismes sportifs ou de la vie courante.

Leur diagnostic est aisé, habituellement par la réalisation de radiographies simples. Certaines fractures ont des spécificités pédiatriques liées à la moindre résistance osseuse (fracture en bois vert, fractures en motte de beurre ou fractures plastiques) ou à la présence de cartilages de croissance (fractures-décollements épiphysaires).

Le traitement des fractures de l’enfant est très souvent orthopédique, par la réalisation d’une réduction et d’une immobilisation plâtrée. Les capacités de remodelage osseux des cals vicieux permettent de pousser le traitement orthopédique au maximum et de tolérer quelques « imperfections » dans la réduction initiale avant l’âge de 10 ans.

Lorsqu’un traitement chirurgical est nécessaire (déplacement important, fracture articulaire), il doit respecter au maximum l’anatomie du squelette en croissance (cartilage de croissance et périoste) afin de limiter le risque de troubles de croissance iatrogènes.

Faisant suite à un diagnostic et à un traitement approprié, la prise en charge de la majorité des fractures de l’enfant donne un excellent résultat et un très faible nombre de complications tardives. 

Points forts

Les fractures de l’enfant sont très fréquentes. L’os du petit enfant est constitué d’une maquette cartilagineuse qui s’ossifie progressivement au cours de la croissance. Le périoste joue un rôle essentiel chez l’enfant. Il a une résistance mécanique importante et il participe à la consolidation des fractures (cal périosté). Il permet aussi le remodelage fracturaire.

Il existe des fractures propres à l’enfant : fracture en motte de beurre, fracture en bois vert, fracture sous-périostée, fracture plastique et fractures touchant le cartilage de croissance. La classification de Salter et Harris permet de classer ces fractures et de donner, dès l’accident, un pronostic en matière de risque de trouble de croissance.

Le cartilage de croissance peut être lésé par une fracture avec apparition d’un pont d’épiphysiodèse pouvant être responsable d’un arrêt de la croissance avec un raccourcissement ou une désaxation du membre. Si le pont est central, il entraîne un arrêt de croissance du cartilage de l’os atteint. Si le pont est périphérique, il entraîne une déviation du cartilage de l’os atteint. Cette complication est d’autant plus importante que l’enfant est jeune (fort potentiel de croissance) et que la fracture survient sur un des cartilages les plus actifs du membre (près du genou et loin du coude).

Les fractures diaphysaires peuvent entraîner une poussée de croissance post-fracturaire pouvant être à l’origine d’inégalités de longueur.

Le but du traitement d’une fracture de l’enfant est d’assurer la meilleure réduction et la meilleure contention avec le minimum d’agression chirurgicale. Chaque fois que cela est possible, il faut préférer un traitement orthopédique à un traitement chirurgical. Compte tenu des particularités de l’enfant, il faut savoir parfois tolérer de petits défauts plutôt que de proposer une intervention plus invasive.

Il faut respecter les structures propres à l’enfant : périoste et cartilage de croissance. Les ostéosynthèses par plaques ou clous sont interdites avant la fin de la croissance. Le traitement orthopédique par plâtre permet parfois d’éviter un abord chirurgical mais il nécessite une surveillance particulière. À court terme, il faut surveiller la coloration et la chaleur cutanées, la sensibilité et les points d’appui du plâtre (recherche de douleur et prévention d’escarres). À plus long terme, tout traitement orthopédique nécessite un suivi médical en consultation pour s’assurer qu’il n’existe pas de déplacement secondaire (radiographie systématique de contrôle à J + 8).

La fracture supracondylienne du coude est la plus fréquente des fractures du coude. Il faut rechercher des troubles vasculonerveux. Le traitement dépend du déplacement. En cas de déplacement important, il peut s’agir d’une fracture grave pourvoyeuse de nombreuses complications (syndrome de Volkmann, complications neurovasculaires, défauts de réduction).

La lésion de Monteggia associe une fracture de l’ulna et une luxation de la tête radiale. Il faut se souvenir que « toute fracture isolée de l’ulna doit faire rechercher une luxation associée de la tête radiale ». L’axe du radius, quelle que soit l’incidence, doit couper le centre du condyle latéral de l’humérus. En cas de luxation de la tête radiale, cette ligne (ligne de Storen) est rompue. Le traitement consiste à réduire la luxation de la tête radiale et la fracture du l’ulna en maintenant sa longueur. Le diagnostic tardif de lésion négligée impose un traitement chirurgical lourd.

Les fractures diaphysaires du fémur sont très fréquentes et de bon pronostic. Elles se voient à tout âge, mais surtout chez l’enfant jeune. Le traitement est très différent selon l’âge de l’enfant. Lorsque l’enfant est jeune, le plâtre pelvipédieux est le traitement de référence. Lorsque l’enfant est plus grand, au-delà de 6 à 8 ans, la technique d’embrochage centromédullaire élastique stable est la méthode de choix. Lorsque l’enfant est plus grand encore, il est possible de discuter la mise en place d’une fixation interne par clou centromédullaire. Les complications des fractures du fémur sont le raccourcissement et les cals vicieux. 

Il n'y a pas de complications thromboemboliques chez l’enfant non pubère ; il est donc inutile jusqu’à la puberté de prescrire des anticoagulants. On constate peu de raideurs d’immobilisation : l’enfant récupère progressivement une mobilité complète de ses articulations même après une immobilisation plâtrée prolongée en position non physiologique. Il n’y a donc pas d’indication à la kinésithérapie en traumatologie infantile, sauf cas exceptionnels.

Encadre

Complications des fractures du coude de l’enfant et de l’adolescent

Les fractures du coude de l’enfant sont parmi les plus fréquentes en traumatologie pédiatrique ; elles représentent environ 8 % des fractures de l’enfant, avec un pic de fréquence entre 5 et 9 ans. Elles sont souvent synonymes de prise en charge chirurgicale.

La répartition anatomique de ces fractures est la suivante : 44 % de fractures supracondyliennes, 22 % de fractures du condyle latéral, 10 % de fractures de l’olécrâne, 7 % de fractures de l’épicondyle médial (épitrochlée), 5 % de fractures du col du radius ou de la tête radiale, 5 % de lésions de Monteggia (fracture de l’ulna associée à une luxation de la tête radiale). Ces fractures ne sont pas de diagnostic radiographique facile, surtout chez l’enfant jeune dont les différents repères osseux ne sont pas forcément visibles sur la radiographie (maquette cartilagineuse du coude encore importante).

Les complications neurologiques peuvent concerner 15 % des patients, principalement du fait de déficits régressifs du nerf radial ou du nerf médian. La faible croissance osseuse de la région du coude comparativement à d’autres régions limite les possibilités de correction spontanée des défauts résiduels après traitement.

Le traitement chirurgical peut nécessiter un abord chirurgical, notamment dans les cas de fractures articulaires (fracture du condyle latéral, fractures intercondyliennes). Dans les autres cas, il s’agit habituellement de réductions orthopédiques maintenues par des broches ou un simple plâtre. 

Par comparaison avec les fractures du coude de l’adulte, le risque de séquelles fonctionnelles importantes (raideur articulaire) est beaucoup plus faible chez l’enfant.

Encadre

Complications des fractures de cheville de l’enfant et de l’adolescent

Les fractures de cheville sont fréquentes (23 % des traumatismes du membre inférieur de l’enfant), survenant principalement après l’âge de 11 ans. Elles concernent 70 % de garçons pour 30 % de filles. Elles surviennent lors d’accidents de la voie publique ou d’accidents sportifs.

Lorsqu’elles touchent la zone de croissance (fractures-décollements épiphysaires), elles peuvent se compliquer d’inégalité de longueur des membres ou d’un trouble d’axe. Lorsqu’elles touchent l’articulation, elles peuvent se compliquer d’arthrose.

Les fractures-décollements épiphysaires de type Salter I ou II sont traitées par immobilisation dans un plâtre cruropédieux, sans anesthésie pour les fractures non déplacées, après réduction sous anesthésie générale pour les fractures déplacées.

Les fractures-décollements épiphysaires de type Salter III ou IV posent les problèmes spécifiques du trouble de croissance éventuel et des lésions d’arthrose articulaire à long terme. La fracture de Tillaux représente une forme particulière de fracture de type III : elle survient chez le grand enfant qui a déjà soudé une partie de la zone de croissance. Les fractures déplacées imposent une réduction parfaite, soit en technique percutanée sous contrôle radiologique, soit à foyer ouvert avec contrôle visuel.

La fracture de Mac Farland est une fracture de type Salter III ou IV consécutive à un mouvement d’adduction du pied. Elles peuvent survenir chez des enfants jeunes et ont, dans ce cas, un risque élevé de trouble de croissance et, à terme, de défaut d’axe de la cheville. Les fractures déplacées imposent une réduction parfaite, soit en technique percutanée sous contrôle radiologique, soit à foyer ouvert avec contrôle visuel.

Certaines fractures associent des traits de fracture dans trois plans de l’espace : ce sont les fractures « triplanes ». Leur traitement est le plus souvent chirurgical.

Références
1. Lautman S, Bergerault F, Bonnard C, Laumonier F, Bronfen C, Mallet JF, et al. Les fractures du poignet de l’enfant : étude épidémiologique [Epidemiological survey of wrist fractures in children]. Rev Chir Orthop Reparatrice Appar Mot. 2003;89(5):399-403.
2. Langlais T, Louis E, Badina A, Vialle R, Pannier S, Le Hanneur M, Fitoussi F. "Unhappy triad" of the trauma elbow in children: Diagnosis, classification, and mid-term outcomes. J Child Orthop. 2023;17(6):581-9. 
3. Pincin A, Tourtoulou C, Pfirrmann C, Lalioui A, Savidan P, Lefevre Y, et al. Elbow dislocation with and without an associated fracture in children: A prospective study of functional outcomes following 3 weeks of immobilization. Orthop Traumatol Surg Res. 2022:103538. 
4. Sales de Gauzy J, Fitoussi F, Jouve JL, Karger C, Badina A, Masquelet AC; French Society of Orthopaedic Surgery and Traumatology (SoFCOT). Traumatic diaphyseal bone defects in children. Orthop Traumatol Surg Res. 2012;98(2):220-6. 
5. Deng H, Zhao Z, Xiong Z, Gao F, Tang S, Li Y, et al. Clinical characteristics of 1124 children with epiphyseal fractures. BMC Musculoskelet Disord. 2023;24(1):598. 
6. Robert B. Salter, W. Robert Harris. Injuries involving the epiphyseal plate. J Bone Joint Surg Am. 1963;45(3):587-622. 
7. Bin K, Rony L, Henric N, Moukoko D. Pediatric fracture reduction in the emergency department. Orthop Traumatol Surg Res. 2022;108(1S):103155. 
8. Yamamura MK, Carry PM, Gibly RF, Holmes K, Ogilvie B, Phillips A, Georgopoulos G, Miller NH, Payne KA. Epidemiology of physeal fractures and clinically significant growth disturbances affecting the distal tibia, proximal tibia, and distal femur: A retrospective cohort study. J Am Acad Orthop Surg. 2023;31(11):e507-e515. 
9. Mets EJ, Pathak N, Galivanche AR, McLynn RP, Frumberg DB, Grauer JN. Risk factors for venous thromboembolism in children undergoing orthopedic surgery. Orthopedics. 2022;45(1):31-7. 
10. Haillotte G, Bachy M, Delpont M, Kabbaj R, Ducou le Pointe H, Vialle R. The use of magnetic resonance imaging in management of minimally displaced or nondisplaced lateral humeral condyle fractures in children. Pediatr Emerg Care 2017;33(1):21-5. 
11. de Billy B, Gindraux F, Langlais J. Osteotomy and fracture fixation in children and teenagers. Orthop Traumatol Surg Res. 2014;100(1):S139-48. 
12. Gibon E, Béranger JS, Bachy M, Delpont M, Kabbaj R, Vialle R. Influence of the bending of the tip of elastic stable intramedullary nails on removal and associated complications in pediatric both bone forearm fractures: a pilot study. Int J Surg. 2015;16(Pt A):19-22.
13. Fraisse B, Marleix S, Lucas G, Violas P. Open fractures of the limbs in children and adolescents. Orthop Traumatol Surg Res 2024 Feb;110(1S):103771.
14. Louahem D, Cottalorda J. Acute ischemia and pink pulseless hand in 68 of 404 gartland type III supracondylar humeral fractures in children: Urgent management and therapeutic consensus. Injury. 2016;47(4):848-52. 
15. Wang WT, Li YQ, Guo YM, Li M, Mei HB, Shao JF, et al. Risk factors for the development of avascular necrosis after femoral neck fractures in children: a review of 239 cases. Bone Joint J. 2019;101-B(9):1160-7. 
16. Cottalorda J, Béranger V, Louahem D, Camilleri JP, Launay F, Diméglio A, et al. Salter-Harris type III and IV medial malleolar fractures: growth arrest: is it a fate? A retrospective study of 48 cases with open reduction. J Pediatr Orthop. 2008;28(6):652-5. 

Dans cet article

Ce contenu est exclusivement réservé aux abonnés