Objectifs
Diagnostiquer une fracture de l'extrémité inférieure du radius.

Introduction

Les fractures de l’extrémité inférieure du radius font partie des traumatismes ostéoarticulaires les plus fréquemment diagnostiqués dans un service d’accueil des urgences. Elles ont une incidence annuelle comprise entre 250 et 440 cas pour 100 000 habitants, et plus de 1 traumatisme du poignet sur 2 (56  %) est associé à une fracture de l’extrémité inférieure du radius.1, 2
L’ostéoporose est la principale comorbidité favorisant ces lésions fracturaires. Ces dernières inaugurent les complications liées à l’ostéoporose en précédant de 10 à 15 ans en moyenne la fracture de l’extrémité supérieure du fémur ou les fractures vertébrales.3 Ainsi, la femme âgée, dont les attentes fonctionnelles sont limitées, est la cible privilégiée de ces fractures, avec un sex-ratio de 3 femmes pour 1 homme.4 Historiquement considérées comme « relativement bénignes » et associées à peu ou pas de séquelles, ces fractures souffraient d’une certaine « négligence » thérapeutique.5 Ces principes de prise en charge ont été largement remis en cause au cours des trente dernières années.
En réalité, l’extrémité inférieure du radius possède une structure et un environnement anatomique complexe. Elle est indissociable du cadre antébrachial et, en particulier, de l’extrémité distale de l’ulna. Par ailleurs, contrairement à ce qui est couramment énoncé, ces lésions sont très fréquemment articulaires, avec une participation de l’articulation radio-carpienne et/ou radio-­ulnaire distale par le biais de refends fracturaires dont le déplacement est souvent significatif.6, 7 De plus, les sujets jeunes ne sont pas épargnés par les traumatismes de l’extrémité inférieure du radius , souvent à haute énergie (accident sur la voie publique, accident de sport ou de travail) et dont les séquelles fonctionnelles peuvent être redoutables.
Enfin, les noms de fractures éponymes (Pouteau-Colles, Goyrand-Smith ou Gérard-Marchand) ne sont plus vraiment d’actualité car ils n’ont pas de correspondance internationale et biaisent, en la simplifiant, l’analyse correcte de ces fractures. Ces appellations sont ainsi à l’origine de limitations et de confusions sémantiques et nosologiques.

Rappel anatomique

L’extrémité inférieure du radius est biarticulaire, en répondant à la fois au carpe par la glène radiale et à la tête de l’ulna par l’incisure ulnaire du radius, expliquant qu’entre 50 et 80 % des fractures de l’extrémité inférieure du radius ont une participation articulaire.8 Elle constitue un bloc épiphysométaphysaire distal hétérogène et complexe de forme schématiquement triangulaire à base médiale et à sommet latéral qui s’effile par la styloïde radiale (fig. 1).
Les corticales ventrale et médiale sont épaisses et résistantes, à la différence des corticales dorsale et latérale, plus fines (fig. 2), expliquant en partie la fréquence des déplacements fracturaires en bascule postérieure et latérale de l’épiphyse radiale avec horizontalisation de la ligne bistyloïdienne.6 L’extrémité inférieure du radius est par ailleurs remplie d’un tissu osseux spongieux dense et renforcé de travées verticales s’opposant aux contraintes axiales transmises du carpe au squelette antébrachial. L’ostéoporose a une action péjorative globale sur cette structure, en altérant à fois la densité du tissu spongieux, avec raréfaction des travées osseuses, mais aussi l’épaisseur corticale.
La surface articulaire distale, encroûtée de cartilage, répond au carpe distalement et présente deux facettes, scaphoïdienne et lunarienne (fig. 3), séparées par une crête de direction antéropostérieure. Cette surface articulaire a une double concavité transversale et sagittale. Il est crucial de retenir qu’elle possède une double inclinaison ventrale (10 à 12° en moyenne dans le plan sagittal) et médiale (22 à 24° en moyenne dans le plan coronal), très spécifique, qu’il faudra s’efforcer de restituer et de maintenir dans le traitement de la composante métaphysaire de ces fractures (fig. 4). L’index radio-ulnaire distal, défini par la longueur relative du radius par rapport à l’ulna, est le troisième critère morphologique à évaluer (fig. 4). Ce dernier, dont les valeurs normales sont très variables, est en moyenne neutre à 0 mm (-3 mm à +2 mm).
Enfin, le complexe ligament triangulaire prolonge la surface articulaire distale du radius sur son versant médial. Il s’agit d’une structure ligamentaire tendue du versant médial et distal de l’extrémité inférieure du radius, sur le pourtour de l’incisure ulnaire jusqu’à la base de l’apophyse styloïde de l’ulna (fig. 5). Ainsi, l’extrémité distale du radius, l’articulation radio-­ulnaire distale, le complexe ligamentaire triangulaire et l’extrémité distale de l’ulna constituent une entité anatomofonctionnelle continue, composite et indissociable. Les lésions associées aux fractures de l’extrémité inférieure du radius, comme les fractures de la styloïde ulnaire ou les lésions ligamentaires du complexe triangulaire, appartiennent donc au même spectre lésionnel. On s’attachera par conséquent à rechercher systématiquement une participation articulaire aux lésions fracturaires et des lésions ligamentaires associées.

Classifications

Les classifications lésionnelles utilisées à l’heure actuelle sont le fruit d’un processus de compréhension du traumatisme et de ses séquelles qui s’est échelonné sur plusieurs décennies. L’analyse de la fracture doit être focalisée sur les caractéristiques des 3 composantes anatomiques : métaphysaire, reliée au sens du déplacement fracturaire ; épiphysaire, reliée aux lésions articulaires ; et ulnaire, reliée aux lésions associées ostéoligamentaires.
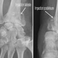
Au niveau métaphysaire le déplacement peut être postérieur ou antérieur (fig. 6). En ce qui concerne le déplacement postérieur, il est important de se souvenir que la surface articulaire regarde vers l’avant. En d’autres termes, dès que cela n’est plus le cas, même si la surface articulaire n’est pas orientée vers l’arrière, il s’agit d’un déplacement postérieur. Classiquement, le déplacement postérieur est lié à un mécanisme dit en compression-­extension, c’est-à-dire une chute sur la main, le poignet étant en extension (fig. 7). Le déplacement est dit antérieur s’il y a une exagération de l’orientation antérieure de l’épiphyse radiale. Ce déplacement est classiquement lié à un mécanisme dit en compression-flexion, c’est-à-dire une chute sur la main, le poignet étant en flexion (fig. 7). La plupart du temps, ce déplacement postérieur ou antérieur s’accompagne également d’un déplacement externe, avec un tassement au niveau de la corticale latérale (fig. 8). Outre le déplacement antérieur, postérieur ou latéral, il est très important d’analyser au niveau du foyer de fracture métaphysaire l’importance de la comminution qui peut être uniquement postérieure, ou antérieure, ou circonférentielle, ce qui conditionne la stabilité de la fracture et oriente vers le type d’ostéosynthèse à réaliser.
L’analyse de l’épiphyse va permettre de déterminer si la fracture est articulaire ou extra-articulaire. Dans la très grande majorité des cas, la fracture est articulaire. Il existe très fréquemment un fragment postéromédial qu’il est important de rechercher car il faudra le stabiliser lors du traitement. Mais la fracture articulaire peut être plus complexe, en T ou en croix (fig. 9). Enfin, il peut exister des enfoncements de fragments ostéochondraux à l’intérieur du spongieux épiphysaire (appelé par les Anglo-Saxons « die punch »). Sur les fragments épiphysaires s’attachent les ligaments radiocarpiens. Ainsi, une traction dans l’axe permet, par le biais de ses ligaments (effet de ligamentotaxis), de réduire au moins partiellement la fracture. En revanche, les fragments ostéochondraux qui sont enfoncés dans le spongieux n’ont pas d’attaches ligamentaires et ne se réduisent pas par les manœuvres de traction. Il peut arriver que les fractures soient uniquement épiphysaires. C’est le cas des fractures dites marginale antérieure, marginale postérieure et cunéenne externe. Cette dernière est importante à connaître et à dépister car elle s’accompagne relativement fréquemment de lésion ligamentaire intracarpienne, notamment scapholunaire.
Enfin, il est important d’analyser le versant ulnaire pour savoir si la fracture de l’extrémité inférieure du radius est isolée ou bien associée à une fracture de l’extrémité distale de l’ulna ou encore à une fracture de la styloïde ulnaire. Cette fracture est l’équivalent d’un arrachement du ligament triangulaire du carpe et peut être source d’instabilité radio-ulnaire distale (fig. 10). Il faut également analyser le rapport entre l’épiphyse radiale et l’épiphyse ulnaire, à la recherche d’une inversion de l’index radio-ulnaire témoin d’une ascension de l’épiphyse radiale.
Ainsi, la fracture de Pouteau-Colles est une fracture métaphysaire à déplacement postérieur sans trait de refend articulaire. Elle est finalement relativement rare. La fracture de Goyrand-Smith est une fracture méta­physaire à déplacement antérieur. Enfin, la fracture de Gérard-Marchant associe une fracture de l’extrémité inférieure du radius (FEIR) à déplacement postérieur et une fracture de la styloïde ulnaire.

Diagnostic clinique et radiologique

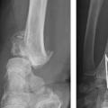
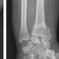
L’approche clinique initiale au service d’accueil des urgences ne permet le plus souvent que d’avoir une suspicion diagnostique. La classique déformation du poignet en dos de fourchette (lors des déplacements postérieurs) (fig. 11), loin d’être systématique, permet de renforcer cette suspicion. Le diagnostic positif et descriptif des lésions fracturaires ne sera cependant confirmé que par les examens d’imagerie (radiographies et éventuellement tomodensitométrie).
Cette approche clinique est néanmoins cruciale et repose classiquement sur le triptyque « anamnèse-terrain-signes fonctionnels ». L’anamnèse correspond à l’histoire traumatique aiguë. Il est important de rechercher auprès du patient les circonstances de survenue et l’énergie du traumatisme. Celle-ci renseigne sur l’étendue des lésions, y compris ligamentaires, très souvent associées mais occultes. Le plus souvent, surtout chez la personne âgée, le mécanisme correspond à une simple chute dont la réception s’est faite sur la main avec le poignet en flexion ou, plus souvent, en extension. Plus rarement, le sujet est jeune, et l’énergie traumatique est plus importante, occasionnant alors des lésions complexes, comminutives, métaphyso-épiphysaires à grands déplacements, impliquant très fréquemment l’extrémité inférieure de l’ulna, voire des lésions étagées sur le membre supérieur, à rechercher systématiquement.
Le patient se plaindra classiquement de douleurs vives de la partie distale du membre supérieur associées à une impotence fonctionnelle totale. Il est également important de noter le côté dominant, d’éventuelles comorbidités ou un traitement spécifique (immunosuppresseurs, anticoagulants, difficultés à la marche avec nécessité de béquillage, niveau fonctionnel antérieur du membre fracturé…). Le clinicien recherchera des complications immédiates d’ordre cutané (fracture ouverte, le plus souvent punctiforme sur le versant antérolatéral), vasculaire (recherche des pouls) ou neurologique (signes déficitaires dans le territoire du nerf médian en cas de grand déplacement en particulier).
Au terme de ce bilan clinique, des radiographies standard du poignet avec 4 incidences sont incontournables : face et profil stricts et, trop souvent oubliés, de trois quarts latéral et médial. Ces dernières incidences sont en particulier utiles pour analyser l’étendue de la comminution métaphysaire dans le plan horizontal et pour dépister les refends articulaires.8
L’analyse précise et détaillée des clichés radiographiques renseigne sur les critères morphologiques importants détaillés plus haut : l’inclinaison frontale, l’inclinaison sagittale et l’index radio-ulnaire distal. Il faut également apprécier les caractéristiques métaphysaire et épiphysaire de la fracture et la présence de lésions associées : comminution, nombre et déplacement des fragments articulaires, fractures de l’extrémité inférieure de l’ulna, fractures des os du carpe, lésions ligamentaires intracarpiennes ou de l’articulation radio-ulnaire distale.

Prise en charge thérapeutique

Principes généraux

L’objectif du traitement des fractures de l’extrémité inférieure du radius est d’obtenir une consolidation effective de la fracture en étant le plus proche possible de l’anatomie normale. Il faut donc, en cas de fracture non ou peu déplacée, éviter la survenue d’un déplacement secondaire et, en cas de fracture déplacée, réduire et maintenir cette réduction, jusqu’à consolidation (6-8 semaines).
Les modalités techniques précises du traitement des fractures de l’extrémité inférieure du radius sont actuellement controversées. Cependant, malgré l’absence de consensus, le choix de la proposition thérapeutique repose sur plusieurs critères fondamentaux.
Le premier correspond aux critères morphologiques de la fracture, avec son caractère déplacé ou non, la direction du déplacement et son potentiel d’instabilité. Une fracture de l’extrémité inférieure du radius est considérée « déplacée » en cas de modification d’inclinaison de l’épiphyse radiale de plus de 5° dans le plan frontal ou sagittal et/ou un raccourcissement de 3 mm ou plus et/ou un déplacement articulaire supérieur ou égal à 2 mm. Par ailleurs, le déplacement initial important (> 20° de bascule, raccourcissement d’au moins 4 mm du radius), la comminution métaphysaire et une atteinte articulaire significative par sa comminution ou son déplacement sont les 3 principaux facteurs d’instabilité fracturaire orientant vers une fixation chirurgicale de la fracture après réduction.
Le deuxième critère à prendre en compte est le terrain, avec l’âge, qui renseigne sur la qualité du tissu osseux et le niveau de demande fonctionnelle, les comorbidités et le niveau d’observance du patient. Ainsi, le traitement sera logiquement plus agressif, avec des objectifs de restitution morphologique de l’extrémité inférieure du radius plus exigeants chez un sujet jeune à haute demande fonctionnelle et observant.
Enfin, le troisième critère à évaluer est la présence d’éventuelles lésions associées : lésions du carrefour ulnaire, lésions osseuses ou ligamentaires intracarpiennes, lésions étagées sur le membre supérieur homo- ou controlatéral.

Arsenal thérapeutique

Le traitement non chirurgical (dit « orthopédique ») repose sur une immobilisation par un plâtre ou une résine synthétique pour une durée classique de 6 semaines. L’intérêt d’une immobilisation brachio-antébrachio-palmaire durant les 3 premières semaines ne semble se justifier qu’en cas de lésions ulnaires avérées. En cas de traitement non chirurgical, une surveillance radiographique régulière est cruciale pour dépister d’éventuels déplacements secondaires sous plâtre, assez fréquents.
Le traitement chirurgical, justifié en cas de déplacement non tolérable, repose sur 3 modalités pratiques distinctes : l’embrochage percutané, les plaques palmaires vissées, et le fixateur externe radiométacarpien, à ne jamais utiliser seul. Ces traitements remplissent le double rôle de réduction et de stabilisation de la fracture jusqu’à consolidation.
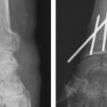
La mise en place des broches percutanées sont habituellement introduites dans le foyer de fracture, en arrière du radius, puis inclinées vers le bas pour réduire la bascule dorsale de la glène radiale et sont finalement fichées dans la corticale antérieure, épaisse, pour stabiliser la réduction obtenue. Il s’agit d’un embrochage « intrafocal » (dans le foyer de fracture). Une ou deux broches styloïdiennes dans le plan frontal complètent le montage. La bascule antérieure du fragment distal, la présence de refends articulaires, et la comminution métaphyso-épiphysaire sont indispensables à évaluer avant de proposer ce type de traitement et constituent des contre-indications relatives (fig. 12).
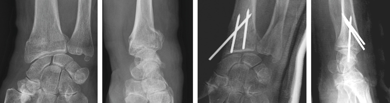
La mise en place de plaques palmaires nécessite un abord chirurgical antérieur et reste techniquement délicat, en particulier pour positionner la plaque en hauteur et pour la longueur des vis dont l’excès peut endommager les tendons extenseurs. L’indication phare reste les fractures métaphysaires à déplacement antérieur ou les comminutions métaphysaires étendues (fig. 13).
Enfin, le fixateur externe ne doit pas être utilisé seul car une traction excessive est un facteur de risque d’algo­neurodystrophie. Il doit être ajouté comme moyen de protection d’une ostéosynthèse par broche ou plaque précaire. Son rôle est de neutraliser les contraintes en compression sur l’extrémité inférieure du radius en cours de consolidation (fig. 14).

Complications

Aiguës

À la phase aiguë, le clinicien doit être à la recherche des complications classiques en traumatologie : cutanée dans le cadre d’une fracture ouverte, vasculaire en prenant les pouls radial et ulnaire, mais surtout neurologique, avec en particulier un syndrome du canal carpien aigu dont les symptômes s’installent rapidement et s’aggra­vent dans les heures qui suivent une fracture, souvent à grand déplacement.
Un syndrome des loges de l’avant-bras ou de la main est plus rare, mais son diagnostic est fondamental compte tenu des séquelles.

À distance

Les complications les plus fréquentes restent les déplacements secondaires sous plâtre, même en cas d’ostéosynthèse, et les cals vicieux articulaires et métaphysaires. Le syndrome algoneurodystrophique peut également péjorer les résultats à long terme, avec une prévalence pouvant aller jusqu’à 30 % des séries. Enfin, une complication étonnante et à connaître est la rupture d’origine ischémique ou iatrogène du tendon du muscle extensor pollicis longus. Les patients ne peuvent plus porter le pouce en rétropulsion. Le transfert du tendon du muscle extensor indicis proprius est le traitement de choix.

Conclusion

Les fractures de l’extrémité inférieure du radius sont encore aujourd’hui des traumatismes complexes à prendre en charge. La restitution d’une morphologie osseuse proche de l’anatomie est l’objectif primordial à atteindre. Les détails techniques pour y parvenir restent sujets à controverse.
Les résultats à long terme sont également conditionnés par le traitement des lésions associées et d’éventuelles complications.
Points forts
Fractures fréquentes de l’adulte et du sujet âgé

POINTS FORTS À RETENIR

L’ostéoporose est la principale comorbidité favorisant les fractures de l’extrémité inférieure du radius.

L’extrémité inférieure du radius est biarticulaire, expliquant qu’entre 50 et 80 % des fractures de l’extrémité inférieure du radius soient articulaires.

L’analyse radiographique des fractures de l’extrémité inférieure du radius est triple : zone métaphysaire, épiphysaire et versant ulnaire.

L’objectif du traitement des fractures de l’extrémité inférieure du radius est de réduire et de stabiliser la fracture pour obtenir une consolidation en position la plus proche possible de l’anatomie normale.

Une fracture de l’extrémité inférieure du radius doit toujours être immobilisée, même si elle est non déplacée, pour permettre la cicatrisation des lésions ligamentaires.

Message auteur

Fractures fréquentes de l’adulte et du sujet âgé

Dans le cadre d’un dossier ECN, cet item peut faire l’objet de questions essentiellement d’ordre diagnostique et de suivi clinique et/ou radiographique. Il semble peu probable qu’il puisse y avoir des questions précises sur les modalités thérapeutiques très spécialisées, qui ne font pas l’objet de consensus au sein même de la spécialité.

En pratique, il semble judicieux de s’attendre à un dossier mettant en jeu une patiente d’âge moyen, vraisemblablement ostéopénique ou ostéoporotique, victime d’une chute de sa hauteur à l’origine d’une fracture de l’extrémité inférieure du radius, plutôt en bascule postérieure.

Cette lésion peut également faire partie d’un tableau traumatique plus large avec des fractures étagées ou controlatérales multiples touchant le membre supérieur ou le membre inférieur dans le cadre d’un sujet polyfracturé, voire polytraumatisé. Il s’agira alors plus volontiers d’un patient plus jeune, de sexe masculin, victime d’un traumatisme à plus haute énergie et avec une fracture de l’extrémité inférieure du radius métaphyso-épiphysaire à grand déplacement et à complications aiguës plus prégnantes.

Dans l’éventualité de la femme ostéoporotique d’âge moyen, il faut éventuellement s’attendre aussi à un possible syndrome du canal carpien aigu ou à une ouverture cutanée, surtout antérieure, comme complications immédiates.

Une question incontournable sera probablement de préciser le bilan radiographique à prescrire et de donner l’orientation de la bascule de la glène radiale en cas de fracture déplacée. La participation du versant ulnaire avec une fracture de la styloïde ulnaire ne doit surtout pas être méconnue.

L’indication thérapeutique dépendra du caractère déplacé ou non de la fracture. Une fracture déplacée nécessitera une réduction puis une stabilisation, alors qu’une fracture non déplacée, peu probable en pratique, ne sera qu’à immobiliser mais avec une surveillance très régulière.

La progression du dossier s’orientera probablement vers les complications possibles du traitement. Deux sont fréquentes et assez spécifiques des fractures de l’extrémité inférieure du radius : les cals vicieux de l’extrémité inférieure du radius et la rupture du tendon de l’extensor pollicis longus. Deux autres complications très communes mais non spécifiques des fractures de l’extrémité inférieure du radius sont représentées par le syndrome algoneurodystrophique et les infections du site opératoire.

Le dossier pourrait alors évoluer vers d’autres lésions fracturaires corrélées à l’ostéoporose, comme les fractures de l’extrémité supérieure du fémur ou les fractures rachidiennes. Le versant rhumatologique du traitement de l’ostéoporose pourrait également faire partie d’une question subsidiaire.

Références
1. Thompson PW, Taylor J, Dawson A. The annual incidence and seasonal variation of fractures of the distal radius in men and women over 25 years in Dorset, UK. Injury 2004 May;35(5):462-6. doi: 10.1016/S0020-1383(03)00117-7. PMID: 15081322.
2. Cronier P, François P, Laulan J, Le Bourg M, Mouilleron P, Raimbeau G, et al. Évaluation de l’embrochage des fractures de l’extrémité inférieure du radius. À propos de 285 cas. Ann Orthop Ouest 1996;28:125-70.
3. Endres HG, Dasch B, Lungenhausen M, Maier C, Smektala R, Trampisch HJ, Pientka L. Patients with femoral or distal forearm fracture in Germany: a prospective observational study on health care situation and outcome. BMC Public Health 2006 Apr 4;6:87. doi: 10.1186/1471-2458-6-87. PMID: 16594996; PMCID: PMC1526725.
4. Róbertsson GO, Jónsson GT, Sigurjónsson K. Epidemiology of distal radius fractures in Iceland in 1985. Acta Orthop Scand 1990 Oct;61(5):457-9. doi: 10.3109/17453679008993562. PMID: 2239173.
5. Colles A. On the Fracture of the Carpal Extremity of the Radius. Edinb Med Surg J 1814 Apr 1;10(38):182-6. PMID: 30329360; PMCID: PMC5743240.
6. Castaing J. Les fractures récentes de l’extrémité inférieure du radius chez l’adulte [Recent fractures of the lower extremity of the radius in adults]. Rev Chir Orthop Reparatrice Appar Mot 1964 Sep-Oct;50:581-696. French. PMID: 14198868.
7. Melone CP Jr. Articular fractures of the distal radius. Orthop Clin North Am 1984 Apr;15(2):217-36. PMID: 6728444.
8. Obert L, Laulan J. Fractures de l’extrémité distale des deux os de l’avant-bras chez l’adulte. Encyclopédie médico-chirurgicale, 2009. Doi: 10.1016/S0246-0521(09)48917-4.

Dans cet article

Ce contenu est exclusivement réservé aux abonnés