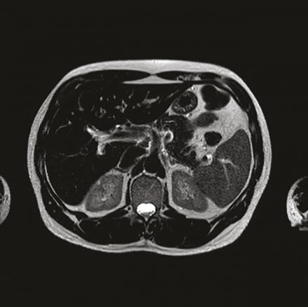
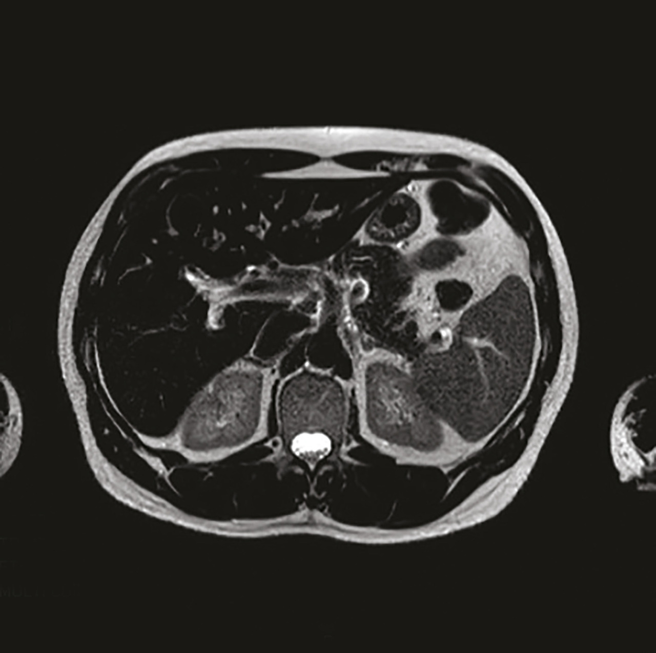
Cet homme de 53 ans suivi pour un syndrome anxiodépressif et un alcoolisme sevré, consultait pour une asthénie et un « burn-out ». L’interrogatoire notait que la fatigue s’estompait les week-ends et durant les vacances, et ne rapportait pas d’autre plainte fonctionnelle. Une biologie antérieure montrait une cytolyse hépatique prédominant sur les alanine aminotransférases (1,5 fois la valeur normale). Dans ce contexte, un bilan systématique était prescrit avec un contrôle thyroïdien et ferrique, montrant une hyperferritinémie à 3 756 µg/L. Le bilan complémentaire notait un coefficient de saturation de la transferrine (CST) à 90 %, une surcharge ferrique hépatique en imagerie par résonance magnétique (IRM, fig. 1 et 2 ) à 392 µmol/g, et une mutation postive C282Y homozygote. Le diagnostic d’hémochromatose héréditaire a été annoncé au patient au cours d’une consultation dédiée, en lui expliquant la nécessité d’une saignée hebdomadaire avec comme objectif une ferritinémie inférieure à 50 µg/L et l’intérêt d’un dépistage familial. L’évolution est marquée par une stabilisation de l’asthénie permettant à ce patient sportif une reprise partielle de ses activités physiques.
L’asthénie est un motif fréquent de consultation en médecine générale.1 Il n’existe pas de recommandations pour un bilan type. Un examen clinique précis vise à ne proposer un bilan qu’aux patients suspects d’une maladie sous-jacente, tels que notre patient ayant une anomalie du bilan hépatique. L’hémochromatose liée au gène HFE (type 1)2 est une maladie génétique de surcharge en fer (mutation C282Y). Le retard diagnostique est fréquent, devant des symptômes peu spécifiques, mais un diagnostic précoce permet de mieux prévenir les complications. Le CST et l’IRM sont les examens de référence. Les facteurs de risque de survenue d’une complication sont la consommation d’alcool et les viroses hépatotropes. Le traitement repose sur des saignées.
Références
1. Favrat B, Guessous I, Gonthier A, Cornuz J. Fatigue prolongée ou chronique d’origine indéterminée. Rev Med Suisse 2015;11:931-5.
2. Haute Autorité de santé. Hémochromatose liée au gène HFE (type 1). Actes et prestations – ALD 17. Service des maladies chroniques et dispositifs d’accompagnement des malades. HAS, juin 2012.
2. Haute Autorité de santé. Hémochromatose liée au gène HFE (type 1). Actes et prestations – ALD 17. Service des maladies chroniques et dispositifs d’accompagnement des malades. HAS, juin 2012.
Une question, un commentaire ?