Objectifs
Diagnostiquer une hémorragie génitale chez la femme.
Connaître les principales causes et les examens complémentaires pertinents.

Les hémorragies génitales sont un problème fréquent et représentent 10 % des motifs de consultation en gynécologie. Elles touchent les femmes quel que soit leur âge. Leur prise en charge en dehors de la grossesse est abordée dans cet article. Elles peuvent concerner tous les étages de l’appareil génital féminin : cavité utérine le plus souvent mais aussi le col, le vagin et la vulve. Elles recouvrent de nombreuses causes, le plus souvent bénignes mais parfois malignes. Il faut savoir évoquer les causes traumatiques en cas de saignement aigu.

Définitions

Les règles normales surviennent en moyenne tous les vingt-huit jours. Elles durent environ cinq jours, avec une déperdition sanguine moyenne de 40 mL.

Les différentes définitions des anomalies menstruelles sont les suivantes.

Métrorragies : saignement entre les menstruations.

Hyperménorrhées : perte sanguine menstruelle supérieure à 80 mL par cycle.

Ménorragies : saignement à intervalle normal (de vingt et un à trente-cinq jours) supérieur à 80 mL et de durée supérieure à sept jours.

Polyménorrhées : menstruations avec intervalle de cycle de moins de vingt et un jours.

Oligoménorrhées : menstruations avec intervalle de cycle de plus de trente-cinq jours.

Hémorragies idiopathiques : ménorragies avec ovulation sans cause organique ou systémique retrouvée.

Hémorragie utérine aiguë : saignement aigu d’origine utérine éventuellement responsable d’hypovolémie (hypotension artérielle ou tachycardie) ou de choc ­hypovolémique.

Diagnostic 

Antécédents

Doivent être évoqués :

  • l’âge de la patiente, son activité génitale, son statut ménopausique ;
  • la présence d’une obésité ;
  • la notion d’une grossesse actuelle connue, d’un rapport sexuel supposé fécondant, ses antécédents obstétricaux ;
  • les caractéristiques habituelles du cycle menstruel, la date des dernières règles, leur caractère normal ou anormal (date, flux, durée) ;
  • la méthode contraceptive actuellement utilisée (pilule, stérilet, implant…) ;
  • l’existence d’un désir de grossesse, la date de début des tentatives de conception, l’existence d’une stérilité et les thérapeutiques entreprises ;
  • le résultat et la date du dernier frottis cervicovaginal (FCV) ou test human papillomavirus (HPV) ;
  • une prise médicamenteuse hormonale et son effet éventuel sur les saignements (progestatifs, traitement hormonal de la ménopause, contraception) ;
  • des troubles de l’hémostase personnels ou familiaux ou la prise de médicaments ayant une incidence sur l’hémostase (aspirine, anti-inflammatoires non stéroïdiens [AINS], antivitamines K [AVK], héparine).

Analyse sémiologique du saignement et des signes fonctionnels associés 

Importance du saignement

Il est demandé à la patiente si le saignement l’a obligée à changer de vêtements ou de draps ou encore si elle a remarqué des caillots. Elle est également interrogée sur le nombre de changes (garnitures ou tampons) utilisés sur une période donnée ainsi que leur imprégnation sanguine. Ces éléments doivent être regroupés sous forme d’un score (score de Higham [fig. 1]) qui permet d’évaluer de façon assez précise la déperdition menstruelle en cas de ménorragies. L’abondance du saignement peut aussi être évaluée par rapport aux règles normales.

Chronologie de l’hémorragie

Il faut préciser la durée d’évolution de l’hémorragie ; sa survenue au moment des règles (ménorragies) ou en dehors (métrorragies). Les métrorragies peuvent présenter un caractère cyclique (dysovulation, hémorragies fonctionnelles) ou survenir de façon irrégulière ; elles peuvent être spontanées ou provoquées par les rapports sexuels (pathologie cervicale) ou par un traumatisme (pathologie vulvo-vaginale).

Aspect du saignement

Sont notées : la couleur (rouge, brun ou noirâtre), la présence de débris tissulaires (muqueuse, œuf, caduque, fragment de polype) ; l’odeur.

Signes fonctionnels associés au saignement

La présence de douleurs pelviennes spontanées et leur relation avec le saignement (dysménorrhées, coliques expulsives) et la présence de pertes anormales (leucorrhées, hydrorrhées) sont à noter.

Il est nécessaire de rechercher des signes en faveur d’une spoliation sanguine importante : soif, lipothymies, sensation de malaise ; ou bien des signes fonctionnels d’anémie (céphalée, dyspnée d’effort, angor).

Examen physique

Des signes de gravité dus au retentissement de l’hémorragie – pouvant aller jusqu’à l’état de choc hypovolémique – sont possibles. La pression artérielle et la fréquence cardiaque de la patiente sont mesurées pour évaluer la nécessité d’une prise en charge urgente. L’indice de choc (fréquence cardiaque/pression artérielle systolique) est un indicateur de sévérité : lorsqu’il est supérieur à 0,9, il exprime un risque de mortalité augmenté, de manière plus fiable que les valeurs de pression artérielle et de fréquence cardiaque interprétées de manière isolée.

L’inspection permet d’apprécier l’abondance de l’hémorragie génitale et d’objectiver une pâleur cutanéo­-muqueuse consécutive à une anémie.

L’origine du saignement et son abondance sont précisées par un examen au spéculum, qui est primordial, la patiente installée en position gynécologique.

L’examen pelvien nécessite impérativement une information appropriée de la patiente et le recueil de son consentement. Il est indispensable à la prise en charge diagnostique et thérapeutique. 

Cet examen permet de préciser l’origine du saignement après décaillotage soigneux du vagin à l’aide d’une compresse pour visualiser l’origine haute d’un saignement provenant de l’endocol et de le caractériser (abondance, couleur, présence de débris). L’origine basse d’un saignement peut être mise en évidence : lésion vaginale (néoplasie, déchirure post-coïtale), vaginite, polype utérin accouché par le col, infection du col utérin (cervicite), ectropion, lésion d’aspect néoplasique du col utérin justifiant une biopsie pour examen anatomopathologique. Un test HPV et un frottis cervicovaginal (FCV) pour examen cytologique en l’absence de frottis normal récent doivent être réalisés.

Le toucher vaginal (TV) apprécie l’utérus : augmentation de volume (fibrome, adénomyose, cancer de l’endomètre), régularité, consistance, sensibilité, mobilité ; le TV recherche aussi des signes d’infection génitale haute, la présence d’une douleur provoquée dans les culs-de-sac latéraux ou le cul-de-sac de Douglas, une douleur à la mobilisation utérine, une masse latéro-utérine.

Une cause ou une affection favorisante peut être recherchée. Des lésions purpuriques cutanées orientent vers une pathologie de l’hémostase, tandis qu’une circulation veineuse collatérale par hypertension portale oriente vers une cirrhose. On inspecte la région périanale à la recherche d’un diagnostic différentiel : rectorragies dues par exemple à une pathologie hémorroïdaire. La pal­pation abdominale recherche une hépatomégalie, une splénomégalie, une masse pelvienne, une douleur provoquée, une défense ou bien encore des signes d’irritation péritonéale.

Examens biologiques

Pour une femme en période d’activité génitale, un test urinaire ou sanguin qualitatif de grossesse est toujours réalisé ; il conditionne la démarche diagnostique.

L’hémoglobinémie est dosée pour évaluer le retentissement de l’hémorragie. Une microcytose oriente vers l’origine ferriprive de l’anémie ; le dosage de la ferritinémie est effondré en cas d’anémie ferriprive alors qu’il est augmenté en cas d’anémie d’origine inflammatoire. Il est important de rappeler qu’en cas de saignement aigu le taux sérique d’hémoglobine ne reflète absolument pas la profondeur du saignement, qui est évaluée par les signes vitaux et éventuellement par le choc index.

Un bilan d’hémostase (hémogramme, TP et TCA) recherche une coagulopathie, pouvant justifier la ­réalisation d’un temps de saignement (temps d’occlusion) et d’un dosage du facteur de von Willebrand. Un dosage de TSH ultrasensible (TSH-us) permet de rechercher une dysthyroïdie (augmentée en cas d’hypothyroïdie). En cas de saignement de grande abondance, le bilan précédent est complété par un groupe sanguin, un rhésus et la recherche d’agglutinines irrégulières.

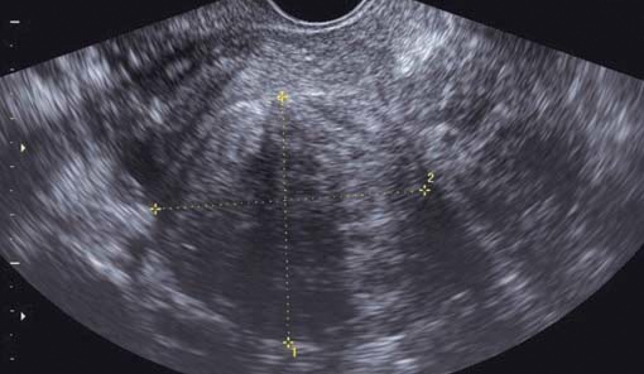
Échographie pelvienne (2D ou 3D)

Elle est toujours indiquée en cas d’hémorragie génitale d’origine haute, réalisée par voie sus-pubienne dans un premier temps, puis par voie endovaginale, vessie vide, dans un deuxième temps.Elle mesure la taille de l’utérus, qui est augmentée en cas d’adénomyose ou de fibrome.

Elle est utile à l’étude du myomètre, diagnostiquant fibromes (et leur cartographie) et adénomyose (fig. 2).

Elle permet le diagnostic des pathologies intra­cavitaires (telles que polypes endo-utérins et fibromes utérins), la mesure de l’épaisseur endométriale et apprécie la régularité de l’endomètre (cancer de l’endomètre).

Elle visualise les annexes et s’assure de la normalité de celles-ci.

Enfin, elle vérifie la présence ou non d’un épanchement dans le cul-de-sac de Douglas.

Le Doppler couleur couplé à l’échographie permet d’étudier la vascularisation de lésions organiques (pédicule de polype, fibrome).

IRM pelvienne

L’imagerie par résonance magnétique (IRM) est l’examen de référence pour l’étude de la pathologie utérine et annexielle. Elle permet l’analyse du myomètre, de l’endomètre et de leur zone de jonction (diagnostic de certitude de l’adénomyose). Elle est performante pour l’évaluation des fibromes utérins car elle permet leur cartographie précise ainsi que la recherche de signes atypiques (léiomyomes actifs, plus rarement sarcomes).

Elle est très performante pour le bilan d’extension des cancers pelviens et l’étude des masses annexielles. Elle permet le diagnostic de certitude d’adénomyose en cas de doute échographique et peut être utile dans le cadre d’un bilan préopératoire pour myomectomie en donnant la topographie exacte des myomes.

Autres examens d’imagerie

La tomodensitométrie pelvienne n’a aucune indication dans le cadre de ménométrorragies.

L’artériographie avec cathétérisme sélectif des artères utérines est demandée de façon exceptionnelle devant une suspicion de malformation artérioveineuse ou bien en cas de saignement très abondant d’origine néoplasique ou traumatique. Cet examen s’accompagne généralement d’une procédure thérapeutique d’embolisation à visée hémostatique.

Explorations endocavitaires

Parmi les explorations endocavitaires possibles – hystéroscopie, hystérosalpingographie ou hystéronographie ­–, une seule doit être réalisée, les informations recueillies étant proches entre les différents examens. Il s’agit d’examens invasifs qui peuvent être exceptionnellement à l’origine de complications graves, et qui, de ce fait, doivent faire l’objet d’une information et d’un consentement éclairé de la patiente.

Hystéroscopie diagnostique

Elle consiste à introduire dans la cavité utérine un endoscope (fig. 3), qui peut être souple ou rigide. La distension de la cavité utérine se réalise au sérum physiologique ou à l’aide de CO2. Cet examen diagnostique peut se réaliser en consultation, sous anesthésie locale et, du fait du faible calibre des hystéroscopes, ne nécessite en général pas de dilatation du col utérin. Elle peut également être réalisée sous anesthésie générale, elle est alors associée au curetage biopsique ou hémostatique.

La visualisation de la cavité permet de faire le diag­nostic de polype, de fibrome sous-muqueux, d’hyperplasie endométriale ou de cancer de l’endomètre. 

L’hystéroscopie est en général accompagnée de biopsies endométriales.

Hystérosonographie

Il s’agit d’injecter 5 mL de sérum physiologique dans la cavité utérine à l’aide d’un cathéter durant une échographie afin de décoller les faces antérieures et postérieures de l’utérus. Elle permet de visualiser les contours d’une pathologie endocavitaire. Cet examen apporte des indications comparables à celles obtenues par hystéroscopie diagnostique mais ne permet pas la réalisation de biopsies dirigées. Elle est essentiellement intéressante pour les polypes et fibromes.

Hystérosalpingographie

Elle consiste à opacifier la cavité utérine et les trompes de Fallope par injection d’un produit de contraste hydro­soluble iodé après avoir cathétérisé le col utérin. Plusieurs clichés sont ensuite réalisés : un premier précoce à faible pression permet de visualiser la patho­logie muqueuse (polype, hyperplasie, cancer de l’endomètre) ; deux clichés en réplétion complète de face et de profil permettent de visualiser la pathologie du myomètre (adénomyose, fibrome interstitiel ou sous-muqueux) ainsi que la pathologie tubaire ; enfin, un dernier cliché tardif, dit d’évacuation, réalisé après vingt minutes de déambulation, permet de vérifier le passage intrapéritonéal du produit de contraste. Cet examen peut être intéressant dans un contexte d’infertilité associé.

Analyse histologique de l’endomètre

Elle permet de diagnostiquer une pathologie néoplasique endométriale (hyperplasie, cancer) ou infectieuse (infiltrat à polynucléaires ou lymphoplasmocytaire) ; à l’inverse, lorsqu’elle est normale, elle permet de conclure à une hémorragie génitale fonctionnelle. Trois méthodes de prélèvement d’endomètre à visée biopsique sont possibles.

Pipelle de Cornier

Elle permet d’obtenir des prélèvements par aspiration manuelle en consultation en introduisant la pipelle – qui est souple – (fig. 4) dans la cavité utérine. Il s’agit de la méthode la moins douloureuse et sa réalisation est facile. Elle est utilisée en première intention pour l’obtention de biopsies endométriales.

Curetage biopsique

Il est réalisé sous anesthésie générale au bloc opératoire et nécessite une dilatation du col de l’utérus. 

Canule de Novak

La biopsie est réalisable en consultation après mise en place d’un spéculum par abrasion de la muqueuse utérine à l’aide de la canule (fig. 4).

Causes

Les principales causes d’hémorragie génitale chez la femme, en dehors de la grossesse, sont recensées dans le tableau.

Causes utérines

Elles peuvent être de quatre types : myométriales, endo­métriales, infectieuses ou artérioveineuses.

Pathologie myométriale

Le léiomyome, ou fibrome utérin, est une tumeur bénigne développée à partir du myomètre (voir Item 42 « Tuméfaction pelvienne chez la femme »). Il représente la principale cause organique de saignement génital avant l’âge de 40 ans. Les fibromes peuvent être responsables d’hémorragie génitale par différents mécanismes (altérations de l’endomètre en rapport avec le fibrome, hypervascularisation des plexus veineux sous-muqueux, anomalies de la contractilité utérine). La responsabilité d’un fibrome sur les hémorragies est d’autant plus probable qu’il est de type sous-­muqueux, interstitiel, proche de la cavité endométriale et volumineux.Les saignements sont le plus souvent des ménorragies d’aggravation progressive pouvant entraîner une anémie sévère. L’aggravation se fait vers des saignements quasi continus.

L’examen clinique peut mettre en évidence une masse abdominale à la palpation. Le toucher vaginal recherche un utérus augmenté de volume, arrondi ou bosselé, une masse latéro-utérine solidaire de l’utérus ou bien une déviation du corps utérin par le fibrome. L’examen au spéculum peut rarement retrouver un myome sous-muqueux pédiculé accouché par le col.

Une échographie pelvienne est réalisée pour confirmer le diagnostic clinique et pour apprécier le volume utérin qui peut avoir des contours déformés par les léiomyomes. Les fibromes ont un aspect échographique caractéristique, arrondi, légèrement hypo­échogène par rapport au myomètre, avec vascularisation périphérique (fig. 5). L’échographie permet la cartographie des fibromes ainsi que le suivi de leur évolution.

L’imagerie par résonance magnétique (IRM) est l’examen de référence pour cartographier et caractériser les fibromes. Chez les patientes périménopausées présentant des fibromes d'apparition récente ou à croissance rapide, une IRM est nécessaire pour éliminer une dégénérescence atypique ou un sarcome.

L’hystérosalpingographie, si elle est réalisée, retrouve des images lacunaires en cas de myome sous-muqueux ou interstitiel. Elle est normale en cas de fibrome sous-séreux.

L’hystéroscopie diagnostique, réalisable en consultation, permet la visualisation directe d’un fibrome sous-muqueux ou la voussure créée par un fibrome interstitiel en regard dans la cavité utérine.

L’évolution spontanée des fibromes est en règle ­générale favorable, avec involution et calcification des fibromes à la ménopause.

L’adénomyose est une infiltration du myomètre, à partir de la cavité utérine, par des glandes endométriales. Typiquement, il s’agit d’une pathologie de la quarantaine chez une multipare. Les ménométrorragies sont souvent associées à des dysménorrhées sévères de fin de règles. Le toucher vaginal retrouve un utérus augmenté de volume de façon régulière, dur, lourd et sensible à la palpation. L’échographie permet d’évoquer le diagnostic en retrouvant un utérus augmenté de volume de façon assez diffuse avec souvent une disparité de taille entre le mur antérieur et le mur postérieur. Le myomètre apparaît hétérogène mais sans noyau myomateux nettement individualisable en son sein ; on peut aussi retrouver des images kystiques myométriales et des travées hyperéchogènes.

L’hystérosalpingographie, non indispensable, retrouve des images d’addition dites en boules de gui, typiques, ainsi qu’une rigidité des bords utérins. L’hystéroscopie peut plus rarement retrouver l’orifice des diverticules. L’IRM est l’examen diagnostique de référence même si elle n’est pas réalisée en pratique courante du fait de son coût. Elle retrouve typiquement un épaississement de la zone de jonction, des images d’hypertrophie focale ou diffuse du myomètre avec des spots myométriaux en hypersignal en séquence T2.

Pathologie endométriale

Les polypes muqueux représentent la principale cause de ménométrorragies organiques après l’âge de 40 ans.

En raison de leur structure friable, ils peuvent être responsables de métrorragies ou de ménorragies. 

Ils peuvent être la cause de douleurs à type de colique expulsive. L’examen clinique retrouve un utérus normal au toucher vaginal. Leur diagnostic est le plus souvent évoqué sur une échographie pelvienne visualisant une image endocavitaire d’échogénicité comparable au myomètre. Le Doppler permet de retrouver le pédicule. L’hystérographie, si elle est réalisée, retrouve une image régulière intracavitaire. L’hystéroscopie permet le diagnostic de certitude et leur résection (fig. 6). Ils sont le plus souvent bénins (par hyperplasie glandu­lokystique ou fibro-adénomateux). Un examen anatomopathologique est néanmoins associé afin de ne pas méconnaître un cancer de l’endomètre.

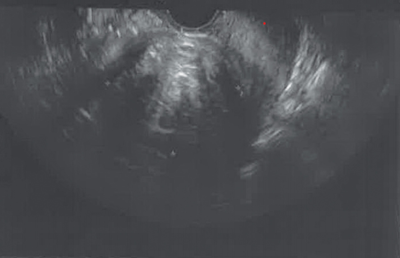
L’hyperplasie de l’endomètre correspond à des anomalies structurales endométriales aux frontières de la bénignité et de la malignité. Le diagnostic est histologique. On retrouve à l’échographie un endomètre épaissi (fig. 7). L’hystéroscopie met en évidence un endomètre épais et permet de diriger les biopsies. La classification de l’Organisation mondiale de la santé (OMS) de 1994, reconduite en 2003, subdivisait les hyperplasies endométriales en quatre groupes : les hyperplasies simples sans atypies, les hyperplasies complexes sans atypies, les hyperplasies simples avec atypies et les hyperplasies complexes avec atypies. La classification de l’OMS de 2014, reconduite en 2020, a simplifié cette classification et conservé uniquement deux groupes : les hyperplasies endométriales sans atypies et les hyperplasies endométriales avec atypies/EIN (Endometrioid intraepithelial neoplasia). Il a été démontré qu’hyperplasie atypique et EIN étaient sensiblement synonymes. 

Le cancer de l’endomètre est la première cause à évoquer en cas de métrorragies post-ménopausiques. Ces métrorragies sont spontanées, indolores et de faible abondance. Il s’agit en général d’un adénocarcinome. L’interrogatoire recherche des facteurs de risque généraux (âge, diabète, hypertension artérielle [HTA], obésité), locaux (irradiation pelvienne, hyperplasie adénomateuse ou atypique) ou hormonaux (puberté précoce, ménopause tardive, nulliparité, estrogénothérapie de traitement hormonal substitutif, prise de tamoxifène). L’examen retrouve un utérus modérément augmenté de taille. Le diagnostic repose sur l’histologie. On peut réaliser une biopsie d’endomètre en consultation à la pipelle de Cormier ou à la canule de Novak qui n’a de valeur que si elle est positive. Le prélèvement histologique peut aussi être réalisé par curetage bio­psique ou sous hystéroscopie, permettant la visualisation directe des lésions et le guidage des prélèvements histologiques par résection. L’échographie pelvienne recherche un épaississement de l’endomètre (mesure des deux feuillets supérieure à 4 mm) ainsi qu’une irrégularité de celui-ci, avec une mauvaise visualisation de l’interface endomètre-myomètre.

Infection génitale haute

Les endométrites sont une cause de métrorragies d’autant plus qu’elles peuvent être chroniques, avec inflammation de l’endothélium. Les salpingites aiguës sont responsables de métrorragies dans 40 % des cas. Les métrorragies peuvent être le seul signe d’infection génitale haute. On recherche des facteurs de risque : post-­partum, post-abortum, gestes intra-utérins (curetage, hystérographie, port de dispositif intra-utérin). Les endométrites peuvent être responsables de leucorrhées purulentes, de douleurs pelviennes, voire de fièvre. L’examen clinique peut retrouver un utérus mou et surtout très douloureux à la mobilisation. On réalise des prélèvements bactériologiques locaux. Dans les formes subaiguës, la biopsie de l’endomètre peut être utile au diagnostic en retrouvant un infiltrat lympho­plasmocytaire. Le traitement repose sur une antibiothérapie adaptée.

Malformations artérioveineuses

Il s’agit d’une cause rare d’hémorragie mais pouvant être responsable de saignement de grande abondance. Elle se voit le plus souvent au décours d’une fausse couche spontanée ou d’un avortement. Elle est suspectée sur l’échographie avec Doppler et confirmée par l’artériographie, qui réalise le traitement dans le même temps.

Causes cervicales et vulvo-vaginales

Infection génitale basse

Les cervicites peuvent être responsables de métrorragies spontanées ou provoquées. On peut retrouver des leucorrhées associées ainsi que des signes fonctionnels urinaires évocateurs d’urétrite. Les vulvo-vaginites ­aiguës peuvent être responsables de métrorragies par érosion de l’épithélium vaginal, en particulier chez la femme âgée.

L’examen au spéculum peut retrouver un ectropion surinfecté avec saignement de contact. On effectue des prélèvements bactériologiques et des biopsies au moindre doute. Le traitement repose sur l’antibiothérapie locale par ovule ou systémique. Dans tous les cas, on réalise un frottis cervicovaginal et un test HPV après résolution de l’infection.

Cancer du col utérin

Le cancer du col utérin doit être évoqué, que les métrorragies soient provoquées par les rapports ou non. L’examen au spéculum recherche un aspect anormal du col, des lésions ulcérantes ou bourgeonnantes (fig. 8) évidentes à l’œil nu sur lesquelles sont pratiquées des biopsies. On réalise un frottis cervicovaginal et un test HPV de dépistage, puis des biopsies au cours d’une colposcopie, à la recherche d’un carcinome épidermoïde, le diagnostic reposant sur l’histologie.

Traumatismes

Les traumatismes peuvent être responsables d’hémorragie par lésions, que ce soit au niveau de la vulve, de l’hymen ou des culs-de-sac vaginaux. Ils peuvent nécessiter un geste chirurgical d’hémostase et de réparation en fonction de l’importance de la plaie et du saignement. Il faut rechercher un contexte de violence ou d’abus sexuel.

Autres causes

Il faut évoquer des corps étrangers intravaginaux, une néoplasie du vagin ou de la vulve.

Tumeurs ovariennes sécrétantes

Elles sont responsables de métrorragies par sécrétion estrogénique. Il s’agit principalement de tumeurs non épithéliales de l’ovaire. Elles peuvent être bénignes (fibrothécomes, fibromes ovariens) ou malignes. Il s’agit en général de tumeurs ovariennes solides et régulières à l’échographie. La difficulté est de faire le diagnostic différentiel entre une tumeur bénigne et une tumeur maligne. L’exploration commence par une échographie, puis une IRM associées au dosage de marqueurs tumoraux (ACE, CA125) et fait, en cas de doute, largement appel à la cœlioscopie pour le diagnostic de certitude résidant dans l’histologie.

Troubles de la coagulation

Il s’agit d’une cause assez fréquente d’hémorragie génitale, le plus souvent associée à une cause locale ; la maladie de von Willebrand, les thrombopathies (dépistées par le temps d’occlusion plaquettaire), les traitements anticoagulants, les thrombopénies peuvent être responsables de ménométrorragies. Ces anomalies de la coagulation peuvent être congénitales ou acquises. Les thrombopénies acquises peuvent être d’origine centrale (atteinte de la moelle osseuse) ou périphérique (pathologies auto-immunes ou hyper­splénisme secondaire à une hémopathie ou une hyper­tension portale).

Les thrombopathies peuvent aussi être en cause (maladie de von Willebrand, qui est la plus fréquente, thrombasthénie de Glanzmann, maladie de Bernard-­Soulier).

L’hémostase secondaire peut aussi être source d’hémorragie génitale par déficit en facteur de la coagulation constitutionnel (patientes conductrices d’hémophilie, déficit en facteur XI) ou acquis (insuffisance hépatocellulaire avec déficit en facteur V, surdosage en anticoagulants).

Maladies systémiques

L’hypothyroïdie, quand elle est recherchée, est retrouvée dans 15 à 20 % des cas de ménométrorragies. Les valeurs de la TSH sont significativement augmentées, avec des valeurs de T4 libre significativement plus basses. L’opothérapie substitutive permet l’arrêt des ménométrorragies, en l’absence de cause organique associée. 

Le lupus érythémateux aigu disséminé est une maladie systémique pouvant se compliquer de ménométrorragies. Le mécanisme des ménométrorragies peut s’expliquer par un syndrome des anticorps antiphospholipides même si celui-ci semble plus souvent être responsable d’un état d’hypercoagulabilité que d’hypocoagulabilité. Les ménométrorragies peuvent aussi s’expliquer par l’insuffisance rénale chez certaines patientes lupiques.

L’insuffisance rénale chronique est responsable d’une diminution de l’agrégation plaquettaire liée à l’élévation du taux d’urémie et peut être responsable de ménométrorragies par ce biais.

L’insuffisance hépatique peut être responsable de ménométrorragies par troubles de la coagulation secondaires à un déficit en thrombopoïétine, une carence vitaminique, un hypersplénisme ou un déficit en facteur V.

Elle peut aussi être responsable de méno­métrorragies par altération du métabolisme des estrogènes ayant comme conséquence une hyper­estrogénie.

Hémorragies fonctionnelles : hémorragie idiopathique et hémorragie fonctionnelle anovulatoire

Les hémorragies fonctionnelles responsables de ménorragies sont un diagnostic d’exclusion. Cela implique une échographie pelvienne/IRM normale et une biopsie endométriale négative. Les hémorragies fonctionnelles peuvent être ovulatoires ou anovulatoires. Elles touchent 20 % des femmes en période d’activité génitale. Ces hémorragies sont très fréquentes chez l’adolescente et ne doivent pas donner lieu à une recherche diagnostique trop poussée.

Les hémorragies fonctionnelles ovulatoires ont été redéfinies sous le terme d’hémorragies idiopathiques depuis les dernières recommandations pour la pratique clinique du Collège national des gynécologues et obstétriciens français (CNGOF) de 2022 portant sur la prise en charge des ménorragies. Ce diagnostic n’est retenu qu’après avoir éliminé toute cause organique ou systémique. Les hémorragies idiopathiques, dont la physiopathologie est peu connue, pourraient être dues à des facteurs locaux secondaires à l’augmentation de l’activité enzymatique lysosomiale endométriale. Les hémorragies fonctionnelles anovulatoires se rencontrent aux extrémités de la période d’activité génitale. Il se crée un climat d’hyperestrogénie par cycles anovulatoires ainsi qu’une anomalie de l’hémostase locale, avec un dés­équilibre du métabolisme des prostaglandines.

Il s’agit, à la périménopause, d’une hyperplasie endométriale par hyperestrogénie relative secondaire à une succession de cycles anovulatoires. Il peut aussi s’agir d’une atrophie endométriale par carence estrogénique à la ménopause.

Le syndrome des ovaires polykystiques peut aussi être à l’origine d’hémorragie fonctionnelle anovulatoire, et l’exposition aux estrogènes sans opposition de progestérone peut, chez ces patientes en anovulation chronique, conduire à une hyperplasie endométriale et un adénocarcinome de l’endomètre.

Circonstances particulières

Fillette

  • Les causes vulvo-vaginales sont les plus fréquentes :
  • corps étranger intravaginal souvent associé à des leucorrhées. L’examen est réalisé à l’aide d’un spéculum de vierge ;
  • sévices à enfants : déchirure hyménéale, plaies vaginales nécessitant un signalement judiciaire ;
  • plaies traumatiques ;
  • vulvo-vaginites nécessitant un traitement local ;
  • tumeurs bénignes ou malignes cervicovaginales rares (recherche d’exposition in utero au Distilbène).

Puberté

Dans le cadre d’une puberté précoce, on recherche une tumeur ovarienne ou hypothalamique, mais celle-ci est le plus souvent idiopathique.

Les hémorragies fonctionnelles anovulatoires de la période pubertaire sont les plus fréquentes et sont secondaires à une insuffisance lutéale responsable de cette anovulation.

Contraception

Les dispositifs intra-utérins (DIU) augmentent fréquemment le flux menstruel et peuvent être responsables de ménorragies par inflammation locale. 

Les systèmes intra-utérins (SIU) à la progestérone réduisent le volume des règles mais peuvent être responsables de spottings par atrophie endométriale. Les déplacements et migrations de stérilet peuvent aussi provoquer des métrorragies, et il faut s’assurer de la bonne position du DIU par une échographie. Les implants contraceptifs sous-cutanés progestatifs peuvent être responsables de métrorragie ; les patientes doivent être prévenues de ce risque avant l’insertion.

Sous contraception orale progestative, on peut observer des métrorragies par atrophie de l’endomètre.

La contraception orale estroprogestative mini­dosée peut être cause de spottings.

Traitement hormonal de la ménopause

Il peut être responsable d’hémorragie par hyperplasie endométriale en cas de prescription estrogénique isolée par exemple, ou bien par atrophie endométriale en cas de carence estrogénique. Il faut alors adapter le traitement hormonal de la ménopause.

Femme très âgée

La patiente doit être examinée à la recherche de diag­nostic différentiel (hématurie, rectorragie), et un examen gynécologique le plus complet possible doit être réalisé, à la recherche d’un cancer. Les explorations endo-utérines sont indispensables à la recherche d’une cause du saignement : échographie par voie endovaginale, biopsie endométriale, hystéro­scopie.

Cancer du sein

Les patientes préménopausées sous hormonothérapie (tamoxifène) pour un cancer du sein sont plus à risque de pathologie endométriale. Une échographie pelvienne doit être réalisée ainsi qu’une hystéroscopie diagnostique dans le cas d’endomètre épais ou de métrorragies.

Orientation diagnostique 

La figure 9 résume la démarche diagnostique devant une hémorragie génitale de la femme. Elle se décline en  quatre étapes.

Apprécier l’abondance de l’hémorragie : l’examen clinique initial permet de classer les hémorragies en faible, moyenne et grande abondance (saignement abondant au spéculum ou à l’interrogatoire, retentissement hémodynamique, signes d’anémie). Les hémorragies utérines aiguës nécessitent une prise en charge thérapeutique immédiate indépendante de leur cause.

Éliminer une grossesse avec certitude : chez toute femme en période d’activité génitale et quel que soit le mode de contraception. On a recours à un test qualitatif sanguin ou urinaire des β-HCG. L’intérêt du test urinaire est qu’il permet d’obtenir un résultat immédiat préliminaire à toute exploration diagnostique (voir Item 23 : « Principales complications de la grossesse »).

Préciser l’origine du saignement et rechercher une cause cervicovaginale évidente : l’examen au spéculum est à cet égard indispensable.

Éliminer une cause infectieuse, essentiellement sur les données de l’examen clinique et, en cas de doute, à l’aide de prélèvements bactériologiques, voire d’une biopsie endométriale.

En l’absence d’une de ces causes, les investigations sont toujours poursuivies par une échographie pelvienne et une biopsie endométriale à la pipelle de Cornier, systématique pour certains, à la recherche d’une néoplasie de l’endomètre.

En fonction des données des explorations pré­cédentes, il est parfois nécessaire de réaliser une exploration endocavitaire (hystéroscopie, hystérographie ou hystérosonographie) ou une IRM. De telles explorations ne doivent en aucun cas être systématiques.

Principes du traitement symptomatique

Arrêter l’hémorragie

Hémorragies de grande à moyenne abondance non compliquées

Il n’existe pas de retentissement hémodynamique, l’anémie est absente ou bien tolérée.

On utilise un progestatif de synthèse à effet atrophiant à forte dose : 1 500 mg par jour. L’effet sur l’hémorragie est retardé de quelques jours.

Une forte dose d’estrogène par voie percutanée (patch de 100 μg d’estradiol), mieux tolérée, ou par voie orale (estradiol micronisé 4 mg, soit 2 comprimés) peut être administrée en une dose unique (prescription hors autorisation de mise sur la marché [AMM]). Néanmoins, cette prescription est contre-indiquée en cas d’antécédents thromboemboliques, d’insuffisance coronarienne, de migraine avec aura, d’affection vasculaire cérébrale ou oculaire et de tabagisme important.

Un hémostatique par voie générale peut être utilisé de manière adjuvante en l’absence d’antécédents thromboemboliques : acide tranexamique (3 g/j en trois prises IVL ou PO) ou dicynone (6 comprimés par jour ou 2 ampoules à 250 mg IVL 3 fois/j).

À l’arrêt du saignement, on peut proposer un relais par macroprogestatifs de synthèse à effet atrophiant, par exemple l’acétate de chlormadinone, l’acétate de nomégestrol ou la médrogestone.  Si le traitement est maintenu plus d’une année, il existe un sur-risque de méningiome. Un suivi par IRM cérébrale est indispensable.

Chez une femme ayant des ménorragies associées à une adénomyose, il est recommandé de proposer en première intention un traitement hormonal par dispositif intra-utérin au lévonorgestrel 52 mg (en l’absence de contre-indication).

Hémorragie avec retentissement hémodynamique ou anémie profonde ou mal tolérée

La patiente est hospitalisée en service de gynécologie ou en réanimation selon la gravité. On réalise un bilan prétransfusionnel et préopératoire. La prise en charge est multidisciplinaire, en concertation avec l’anesthésiste-réanimateur.

La prise en charge classique consistait à réaliser un curetage utérin abrasif à visée hémostatique au bloc opératoire sous anesthésie générale. Il permettait un effet hémostatique immédiat prolongé de trois à quatre semaines. Le produit de curetage était adressé en anatomopathologie.

L’attitude actuelle fait appel à l’hystéroscopie à visée diagnostique et thérapeutique. Elle est réalisable en période hémorragique avec un système de lavage et permet le diagnostic étiologique de l’hémorragie. Elle permet éventuellement la réalisation d’un traitement étiologique (résection d’un myome, d’un polype muqueux).

Secondairement, dans l’attente du résultat anatomo­pathologique, un progestatif est prescrit pour atrophier la muqueuse.

Hémorragies massives réfractaires

Dans certains cas rares, l’hémorragie génitale résiste aux traitements précédents et on peut avoir recours soit à l’embolisation bilatérale des artères utérines à visée hémostatique (malformation artérioveineuse) soit à l’hystérectomie d’hémostase.

Traitement étiologique

Il est indispensable, une fois l’hémorragie jugulée.

Cas particulier des hémorragies fonctionnelles

Le traitement médical non hormonal peut reposer sur l’utilisation des AINS et sur les antifibrinolytiques, qui ont une action locale durant les menstruations. Les AINS ont par ailleurs une action sur des dysménorrhées associées.

Le traitement médical hormonal utilise des progestatifs oraux pendant dix jours en phase lutéale ou pendant vingt jours s’il y a désir de contraception. On peut aussi prescrire une contraception orale estroprogestative.

Le DIU au lévonorgestrel est validé dans cette indication mais peut produire des spottings par atrophie endométriale.

Le traitement chirurgical est indiqué en cas d’inefficacité du traitement médical chez des patientes âgées n’ayant plus de désir de grossesse. On peut réaliser une endométrectomie par hystéroscopie opératoire ou bien une thermocoagulation endométriale par ballonnet thermique en cas de traitement conservateur chez les femmes sans désir de grossesse ultérieure.

Chez l’adolescente avec des ménorragies idiopathiques, les traitements hormonaux et l’acide tranexamique sont efficaces. En l’absence d’étude ciblée chez les adolescentes comparant les différents traitements entre eux, il n’est pas possible de recommander une théra­peutique plus qu’une autre.

Points forts

• Il faut toujours rechercher une grossesse chez la femme en âge de procréer.

• Le retentissement hémodynamique de l’hémorragie doit être apprécié et les mesures de réanimation rapidement mises en place si elles sont nécessaires.

• L’examen au spéculum est primordial pour déterminer l’origine du saignement (hémorragie vaginale, cervicale ou d’origine endo-utérine).

• L’examen diagnostique principal est l’échographie pelvienne.

• Toute métrorragie chez la femme ménopausée est un cancer de l’endomètre, jusqu’à preuve du contraire.

Message auteur

Devant des hémorragies génitales de la femme, la démarche doit être double :

  • effectuer le diagnostic étiologique par des moyens simples et peu contraignants ;
  • apprécier et prendre en charge le retentissement du saignement. 

En ce qui concerne le diagnostic étiologique, il n’y a pas de « tiroir » possible. L’interrogatoire et l’examen physique orienté conditionnent la prescription et la hiérarchisation des examens complémentaires qui doivent être limités au strict nécessaire du fait de la banalité du symptôme. 

Chez la femme en âge de procréer, il faut toujours éliminer une grossesse, quel que soit le mode de contraception. Dans un certain nombre de cas, plusieurs pathologies peuvent coexister du fait de leur fréquence (par exemple, fibromes et hyperplasie de l’endomètre) ; l’étudiant doit faire la preuve de ses capacités de raisonnement sur la physiopathologie du saignement. Certains diagnostics se passent totalement de preuve histologique, par exemple les fibromes et l’adénomyose, alors que d’autres, comme les hyperplasies ou les cancers utérins, requièrent impérativement une histologie, ce qui implique la connaissance des moyens d’obtention de celle-ci. 

La prise en charge du retentissement peut faire l’objet d’une question transversale de réanimation, avec un choc hypovolémique nécessitant, par exemple, une transfusion de produits sanguins labiles et la réalisation concomitante d’un geste d’hémostase. 

Une autre question transversale peut porter sur la prise en charge adaptée de l’anémie, aiguë ou chronique, associée au saignement. 

Le dossier type est celui de l’exploration pas à pas d’hémorragies génitales chez une femme à l’approche de la ménopause, où à peu près tous les diagnostics peuvent être évoqués (y compris la grossesse et l’infection génitale). Le dossier peut comporter une partie sur la prise en charge dans le cadre de l’urgence d’une hémorragie de moyenne ou de grande abondance, une partie sur la prescription et les résultats attendus des examens complémentaires et, enfin, une partie plus thérapeutique sur la prise en charge médicale ou chirurgicale d’une pathologie bénigne de l’endomètre (hyperplasie) ou du myomètre (fibrome, adénomyose).

Dans cet article

Ce contenu est exclusivement réservé aux abonnés