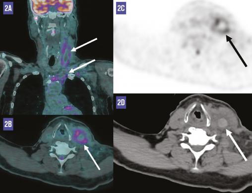
Ce patient de 63 ans était adressé pour bilan de douleurs abdomino-pelviennes associées à des adénomégalies cœliaques et lombo-aortiques dans un contexte d’altération de l’état général. La tomographie par émission de positons au fluorodésoxyglucose distinguait de multiples foyers hypermétaboliques ganglionnaires et osseux (fig. 1), ainsi qu’un hypermétabolisme intense du bas œsophage correspondant à un adénocarcinome. Il existait également un hypermétabolisme circonférentiel de la veine jugulaire interne gauche, s’étendant jusqu’au tronc veineux innominé, avec un aspect spontanément hyperdense au scanner (fig. 2). Ces anomalies étaient très évocatrices d’un thrombus. L’échographie veineuse en mode Doppler a confirmé ce diagnostic.

La maladie thromboembolique veineuse (MTEV) est une maladie multifactorielle liée à un déséquilibre du système de coagulation. Les patients atteints de cancer ont jusqu’à sept fois plus de risque de développer une MTEV que des patients exempts de toute lésion néoplasique.1 Dans le cancer de l’œsophage, son incidence est estimée à environ 13,4 %.2 Le statut métastatique est associé à un risque encore accru de MTEV.3 De même, les premiers mois après le diagnostic d’un cancer sont corrélés à une plus forte incidence d’événements thrombo-­emboliques.3 Lorsqu’aucune cause n’est identifiée, il n’est ainsi pas rare que la MTEV soit révélatrice d’une néoplasie.1 Le traitement de première intention de la MTEV dans ce contexte repose sur les héparines de bas poids moléculaire.4

Références

1. Falanga A, Marchetti M, Vignoli A. Coagulation and cancer: biological and clinical aspects. J Thrombosis and Haemost 2013;11:223-33.
2. Marshall-Webb M, Bright T, Price T, Thompson SK, Watson DI. Venous thromboembolism in patients with esophageal or gastric cancer undergoing neoadjuvant chemotherapy. Dis Esophagus 2017;30:1-7.
3. Wun T, White RH. Epidemiology of cancer-related venous thromboembolism. Best Pract Res Clin Haematol 2009;22:9-23.
4. Farge D, Frere C, Connors JM, Ay C, Khorana AA, Munoz A, et al. 2019 international clinical practice guidelines for the treatment and prophylaxis of venous thromboembolism in patients with cancer. Lancet Oncol 2019;20:e566-e581.

Une question, un commentaire ?