Une patiente âgée de 42 ans – ayant comme antécédents des angines à répétition à raison de six épisodes par an – est admise au sein du service de dermatologie pour des plaques érythémateuses non prurigineuses apparues vingt-cinq jours auparavant, rapidement évolutives, avec une toux et des expectorations blanchâtres, ainsi qu’une fièvre à 39 °C.
L’examen clinique cutanéo-muqueux met en évidence : de multiples plaques érythémateuses grossièrement ovalaires bien limitées, infiltrées, mesurant de 0,5 à 4 cm de diamètre, siégeant au niveau des avant-bras, des mains et des pieds avec, à la dermoscopie, la présence de plages érythémateuses (fig. 1) ; de multiples lésions papulo-pustuleuses inflammatoires monomorphes, grossièrement dispersées au niveau du dos faisant évoquer une acné cortico-induite ; une lésion papuleuse brunâtre bien limitée grossièrement ovalaire de 1 cm de diamètre siégeant au niveau du sein droit avec, à la dermoscopie, présence d’un réseau d’hyperpigmentation homogène correspondant à une kératose séborrhéique ; une lésion papuleuse brunâtre arrondie bien limitée de 1 cm de diamètre, localisée au niveau de la région lombaire gauche avec, à la dermoscopie, présence d’une pigmentation hétérogène (résultat de biopsie : nævus dermique) ; de multiples macules brunâtres en demi-cercle de taille variable allant de 1 à 2 cm de diamètre, dispersées au niveau de l’abdomen, correspondant à des cicatrices de points de feu ; présence d’une kératodermie plantaire fissuraire en bilatéral.
Les résultats du bilan biologique de retentissement montrent une hyperleucocytose à 16 570/mm3 avec des polynucléaires neutrophiles (PNN) à 13 810/mm3 et une protéine C réactive (CRP) élevée à 102 mg/L. Le bilan biologique étiologique trouve un test QuantiFERON-TB positif (5,02 UI/mL) et une enzyme de conversion de l’angiotensine positive (80 UI/L). Le reste du bilan, y compris les sérologies hépatites B, C, VIH et syphilis, est négatif.
Les cultures mycobactériennes restent stériles. Les marqueurs tumoraux sont négatifs.La biopsie des lésions cutanées conclut à un « aspect morphologique entrant dans le cadre d’une dermatose neutrophilique probable de type syndrome de Sweet : lésion quelque peu évoluée avec légères lésions de vascularite focale ».
Le diagnostic de syndrome de Sweet est donc retenu devant ces critères majeurs (lésions dermatologiques et résultat de la biopsie cutanée) et mineurs (fièvre, toux avec dyspnée et expectorations blanchâtres, CRP, globules blancs et PNN élevés).
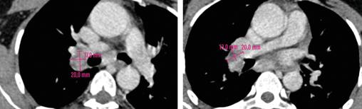
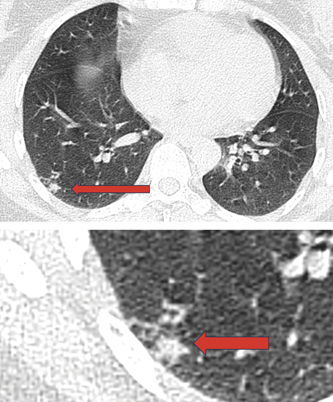
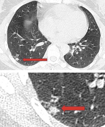
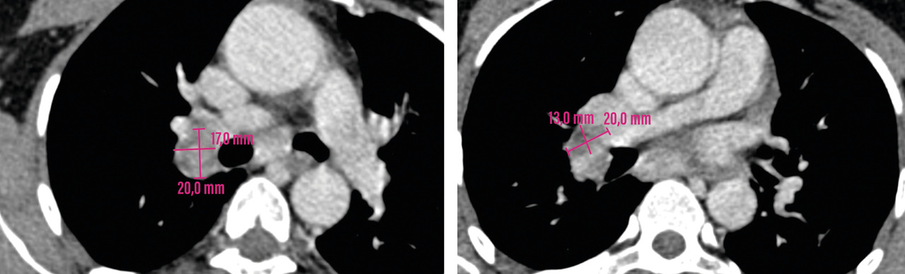
Un scanner cervico-thoraco-abdomino-pelvien est réalisé, à la recherche de signes radiologiques d’une pathologie associée. Il montre des adénopathies médiastino-hilaires droites, nécrotiques (fig. 2) et un foyer de micronodules parenchymateux pulmonaires lobaires inférieurs droits, confluents, avec un nodule central, réalisant le signe de la galaxie, visible sur une tomodensitométrie axiale du thorax (fig. 3). Ces signes sont-ils ceux d’une sarcoïdose pulmonaire active ou d’une atteinte granulomateuse de type tuberculose ou d’une autre cause ?
Une bronchoscopie avec biopsie bronchique est en faveur d’un tissu bronchique siège de lésions granulomateuses épithélioïdes et gigantocellulaires sans nécrose caséeuse. Elle note l’absence de malignité.
L’examen des expectorations ne mettait pas en évidence de bacilles acido-alcoolorésistants (BAAR).Le diagnostic de sarcoïdose pulmonaire active associée au syndrome Sweet a été retenu.
L’examen clinique cutanéo-muqueux met en évidence : de multiples plaques érythémateuses grossièrement ovalaires bien limitées, infiltrées, mesurant de 0,5 à 4 cm de diamètre, siégeant au niveau des avant-bras, des mains et des pieds avec, à la dermoscopie, la présence de plages érythémateuses (fig. 1) ; de multiples lésions papulo-pustuleuses inflammatoires monomorphes, grossièrement dispersées au niveau du dos faisant évoquer une acné cortico-induite ; une lésion papuleuse brunâtre bien limitée grossièrement ovalaire de 1 cm de diamètre siégeant au niveau du sein droit avec, à la dermoscopie, présence d’un réseau d’hyperpigmentation homogène correspondant à une kératose séborrhéique ; une lésion papuleuse brunâtre arrondie bien limitée de 1 cm de diamètre, localisée au niveau de la région lombaire gauche avec, à la dermoscopie, présence d’une pigmentation hétérogène (résultat de biopsie : nævus dermique) ; de multiples macules brunâtres en demi-cercle de taille variable allant de 1 à 2 cm de diamètre, dispersées au niveau de l’abdomen, correspondant à des cicatrices de points de feu ; présence d’une kératodermie plantaire fissuraire en bilatéral.
Les résultats du bilan biologique de retentissement montrent une hyperleucocytose à 16 570/mm3 avec des polynucléaires neutrophiles (PNN) à 13 810/mm3 et une protéine C réactive (CRP) élevée à 102 mg/L. Le bilan biologique étiologique trouve un test QuantiFERON-TB positif (5,02 UI/mL) et une enzyme de conversion de l’angiotensine positive (80 UI/L). Le reste du bilan, y compris les sérologies hépatites B, C, VIH et syphilis, est négatif.
Les cultures mycobactériennes restent stériles. Les marqueurs tumoraux sont négatifs.La biopsie des lésions cutanées conclut à un « aspect morphologique entrant dans le cadre d’une dermatose neutrophilique probable de type syndrome de Sweet : lésion quelque peu évoluée avec légères lésions de vascularite focale ».
Le diagnostic de syndrome de Sweet est donc retenu devant ces critères majeurs (lésions dermatologiques et résultat de la biopsie cutanée) et mineurs (fièvre, toux avec dyspnée et expectorations blanchâtres, CRP, globules blancs et PNN élevés).
Un scanner cervico-thoraco-abdomino-pelvien est réalisé, à la recherche de signes radiologiques d’une pathologie associée. Il montre des adénopathies médiastino-hilaires droites, nécrotiques (fig. 2) et un foyer de micronodules parenchymateux pulmonaires lobaires inférieurs droits, confluents, avec un nodule central, réalisant le signe de la galaxie, visible sur une tomodensitométrie axiale du thorax (fig. 3). Ces signes sont-ils ceux d’une sarcoïdose pulmonaire active ou d’une atteinte granulomateuse de type tuberculose ou d’une autre cause ?
Une bronchoscopie avec biopsie bronchique est en faveur d’un tissu bronchique siège de lésions granulomateuses épithélioïdes et gigantocellulaires sans nécrose caséeuse. Elle note l’absence de malignité.
L’examen des expectorations ne mettait pas en évidence de bacilles acido-alcoolorésistants (BAAR).Le diagnostic de sarcoïdose pulmonaire active associée au syndrome Sweet a été retenu.
Références
1. Sweet RD. An acute febrile neutrophilic dermatosis. Br J Dermatol 1964;76:349-56.
2. Denhove Van A, Freymond N, Isaac S, et al. Syndrome de Sweet révélant un carcinome bronchique épidermoïde. Rev Mal Respir 2007;24(1):77-80.
3. Stuveling EM, Fedder G, Bruns HM, et al. The association of Sweet's syndrome with sarcoidosis. Neth J Med 2001;59(1):31-4.
4. Saliba WR, Habib GS, Elias M. Sweet's syndrome and sarcoidosis. Eur J Intern Med 2005;16(8):545-50.
2. Denhove Van A, Freymond N, Isaac S, et al. Syndrome de Sweet révélant un carcinome bronchique épidermoïde. Rev Mal Respir 2007;24(1):77-80.
3. Stuveling EM, Fedder G, Bruns HM, et al. The association of Sweet's syndrome with sarcoidosis. Neth J Med 2001;59(1):31-4.
4. Saliba WR, Habib GS, Elias M. Sweet's syndrome and sarcoidosis. Eur J Intern Med 2005;16(8):545-50.
Une question, un commentaire ?
Lire aussi
Exercice
Exercice
Exercice
Exercice
Article