Une femme de 50 ans consulte pour une toux, des douleurs des deux chevilles et une éruption des membres inférieurs.
Quel est votre diagnostic ?
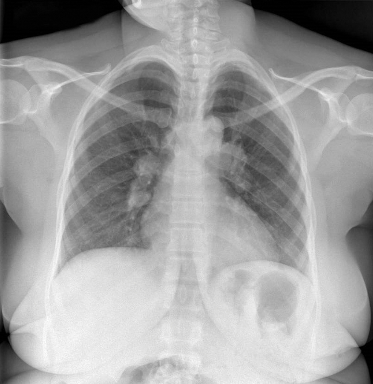
Le syndrome de Löfgren associe un érythème noueux, une bi-arthrite de chevilles et des adénopathies médiastinales.
Cette forme clinique aiguë de sarcoïdose évolue habituellement favorablement sans traitement.
Cette forme clinique aiguë de sarcoïdose évolue habituellement favorablement sans traitement.