Vous recevez en consultation Mme A., 61 ans, informaticienne, pour une gonalgie droite. Elle a un antécédent d’ulcère gastrique il y a huit ans avec traitement par lansoprazole depuis. Elle n’a pas d’autre antécédent et se considérait en bonne santé jusqu’à l’apparition brutale avant-hier d’une douleur du genou droit. La douleur a commencé pendant la nuit, avec une intensité d’emblée maximale (évaluation de la douleur à 8/10 sur l’échelle visuelle analogique [EVA]). Elle a noté l’apparition d’un gonflement et d’une rougeur en avant de la rotule. Elle ne rapporte pas de traumatisme ou de piqûre d’insecte dans les jours précédents et n’a jamais expérimenté de symptômes similaires.

Cliniquement, elle mesure 1,72 m et pèse 81 kg. Vous relevez les paramètres vitaux suivants : pression artérielle = 142/91 mmHg ; fréquence cardiaque = 83 battements par minute ; température = 36,3 °C ; saturation en oxygène = 98 %. Vous observez en effet une rougeur avec un gonflement superficiel en avant de la rotule. Le creux supra-patellaire est vide. Il n’y a pas de plaie visible. Les mobilités articulaires sont conservées, il n’y pas de flessum.

Les autres articulations ne sont ni douloureuses ni gonflées.
Question 1 - Quel(s) examen(s) proposez-vous en première intention ?
Ce n’est pas un examen de première intention devant une gonalgie non traumatique.
La description clinique est celle d’une bursite, il n’y a donc pas lieu de proposer une ponction articulaire (qui risquerait de disséminer le germe concerné en cas de bursite d’origine infectieuse).
Elles permettent d’avoir une approche structurale de l’articulation.
Oriente le diagnostic.
Oriente le diagnostic.
La description clinique est celle d’une bursite pré-rotulienne, qui se différencie de l’épanchement de genou par sa localisation et l’absence de retentissement sur les mobilités articulaires (un épanchement du genou s’associe à un flessum).
Devant cette entité, une analyse structurale est nécessaire, par radiographie et/ou échographie, ainsi qu’une prise de sang afin d’orienter le diagnostic vers une cause infectieuse, inflammatoire, ou microcristalline.
Vous avez demandé une échographie, qui confirme le diagnostic de bursite pré-patellaire.
Question 2 - Quel(s) élément(s) irai(en)t à l’encontre du diagnostic de goutte ?
La description typique du patient goutteux est celle du « bon vivant », qui consomme de la viande rouge et de la bière en excès. Ces aliments, riches en purines, sont à l’origine d’une hyperuricémie, qui peut engendrer la formation de cristaux et donc le développement d’une maladie goutteuse. Cependant, ce ne sont pas les seuls facteurs responsables de la maladie et elle peut se développer en l’absence de ceux-ci, notamment par prédisposition génétique. Leur absence ne permet donc pas d’éliminer le diagnostic.
Les tophi apparaissent après plusieurs années d’évolution et ne sont pas nécessaires au diagnostic.
Il n’y a pas d’anticorps associés à la maladie goutteuse et la présence d’anticorps anti-CCP orienterait le diagnostic vers une polyarthrite rhumatoïde.
La prévalence de la goutte augmente avec l’âge et a été estimée entre 1 et 4 % au-delà de 60 ans.
La présence de rectorragies associées peut évoquer une maladie inflammatoire chronique de l’intestin (MICI) et doit faire rechercher un diagnostic de spondylarthropathie.
Vous avez fait réaliser des examens complémentaires afin d’orienter votre diagnostic.
La prise de sang montre : leucocytes = 11 G/L, dont 82 % de polynucléaires neutrophiles (PNN) ; hémoglobine = 13,2 g/dL ; volume globulaire moyen (VGM) = 85 fl ; créatinine = 111 µmol/L, soit un débit de filtration glomérulaire (DFG) estimé par CKD-EPI (chronic kidney disease-epidemiology collaboration) à 46 mL/min ; protéine C réactive (CRP) = 78 mg/L ; acide urique = 421 µmol/L. Facteur rhumatoïde, anticorps anti-CCP et anticorps anti-nucléaires négatifs.
Liquide de ponction de la bourse pré-patellaire : 4 500 éléments/mL, présence de cristaux d’urate de sodium, culture en cours.
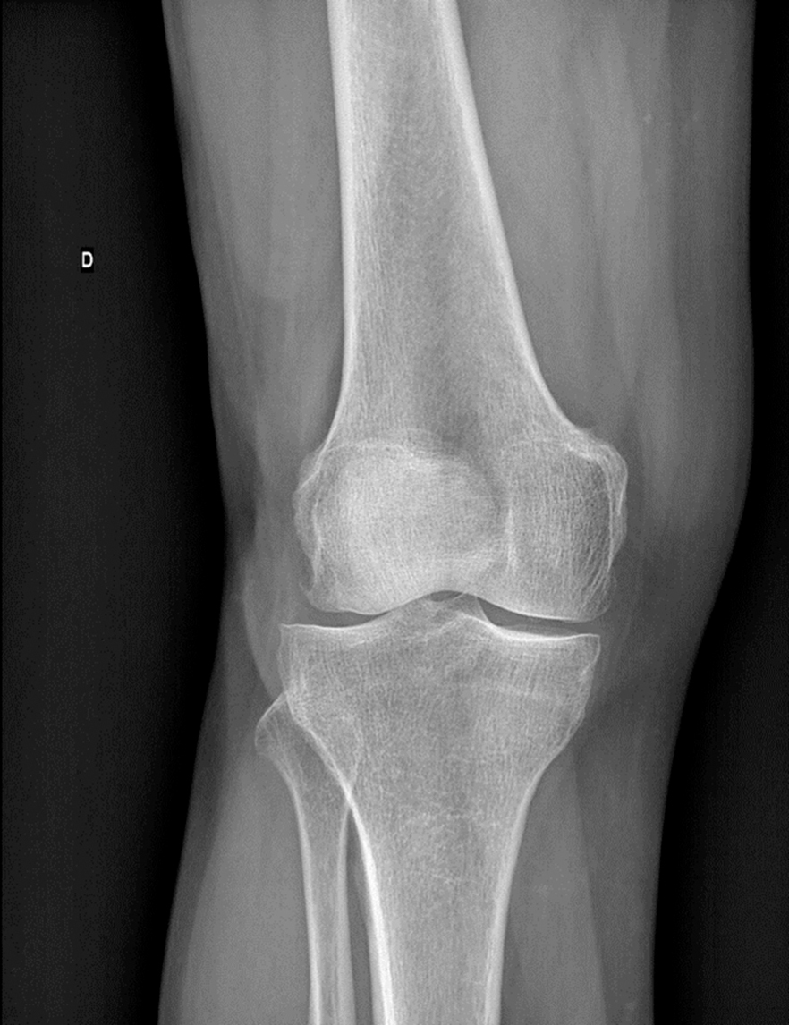
Une radiographie du genou de face est disponible.
Figure 1 (Salomé Abdellaoui, La Revue du Praticien)
Question 3 - Quel(s) diagnostic(s) pouvez-vous éliminer à ce stade ?
Les examens complémentaires montrent un syndrome inflammatoire biologique avec une hyperleucocytose à polynucléaires neutrophiles (PNN) et une CRP augmentée. Il existe une insuffisance rénale, dont le caractère chronique ne peut être affirmé en l’absence d’antériorité.
Le liquide de ponction a mis en évidence un liquide inflammatoire (> 2 000 éléments) avec des cristaux d’urate de sodium, associés à la goutte.
La radiographie du genou de face est normale, sans pincement ni érosion, et on ne visualise pas de calcifications méniscales, ce qui permet d’écarter une chondrocalcinose articulaire et un diagnostic de gonarthrose.
L’absence de facteur rhumatoïde et d’anticorps anti-CCP écarte le diagnostic de polyarthrite rhumatoïde.
La culture du liquide de ponction est en cours, on ne peut donc pas éliminer l’étiologie septique devant cette bursite associée à un syndrome inflammatoire biologique.
Les cultures reviennent stériles. Vous retenez finalement le diagnostic de goutte.
Question 4 - Quelle prise en charge pouvez-vous proposer pour traiter la crise (une ou plusieurs réponses exactes) ?
Ce n’est pas un traitement de la crise.
Contre-indiqué devant l’antécédent d’ulcère gastrique.
Le traitement de la goutte est composé de deux parties :
– le traitement de la crise, qui permet de soulager la crise douloureuse rapidement en diminuant l’inflammation. La molécule de référence est la colchicine, mais elle peut être remplacée par les anti-inflammatoires non stéroïdiens (AINS) ou les corticoïdes en cure courte en cas de mauvaise tolérance ;
– le traitement de fond, qui permet de limiter le risque de récidive en diminuant l’uricémie, dont font partie l’allopurinol et le fébuxostat.
Vous avez traité la crise et introduit de l’allopurinol 100 mg/j.
Un mois plus tard, la patiente consulte aux urgences devant l’apparition d’une éruption cutanée avec une température à 39,1 °C. Elle rapporte une pharyngite survenue les jours précédents.
Figure 2 (Salomé Abdellaoui, La Revue du Praticien)
Question 5 - Devant cette éruption, quel(s) diagnostic(s) peu(ven)t être évoqué(s) ?
Nous sommes face à un exanthème de type morbilliforme.
Il faut suspecter un syndrome d’hypersensibilité médicamenteuse (ou DRESS, pour drug reaction with eosinophilia and systemic symptoms) à l’allopurinol, qui est une toxidermie médicamenteuse, survenant dans un délai de deux à six semaines après l’introduction du médicament. Le diagnostic différentiel devant l’atteinte cutanée est une éruption d’origine virale.
La PEAG est également une toxidermie mais se manifeste plutôt par un érythème en nappe, surmonté de pustules, apparaissant dans un délai d’un à onze jours après l’introduction du médicament.
Le lymphome T cutané peut être à l’origine d’une érythrodermie qui ne prend pas le même aspect.
La dermo-hypodermite bactérienne concerne généralement une région délimitée, sans intervalle de peau saine.
Question 6 - Que recherchez-vous pour avancer dans le diagnostic (une ou plusieurs réponses exactes) ?
Classique dans le DRESS.
Classique dans le DRESS.
Pas d’intérêt pour le diagnostic.
Pas d’intérêt pour le diagnostic.
Classique dans le DRESS.
Sur le plan clinique, le DRESS se manifeste par une éruption cutanée associée à une fièvre, des adénopathies, un œdème du visage et des atteintes viscérales qui conditionnent le pronostic.
Sur le plan biologique, il est classiquement associé à une éosinophilie, une lymphocytose ou une lymphopénie, une hyperleucocytose, une élévation des transaminases ou autre désordre biologique témoignant d’une atteinte d’organe.
Vous retenez le diagnostic de DRESS devant le délai d’apparition de l’éruption par rapport à l’introduction d’allopurinol, la présence d’une fièvre, d’une polyadénopathie et l’association à une hyperéosinophilie et à une augmentation des transaminases.
Question 7 - Quel(s) est/sont le(s) élément(s) de la prise en charge ?
La survenue d’un DRESS constitue une contre-indication formelle et définitive à l’allopurinol.
Une surveillance biologique rapprochée est préconisée pour dépister les atteintes viscérales susceptibles de survenir même après l’arrêt du médicament imputable.
Pas de bactérie impliquée dans la physiopathologie.
Une corticothérapie est parfois utile en cas de DRESS sévère mais les AINS ne sont pas recommandés.

Exercez-vous aux ECN avec les dossiers progressifs et les LCA de La Revue du Praticien