Un homme âgé de 60 ans, originaire du Congo, est hospitalisé pour fièvre, polyarthrite et lombalgies. La protéine C-réactive (CRP) est à 300 mg /L. L’uricémie est à 838 mol/L (< 420). Un scanner thoracoabdominopelvien est réalisé.
Quel est votre diagnostic ?
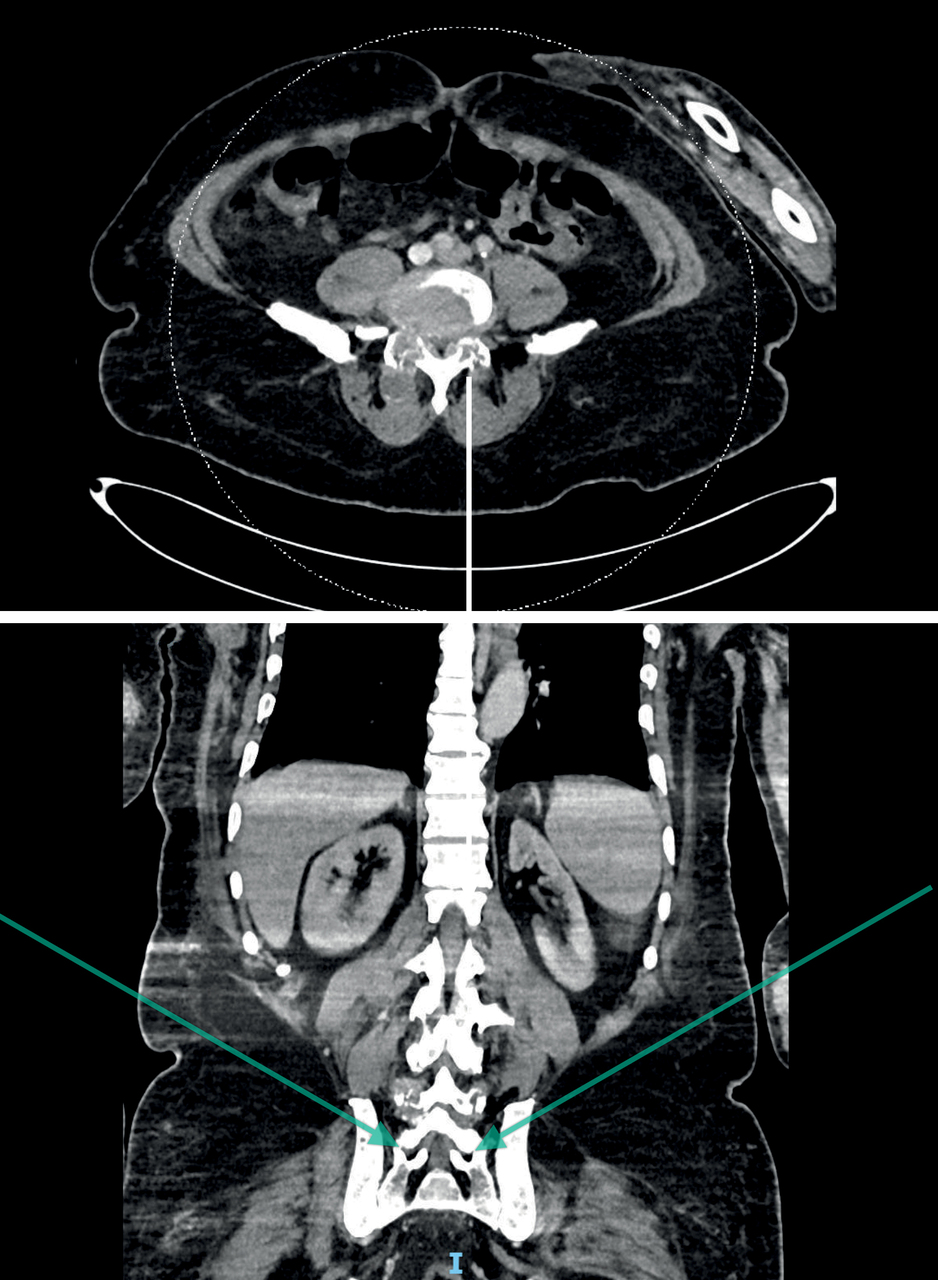
Le scanner montre :
• un rétrécissement canalaire serré en C4-C5 et L4-L5 ;
• des dépôts microcristallins diffus d’urate de sodium, notamment au sein des articulations apophysaires postérieures ;
• une arthrite interapophysaire postérieure bilatérale L4-L5 avec collection des parties molles et remaniements inflammatoires, dont l’aspect est évocateur d’un accès goutteux.
La ponction d’un genou met en évidence un liquide trouble contenant 100 800 éléments/mm3 dont 93 % de polynucléaires neutrophiles et de nombreux cristaux d’urate de sodium.
Sous colchicine et anakinra, l’évolution a été favorable.
Par Olivier Fain, service de médecine interne, hôpital Saint-Antoine, Paris, France.
• un rétrécissement canalaire serré en C4-C5 et L4-L5 ;
• des dépôts microcristallins diffus d’urate de sodium, notamment au sein des articulations apophysaires postérieures ;
• une arthrite interapophysaire postérieure bilatérale L4-L5 avec collection des parties molles et remaniements inflammatoires, dont l’aspect est évocateur d’un accès goutteux.
La ponction d’un genou met en évidence un liquide trouble contenant 100 800 éléments/mm3 dont 93 % de polynucléaires neutrophiles et de nombreux cristaux d’urate de sodium.
Sous colchicine et anakinra, l’évolution a été favorable.
Par Olivier Fain, service de médecine interne, hôpital Saint-Antoine, Paris, France.