[Mis à jour le 11/06/24]
Vous recevez aux urgences Mme F., âgée de 56 ans, qui a l’impression d’étouffer. Cela fait plusieurs jours qu’elle a vraiment du mal à respirer.
Mme F. travaille dans l’industrie pharmaceutique. Elle a récemment fait un aller et retour à Chicago pour un déplacement professionnel. Elle ne fume pas, a une consommation modérée d’alcool, et n’a pas d’antécédent médical particulier. Elle est ménopausée depuis 2 ans, ne prend aucun traitement, n’a pas d’allergie. Elle n’a pas de douleur, pas d’autre plainte fonctionnelle en dehors d’une fatigue et d’une toux non productive depuis quelques jours. La dyspnée n’est pas rythmée par le temps respiratoire.
Les paramètres vitaux sont les suivants :
– poids 60 kg pour 1,70 m,
– TA = 140/90 mmHg,
– FC = 96 bpm,
– FR = 20/min,
– SaO2 = 92 % sous 3 L/min,
– T°= 37,9 °C,
– peak flow = 250 L/min,
– HGT = 5,0 mmol/L.
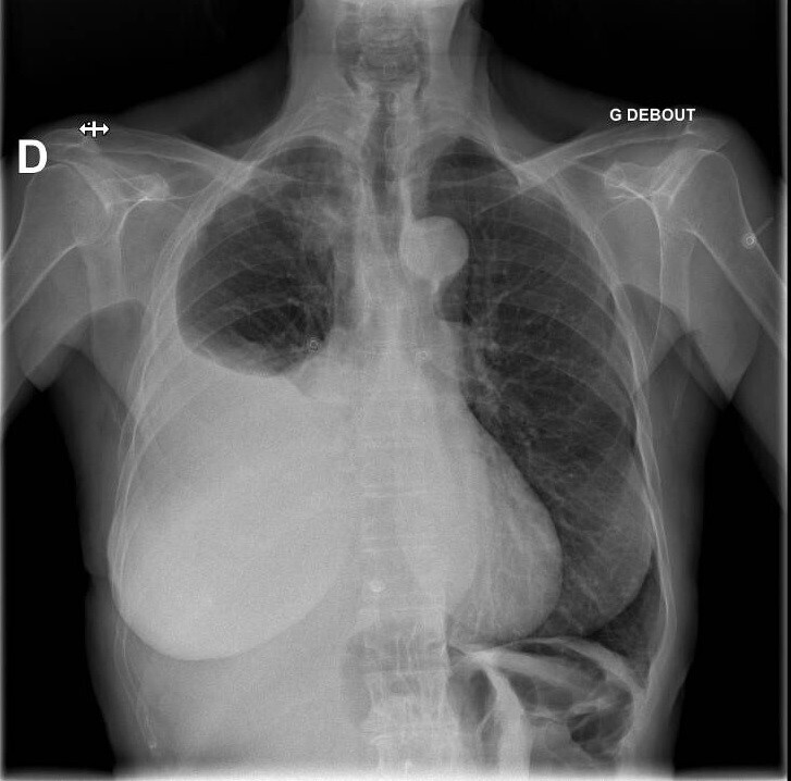
Vous n’observez pas de signe de lutte respiratoire, la dyspnée est silencieuse. L’auscultation pulmonaire retrouve une diminution du murmure vésiculaire à droite, accompagnée de sibilants localisés à mi-hauteur, la percussion révèle une matité. Les bruits du cœur sont réguliers, sans souffle. Il n’y a pas d’œdème des membres inférieurs, les mollets sont souples et indolores. Le reste de l’examen clinique est sans particularité.
Vous recevez aux urgences Mme F., âgée de 56 ans, qui a l’impression d’étouffer. Cela fait plusieurs jours qu’elle a vraiment du mal à respirer.
Mme F. travaille dans l’industrie pharmaceutique. Elle a récemment fait un aller et retour à Chicago pour un déplacement professionnel. Elle ne fume pas, a une consommation modérée d’alcool, et n’a pas d’antécédent médical particulier. Elle est ménopausée depuis 2 ans, ne prend aucun traitement, n’a pas d’allergie. Elle n’a pas de douleur, pas d’autre plainte fonctionnelle en dehors d’une fatigue et d’une toux non productive depuis quelques jours. La dyspnée n’est pas rythmée par le temps respiratoire.
Les paramètres vitaux sont les suivants :
– poids 60 kg pour 1,70 m,
– TA = 140/90 mmHg,
– FC = 96 bpm,
– FR = 20/min,
– SaO2 = 92 % sous 3 L/min,
– T°= 37,9 °C,
– peak flow = 250 L/min,
– HGT = 5,0 mmol/L.
Vous n’observez pas de signe de lutte respiratoire, la dyspnée est silencieuse. L’auscultation pulmonaire retrouve une diminution du murmure vésiculaire à droite, accompagnée de sibilants localisés à mi-hauteur, la percussion révèle une matité. Les bruits du cœur sont réguliers, sans souffle. Il n’y a pas d’œdème des membres inférieurs, les mollets sont souples et indolores. Le reste de l’examen clinique est sans particularité.
Question 1 - Cette observation permet d’éliminer (une ou plusieurs réponses exactes) :






Une embolie pulmonaire n’est pas une hypothèse que l’on peut éliminer par la clinique.
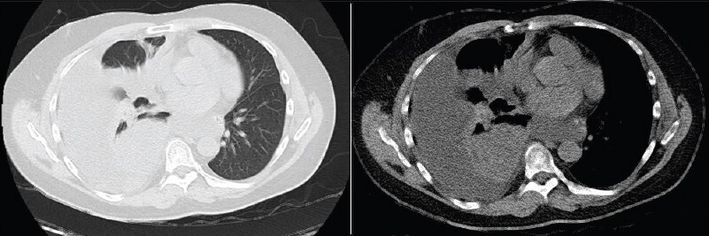
Le tableau clinique n’est pas évocateur d’un asthme : les sibilants sont localisés et non diffus, la dyspnée n’est pas bruyante, ni limitée au temps expiratoire. De plus, un asthme aigu grave se définit par un peak flow < 150 L/min ou < 50 % de la théorique, ce qui n’est pas le cas ici. Les sibilants peuvent être le signe d’une obstruction bronchique localisée.