Vous recevez aux urgences Mme S., 74 ans, qui consulte pour une dyspnée d’installation subaiguë. Depuis quelques jours, elle se plaint en effet d’un essoufflement, initialement aux efforts (port de charge lourdes, escaliers) mais qui se manifeste maintenant à la parole. Elle déclare aussi se sentir particulièrement fatiguée depuis bientôt un mois, avec une perte d’appétit sans autre plainte fonctionnelle (pas de toux, d’expectoration, de frissons, de symptômes ORL ou digestifs).
Elle a comme principaux antécédents une hypertension artérielle, un diabète de type 2 et des myomes utérins. Elle prend régulièrement de l’amlodipine, du bisoprolol et de la metformine. Elle n’a pas d’allergie notable.
À son admission, ses paramètres vitaux sont les suivants : pression artérielle (PA) = 143/66 mmHg ; fréquence cardiaque (FC) = 125/min ; saturation en oxygène (SpO2) = 94 % en air ambiant ; température (T°) = 38,4 °C. Elle pèse 48 kg pour 1,60 m (indice de masse corporelle [IMC] à 19 kg/m2).
Cliniquement, vous notez de discrètes lésions purpuriques d’allure non nécrotique aux mollets sans autre anomalie notable – notamment à l’auscultation pulmonaire.
Vous réalisez en première intention une numération formule sanguine (NFS) qui retrouve les résultats suivants :
– hémoglobine (Hb) = 6,7 g/dL ;
– plaquettes = 18 G/L ;
– leucocytes = 71 G/L, dont 98 % de blastes circulants d’allure myéloïde.
Question 1 - Parmi les examens suivants, le(s)quel(s) prescrivez-vous le soir aux urgences ?
Pour résumer, il s’agit ici d’un tableau de pancytopénie fébrile avec blastose circulante sans critère de gravité clinique. Les examens complémentaires à réaliser en urgence auront donc d’abord surtout pour vocation d’éliminer les urgences hématologiques, plus que d’avancer sur le diagnostic étiologique : – un ionogramme sanguin avec calcémie, phosphorémie, créatininémie, acide urique et lactate déshydrogénase (LDH) évaluent l’existence d’un syndrome de lyse tumorale ; – un bilan d’hémostase (taux de prothrombine [TP], temps de céphaline activée [TCA], fibrinogène) permet de s’assurer de l’absence de coagulation intravasculaire disséminée (CIVD) ou de trouble de l’hémostase associé à la thrombopénie ; – un frottis sanguin permet une première analyse des blastes – surtout pour éliminer une leucémie aiguë (LAM 3) promyélocytaire (corps d’Auer en fagot) pourvoyeuse de CIVD ; – un bilan pré-transfusionnel (groupe ABO, rhésus et recherche d’agglutinines irrégulières [RAI]) est aussi indiqué devant ce syndrome anémique modérément toléré – en se méfiant toutefois du risque de leucostase compte tenu des leucocytes > 50 G/L ; – deux paires d’hémocultures périphériques enfin se justifient dans le contexte fébrile. La tomodensitométrie thoraco-abdomino-pelvienne (TDM-TAP), en revanche, n’est pas indiquée devant une neutropénie fébrile en première intention sans orientation diagnostique – et risquerait même de retarder la prise en soin aux urgences (l’antibiothérapie notamment ++). Le myélogramme – même s’il sera bien entendu utile pour le diagnostic ultérieurement – ne modifiera pas la prise en soin aux urgences, le diagnostic de leucémie aiguë étant quasi certain à ce stade. Les analyses cytogénétiques, phénotypiques et de biologie moléculaire seront réalisées en plus de la cytologie dès le lendemain matin. Le dosage de plaquette sur tube citraté, enfin, est surtout indiqué en cas de thrombopénie isolée sans syndrome hémorragique associé. La pancytopénie et l’existence de lésions purpuriques laissent ici peu de doute sur la véracité de cette thrombopénie ; et rendent donc peu utile cet examen.
En plus de prélever un bilan pré-transfusionnel (groupe ABO et rhésus, RAI) et des hémocultures périphériques, vous complétez le bilan par les examens biologiques suivants : – ionogramme sanguin : Na = 139 mmol/L ; K = 3,3 mmol/L ; calcémie = 2,12 mmol/L (normes : [2,2-2,6 mmol/L]) ; phosphorémie = 1,6 mmol/L (normes : [0,8-1,5 mmol/L]) ; créatinine = 121 µmol/L ; – bilan hépatique normal (pas de cytolyse ni de cholestase) ; bilirubine totale à 13 µmol/L ; – acide urique : 440 µmol/L (norme < 400 µmol/L) ; – LDH à 1 500 U/L (norme < 450 U/L) ; – hémostase : TP = 64 % ; TCA = 1,1 ; fibrinogène à 3,6 g/L. Facteurs V à 97 %, VII à 40 %, II à 60 %, X à 100 %.
Question 2 - Quelle est votre prise en soin à ce stade (une ou plusieurs réponses exactes) ?
La blastose circulante cache très probablement une leucocytopénie des autres lignées associée (ici 1,4 G/L de leucocytes non blastiques, probablement peu fonctionnels par ailleurs). Il faut donc ici envisager la situation comme celle d’une neutropénie fébrile.
Le TP abaissé ( 70 %) avec une baisse des facteurs vitamino-K dépendants (II, VII ici) indiquent ici une probable carence en vitamine K.
Il existe ici un syndrome de lyse biologique (LDH et acide urique augmentés, hypocalcémie et hyperphosphorémie) avec insuffisance rénale aiguë (critères KDIGO I). Le traitement est d’abord l’hydratation parentérale – sans supplémentation en cas d’hypocalcémie (précipitation tubulaire) ou d’hypokaliémie modérée (risque de majoration avec le syndrome de lyse et l’insuffisance rénale).
Voir le commentaire précédent
Contre-indiquée en cas d’insuffisance rénale aiguë.
Après initiation d’une antibiothérapie probabiliste par céfépime et hydratation parentérale par NaCl 0,9 %, Mme S. est hospitalisée en hématologie. Après explorations, le diagnostic de leucémie aiguë myéloïde de mauvais pronostic, secondaire à une myélodysplasie, est retenu. Un traitement de première ligne par azacitidine et vénétoclax est initié. Il n’y a pas de récidive de fièvre durant les premiers jours de l’hospitalisation – ce qui autorise l’arrêt précoce de l’antibiothérapie. À vingt et un jours de la première cure de chimiothérapie, Mme S. reste en pancytopénie (Hb= 7,9 g/dL ; plaquettes = 30 G/L ; leucocytes totaux = 0,1 G/L). Elle a, un matin, une température à 38,2 °C, recontrôlée à 38,1 °C une heure plus tard. Les autres paramètres vitaux sont par ailleurs normaux.
Mme S. a ici une neutropénie fébrile – définie par des polynucléaires neutrophiles (PNN) < 500/mm3 et une fièvre (T° > 38 °C deux fois à une heure d’intervalle, ou > 38,3 °C une fois). En pratique, pour les patients ayant une hémopathie maligne, ces seuils peuvent être adaptés au contexte clinique – notamment en cas de corticothérapie concomitante à forte dose pouvant masquer la fièvre. Concernant la neutropénie, il faut prendre aussi en considération sa profondeur (majeure puisque < 100/mm3) et sa durée prévisible (> 7 jours vue la myélodysplasie sous-jacente). La tolérance clinique semble par ailleurs ici plutôt bonne – sans signe de sepsis. La neutropénie fébrile est une indication formelle à une antibiothérapie – autre que l’amoxicilline + acide clavulanique et la ciprofloxacine ici, réservé aux neutropénies fébriles courtes (< 7 jours) et à domicile. Deux stratégies se discutent alors (ECIL-Leukemia. Recommandations neutropénie fébrile. Septembre 2024) : La stratégie d’escalade Indication : patient non compliqué, sans infection antérieure ou colonisation à une bactérie résistante (bêtalactamase à spectre élargi [BLSE], carbapénèmase), avec peu de résistance bactérienne dans l’écologie du service. Antibiothérapie recommandée : • pipéracilline + tazocilline ; • céfépime (ou ceftazidime). La stratégie de désescalade Indication : tout patient en sepsis, ou connu colonisé (a fortiori infecté) à une bactérie résistante (BLSE, carbapénèmase) ; ou en cas de haut niveau de résistance bactérienne dans l’écologie du service. Antibiothérapie recommandée : • pipéracilline + tazocilline ou céfépime avec un aminoside (amikacine) ; • bêtalactamine (pipéracilline + tazocilline ou céfépime) seule si elle la bactérie résistante colonisée reste sensible ; • méropenem. + Désescalade en cas de stabilité clinique à 72 heures : arrêt de l’aminoside et réduction du spectre d’action (pipéracilline + tazocilline ou céfépime) en cas de prescription de méropénem – parfois y compris si la fièvre persiste à 72-96 h ++. Dans le cas de Mme S., la stratégie d’escalade ici semble la plus indiquée – avec donc une antibiothérapie par pipéracilline + tazocilline ou céfépime. Mais une stratégie de désescalade (méropénem en première intention) pourrait également se discuter selon l’écologie du service.
En l’absence de critère de gravité ou de colonisation à une bactérie résistante, vous prescrivez donc une antibiothérapie probabiliste par céfépime – bien tolérée. Trois jours plus tard, elle a toujours régulièrement des pics fébriles (38,5 °C), sans altération des paramètres vitaux. Cliniquement, vous n’identifiez pas de point d’appel infectieux pulmonaire, digestif, urinaire, ORL ou cutané. Le point d’insertion du Picc-line semble propre et indolore. Le lendemain, le laboratoire de microbiologie vous contacte pour vous signaler qu’une hémoculture, prélevée sur le Picc-line sans différentiel, pousse (flacon aérobie) en trente-six heures à une levure en cours d’identification.
La persistance de la fièvre – en dehors de critères de gravité ou de points d’appel clinique, et même en cas de neutropénie profonde prolongée – n’est pas en soi une indication à élargir le spectre (ECIL-Leukemia. Recommandations neutropénie fébrile. Septembre 2024). En dehors des infections cutanées (Trichosporon spp., Rhodothorula spp…), les principales levures rencontrées en pathologies humaines sont Candida spp. et Cryptococcus spp. Indépendamment du niveau d’immunodépression, les candidémies sont toujours des pathologies graves (40 % de létalité), avec un pronostic dégradé par tout retard d’introduction d’un antifongique. Toute hémoculture à levure doit donc être considérée comme une candidémie jusqu’à preuve du contraire, et jamais comme une colonisation. En plus d’être fongistatique, certains triazolés sont naturellement inactifs sur plusieurs espèces de Candida spp. Le traitement antifongique probabiliste d’une candidémie repose donc sur une échinocandine IV (caspofungine, micafungine) – adaptable secondaire selon l’antifongigramme – pour une durée minimale de quatorze jours. Pour rappel, il existe enfin plusieurs indications au retrait d’un cathéter en cas d’infection : – en cas de signes de gravité (sepsis, défaillance d’organe...) ou d’atteinte endovasculaire à distance (endocardite, emboles septiques) ; – en cas de signes cliniques locaux (inflammation, écoulement de pus...) ou régionaux (thrombophlébite, tunnelite…) ; – selon les germes (biofilm) : • Staphylococcus aureus ; • Candida spp. ; +/- Pseudomonas aeruginosa ; +/- Stenotrophomonas maltophilia.
Mme S. avait finalement une candidémie à Candida albicans. Aucune nouvelle hémoculture périphérique ne pousse après le retrait du Picc-line et la poursuite de la caspofungine. Trente jours après la première cure de chimiothérapie (azacitidine et vénétoclax), elle a toujours une neutropénie (Hb = 10,2 g/dL ; plaquettes = 110 G/L ; leucocytes totaux = 3 G/L dont PNN à 1,2 G/L). Neuf jours après la fièvre initiale et malgré la poursuite de l’antibiothérapie par céfépime – à six jours du début de traitement par caspofungine – elle reste également fébrile. La fièvre est bien tolérée, sans point d’appel clinique – malgré un examen clinique quotidien attentif de votre part.
Question 5 - Quelle(s) examen(s) complémentaires(s) vous semble(nt) justifié(s) à ce stade ?
La neutropénie prolongée – potentiellement depuis plus d’un mois ici – rend possible une infection à de nombreux pathogènes. Il faut aussi noter que l’absence de neutrophile rend souvent pauvre l’examen clinique, et que le plus souvent (60 % des cas) ces neutropénies fébriles sont d’origine inconnue (examen clinique, imageries et prélèvements microbiologiques normaux). Parmi les pathogènes potentiellement en cause ici, on peut citer : – Bactéries : • bacilles à Gram négatif : principalement les entérobactéries et le Pseudomonas aeruginosa. La plupart des neutropénies fébriles restent dues à une translocation digestive (altération de la barrière intestinale, modification du microbiote...) ; • cocci à Gram positif : les Staphylococcus spp. et autres contaminants de la peau, mais pas uniquement (Enterococcus spp. /Streptococcus spp. et translocation digestive). – Virus : en dehors des virus respiratoires hivernaux, les réactivations virales (EBV, HSV et CMV principalement) sont surtout liées à un déficit de l’immunité cellulaire et humorale. On peut les rencontrer toutefois également en cas d’hémopathie myéloïde sévère. La sérologie est dans ce cas surtout utile pour évaluer le statut de l’infection (absence d’exposition, primo-infection ou infection ancienne) plus qu’une éventuelle réactivation – identifiée par la charge virale (PCR sérique). – Champignons : visibles à tout moment (phase aiguë, sortie d’aplasie voire plusieurs années après une allogreffe), ces infections sont à la fois liées à l’altération de l’immunité innée (neutropénie, atteinte des muqueuses) et acquise (lymphocytes T CD8/4). Les plus fréquentes sont les candidoses invasives, les aspergilloses et les pneumocystoses – et une infection peut parfois en cacher une autre... Enfin, Candida spp. fait partie des pathogènes fortement impliqués dans les infections endovasculaires – dont les endocardites avec la constitution d’un biofilm. Une fièvre prolongée au décours d’une candidémie doit donc aussi faire éliminer un foyer secondaire (ETT, TDM-TAP injectée). En outre, les atteintes rétiniennes sont fréquentes (10 % des cas), et souvent asymptomatiques – ce qui justifie un fond d’œil systématique, de préférence en sortie d’aplasie.
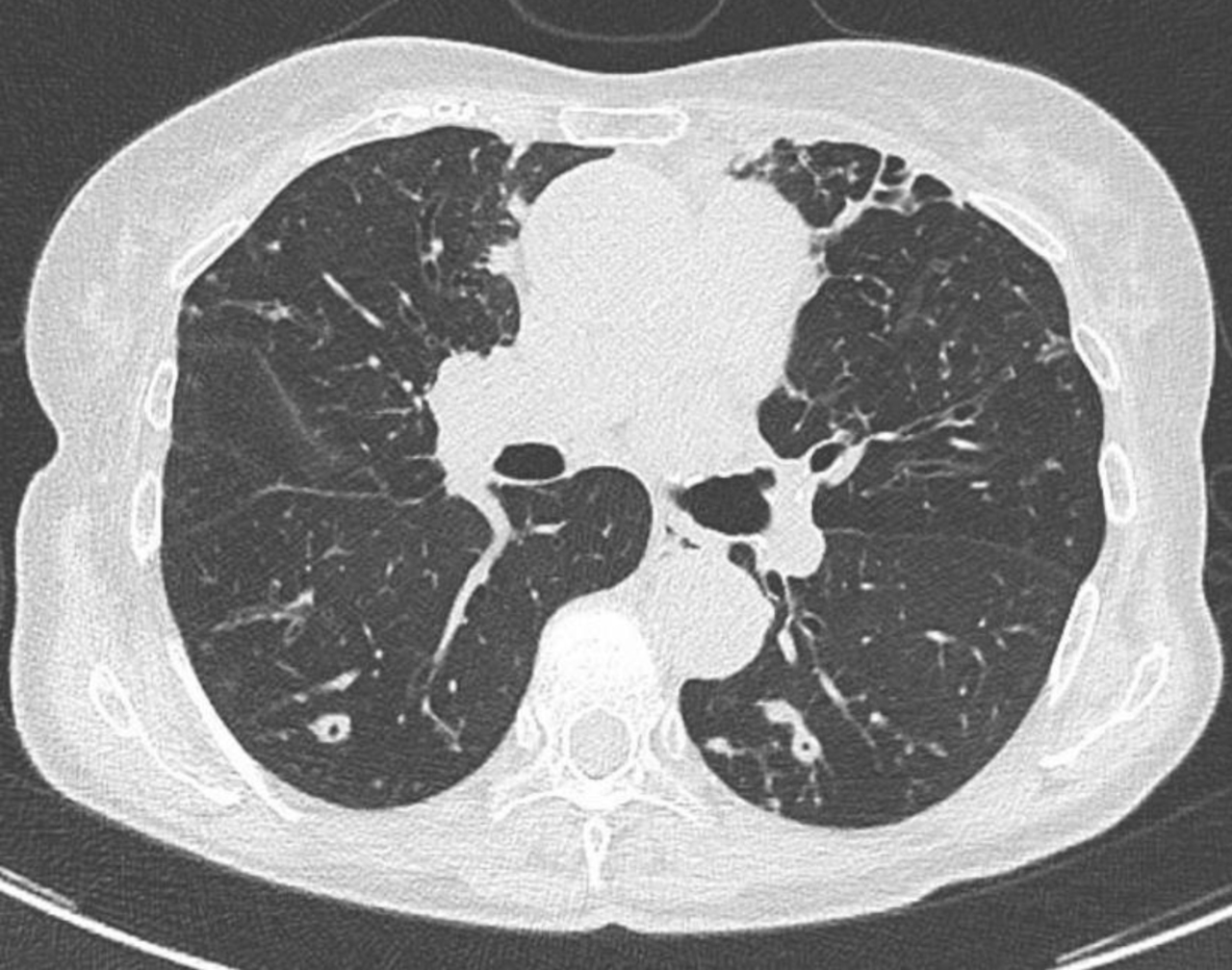
Vous réalisez donc les examens complémentaires suivants : – ETT sans anomalie notable – notamment pas de lésion valvulaire identifiée ; – fond d’œil sans foyer de rétinite ; – charge virale sérique CMV négative. Charge virale sérique EBV à 1,5 log ; – PCR nasopharyngée SARS-CoV-2, influenza et virus respiratoire syncytial (VRS) négative. Vous réalisez une TDM-TAP injectée qui ne retrouve pas d’anomalie notable à l’étage sous-diaphragmatique, notamment pas de foyer profond ni de polyadénopathie. Pas de lésion parenchymateuse hépatique ou splénique. À l’étage thoracique, vous identifiez en revanche ces lésions : Figure (Julien Derdevet, La Revue du Praticien)
La présence de nodules pulmonaires chez un sujet immunodéprimé – en dehors des causes tumorales – peut faire évoquer plusieurs étiologies infectieuses – bactériennes (Cocci à Gram positif ou germes intracellulaires, mycobactéries typiques (M. tuberculosis) ou atypiques, nocardiose...), fongiques (aspergillose, mucormycose, cryptococcose, histoplasmose, coccidioïdomycose...) voire virales. L’examen diagnostique le plus rentable reste donc dans cette situation le LBA. Plusieurs examens non invasifs peuvent toutefois être au préalable réalisés : l’antigénémie sérique galactomannane permet de diagnostiquer une infection à Aspergillus spp. (seul ou en faisant le rapport LBA/sérum), la PCR mucorale sérique a une très bonne valeur diagnostique pour les mucormycoses... Idem pour l’antigène cryptocoque sérique. Le bêta-D-glucane – marqueur antigénique pour presque toutes les infections fongiques en dehors de la cryptococcose et des mucormycoses – serait en revanche ici peu utile, puisque probablement positif dans le contexte de candidémie récente. Il a par ailleurs une cinétique de décroissance lente, ce qui en fait un mauvais marqueur pour le suivi thérapeutique. Enfin, il faut noter que les réactifs sont obtenus à partir d’extraits (sang) de limules – une espèce en déclin de par sa surexploitation. Pour finir, si une réactivation d’une tuberculose latente vers une tuberculose maladie reste possible – surtout chez un sujet né avant les années 1970 – les tests IGRA ou intradermoréaction (IDR) restent de peu d’utilité pour différencier ces deux cadres nosologiques.
Vous réalisez donc un lavage broncho-alvéolaire. Les prélèvements bactériologiques, mycobactériologiques et virologiques reviennent négatifs ; de même que l’anatomopathologie, qui retrouve des cellules inflammatoires aspécifiques. La culture fongique revient positive à Aspergillus fumigatus, avec un antigène galactomannane dans le LBA positif à 1,2. Les PCR mucorales dans le LBA sont négatives. L’antigène galactomannane plasmatique est également positif à 0,9 ; avec des PCR mucorales et un antigène cryptocoque négatives dans le plasma.
Si le diagnostic d’une aspergillose invasive est parfois difficile, le cas de Mme S. répond ici aux critères d’hôtes, d’imagerie et microbiologiques tels que définis dans les critères EORTC/MSG – 2019 – notamment avec l’identification d’un Aspergillus fumigatus et un antigène galactomannane positif dans le LBA et en sérique. Si la caspofungine reste parfois active sur Aspergillus spp., il n’est pas recommandé en première intention (fongostatique avec une surmortalité comparée aux tri-azolés, cf. Recommandations ECMID/ECMM/ERS – 2017). Le traitement de l’aspergillose invasive repose donc en premier sur un tri-azolé (voriconazole, isavuconazole...). Bien qu’un peu spécialisée, la prise en soin des aspergilloses invasives demande quelques réflexes : – les atteintes du système nerveux central (SNC) ou des sinus ne sont pas rares (porte d’entrée ORL ou par angio-invasion), et fréquemment asymptomatiques. Un bilan d’extension doit donc être réalisé de façon systématique, avec une TDM des sinus et (dans l’idéal) une IRM cérébrale ; – Aspergillus spp. est un champignon filamenteux ubiquitaire dans l’environnement qui se développe à partir de matières organiques en décomposition. La réduction de l’exposition environnementale (pas de fleur ni de plante en intérieur, limiter les fruits en décomposition, lutte contre l’humidité et les moisissures, limiter le jardinage...) fait donc partie intégrante de la prise en soin ; – la résistance aux azolés (mutations TR34/L98H principalement) d’Aspergillus fumigatus – par exposition personnelle ou environnementale aux azolés – est un problème émergent de santé publique à considérer en cas d’échec thérapeutique sous voriconazole/isavuconazole.
– un ionogramme sanguin avec calcémie, phosphorémie, créatininémie, acide urique et lactate déshydrogénase (LDH) évaluent l’existence d’un syndrome de lyse tumorale ;
– un bilan d’hémostase (taux de prothrombine [TP], temps de céphaline activée [TCA], fibrinogène) permet de s’assurer de l’absence de coagulation intravasculaire disséminée (CIVD) ou de trouble de l’hémostase associé à la thrombopénie ;
– un frottis sanguin permet une première analyse des blastes – surtout pour éliminer une leucémie aiguë (LAM 3) promyélocytaire (corps d’Auer en fagot) pourvoyeuse de CIVD ;
– un bilan pré-transfusionnel (groupe ABO, rhésus et recherche d’agglutinines irrégulières [RAI]) est aussi indiqué devant ce syndrome anémique modérément toléré – en se méfiant toutefois du risque de leucostase compte tenu des leucocytes > 50 G/L ;
– deux paires d’hémocultures périphériques enfin se justifient dans le contexte fébrile.
La tomodensitométrie thoraco-abdomino-pelvienne (TDM-TAP), en revanche, n’est pas indiquée devant une neutropénie fébrile en première intention sans orientation diagnostique – et risquerait même de retarder la prise en soin aux urgences (l’antibiothérapie notamment ++).
Le myélogramme – même s’il sera bien entendu utile pour le diagnostic ultérieurement – ne modifiera pas la prise en soin aux urgences, le diagnostic de leucémie aiguë étant quasi certain à ce stade. Les analyses cytogénétiques, phénotypiques et de biologie moléculaire seront réalisées en plus de la cytologie dès le lendemain matin.
Le dosage de plaquette sur tube citraté, enfin, est surtout indiqué en cas de thrombopénie isolée sans syndrome hémorragique associé. La pancytopénie et l’existence de lésions purpuriques laissent ici peu de doute sur la véracité de cette thrombopénie ; et rendent donc peu utile cet examen.