Interne de garde aux urgences d’un centre hospitalier universitaire (CHU), vous voyez une patiente de 72 ans consultant pour des douleurs abdominales. Celles-ci sont localisées en hypochondre droit et durent depuis la veille au coucher, à l’issue d’un repas copieux chez des amis. Ces douleurs s’aggravent progressivement depuis plusieurs heures.
Dans ses antécédents, on note : un surpoids, une bronchopneumopathie chronique obstructive (BPCO) de stade II, une dyslipidémie sous fibrates, un syndrome dépressif, un syndrome du canal carpien opéré.
Aux urgences, les constantes sont les suivantes : fréquence cardiaque (FC) = 80 bpm ; pression artérielle (PA) = 140/87 mmHg ; saturation en oxygène (SpO2) = 90 % ; température (T°) = 38,5 °C.
Vous disposez du bilan biologique suivant : hémoglobine = 13 g/dL ; plaquettes = 277 G/L ; leucocytes = 15 G/L ; protéine C réactive (CRP) = 94 mg/L ; lipase = 90 UI/L ; aspartate aminotransférase (ASAT) = 32 UI/L ; alanine aminotransférase (ALAT) = 40 UI/L ; gamma-glutamyl transférase (GGT) = 30 UI/L ; bilirubinémie = 18 µmol/L ; créatininémie = 67 µmol/L.
Dans ses antécédents, on note : un surpoids, une bronchopneumopathie chronique obstructive (BPCO) de stade II, une dyslipidémie sous fibrates, un syndrome dépressif, un syndrome du canal carpien opéré.
Aux urgences, les constantes sont les suivantes : fréquence cardiaque (FC) = 80 bpm ; pression artérielle (PA) = 140/87 mmHg ; saturation en oxygène (SpO2) = 90 % ; température (T°) = 38,5 °C.
Vous disposez du bilan biologique suivant : hémoglobine = 13 g/dL ; plaquettes = 277 G/L ; leucocytes = 15 G/L ; protéine C réactive (CRP) = 94 mg/L ; lipase = 90 UI/L ; aspartate aminotransférase (ASAT) = 32 UI/L ; alanine aminotransférase (ALAT) = 40 UI/L ; gamma-glutamyl transférase (GGT) = 30 UI/L ; bilirubinémie = 18 µmol/L ; créatininémie = 67 µmol/L.
Question 1 - À ce stade, quelle(s) est/sont le(s) hypothèse(s) diagnostique(s) envisageable(s) ?
Le syndrome de Mirizzi entraînerait une cholestase par obstruction de la voie biliaire principale. Or le bilan hépatique ici est strictement normal, ce qui élimine cette possibilité.
La cholécystite aiguë lithiasique est envisageable ici. L’anamnèse est évocatrice d’une pathologie biliaire (douleur en hypochondre droit déclenchée après un repas riche), chez une patiente avec des facteurs de risque : surpoids, traitement par fibrates.
L’angiocholite aiguë lithiasique apparaîtrait sous la triade de Charcot : douleur, fièvre, ictère. Ici il n’y a pas de perturbation du bilan hépatique, ce qui permet d’écarter le diagnostic.
Diagnostic tout à fait compatible chez cette patiente non appendicectomisée. Attention aux variations anatomiques de l’appendice pouvant donner des présentations atypiques d’appendicite !
Douleur en hypochondre droit avec syndrome inflammatoire biologique chez une patiente souffrant de BPCO : diagnostic compatible avec une pneumopathie de la base droite.


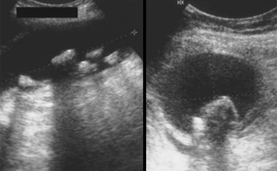
Il s’agit d’une image typique de cholécystite aiguë lithiasique sans signe de complication.