Vous recevez en consultation Mme G., 35 ans, qui vous est adressée par son médecin traitant pour une anémie découverte fortuitement. Elle n’a aucun symptôme.

Mme G. n’a aucun antécédent et prend comme seul traitement une pilule œstroprogestative. Elle travaille dans les ressources humaines, ne fume pas et a une consommation éthylique très occasionnelle.

Elle vous montre une numération sanguine qui est la suivante : hémoglobine (Hg) = 9,8 g/dL ; volume globulaire moyen (VGM) = 104 fL ; leucocytes = 9 G/L ; plaquettes = 150 G/L ; réticulocytes = 20 G/L.

Elle a oublié le reste de ses bilans chez elle.

Votre examen clinique est sans particularité en dehors d’une langue dépapillée et d’une pâleur.
Question 1 - Afin d’en savoir plus sur la cause de cette anémie, vous demandez (une ou plusieurs réponses exactes) :
La ferritine est à doser en cas d’anémie microcytaire (VGM < 80 fL).
Ici il s’agit d’une anémie macrocytaire (VGM > 100 fL) avec faible régénération (réticulocytes < 150 G/L).
Il faut d’abord éliminer les causes les plus fréquentes :
– une insuffisance thyroïdienne (donc dosage de la TSH) ;
– une étiologie médicamenteuse, notamment les médicaments ayant une action sur le métabolisme de l’ADN (méthotrexate, chimiothérapie) ;
– une cirrhose.
On cherche aussi :
– une carence en folates ou en vitamine B12 ;
Le myélogramme se justifie en présence d’autres cytopénies non expliquées par une cause fréquente (voir ci-dessus) ou d’anomalie à la formule sanguine évoquant une origine centrale (présence de blastes, par exemple).
Vous recevez les analyses complémentaires que vous avez demandées :
– créatininémie = 60 µmol/L ; aspartate aminotransférase (ASAT) = 2N ; alanine aminotransférase (ALAT) = N ; gamma GT = N ; phosphatases alcalines = N ; bilirubine totale = 30 µmol/L ; lactate déshydrogénase (LDH) = 700 UI/L ; haptoglobine indosable ;
– vitamine B9 : 10 nmol/L (N > 7) ;
– vitamine B12 : 5 pmol/L (N 130-650) ;
– TSH : 2,8 mUI/L (N : 0,8-8).
Question 2 - Devant ces analyses vous suspectez comme diagnostic(s) :
Il existe des signes d’hémolyse (augmentation de LDH, bilirubine, ASAT, haptoglobine indosable).
La drépanocytose est une anémie régénérative constitutionnelle.
L’anémie inflammatoire est généralement normo- ou microcytaire.
Pas d’argument pour ce diagnostic dans l’observation clinique.
Il s’agit donc d’une anémie macrocytaire non régénérative associée à une carence en vitamine B12 : le diagnostic à évoquer est une gastrite atrophique auto-immune, la maladie de Biermer, qui est caractérisée par un déficit en facteur intrinsèque. Le facteur intrinsèque est présent sur les cellules pariétales de l’estomac. C’est en s’y liant que la vitamine B12 est absorbée. L’hémolyse associée est rare mais classique, par avortement intramédullaire des érythroblastes (on peut également parfois retrouver des fragments d’hématies/schizocytes : pseudo-microangiopathie thrombotique mais arégénérative).
Vous suspectez fortement une maladie de Biermer.
Question 3 - Afin de prouver votre diagnostic, vous demandez (une ou plusieurs réponses exactes) :
La maladie de Biermer est une gastrite auto-immune avec présence d’anticorps anti-cellules pariétales ou anti-facteur intrinsèque. Il faut donc rechercher ces deux types d’anticorps.
Ce sont les biopsies gastriques qui nous permettront de faire le diagnostic. Lors de la gastroscopie, on verra une atrophie des plis fundiques. Il faut faire de multiples biopsies fundiques pour chercher les signes anatomopathologiques de la maladie : un infiltrat inflammatoire à cellules mononucléées, la destruction focale de l’épithélium gastrique et le remplacement par une métaplasie gastrique.
La coloscopie et l’entéro-IRM ne sont pas indiqués car il n’y a pas d’atteinte colique ni grêlique dans la maladie de Biermer.
L’élastase fécale est une protéine de l’inflammation digestive. Très schématiquement, on pourrait dire que c’est une « CRP » digestive. Elle est plutôt augmentée en cas de maladies inflammatoires chroniques de l’intestin ou d’infection digestive. Elle n’aide pas pour le diagnostic de maladie de Biermer.
Vous demandez donc une gastroscopie et un dosage des anticorps anti-cellules pariétales et anti-facteur intrinsèque.
Voici ce que vous observez lors de la gastroscopie.
Figure 1 (Élisabeth Capelle, La Revue du Praticien)
Question 4 - Sur ces images vous pouvez observer (une ou plusieurs réponses exactes) :
Absence d’ulcère visible sur cet examen. Un ulcère est une perte de substance avec disparition de la muqueuse et mise à nu de la musculeuse.
Le sommet des plis gastriques ne correspond pas à la jonction muqueuse gastrique/muqueuse œsophagienne. L’image du bas œsophage est typique.
Des angiodysplasies sont des petites taches rouges qui correspondent à une malformation vasculaire.
Non visible sur cet examen. Il s’agit de gros vaisseaux bleutés dilatés.
Voir figure 2.
Un polype antral est observé dans le cadre noir ci-dessous.
Figure 2 (Élisabeth Capelle, La Revue du Praticien)
Vous avez constaté une atrophie du fundus avec une diminution du nombre de plis. Vous avez fait de multiples biopsies du fundus qui montrent une gastrite atrophique sans dysplasie ni métaplasie, dont l’aspect évoque en premier lieu une gastrite atrophique auto-immune.
Les anticorps anti-cellules pariétales sont positifs.
Vous faites donc le diagnostic de maladie de Biermer.
Question 5 - Vous initiez comme traitement (une ou plusieurs réponses exactes) :
Il n’y a pas de traitement spécifique de la maladie de Biermer, la seule chose à faire est de supplémenter la carence en vitamine B12 (classiquement, par injection intramusculaire avec une injection par jour les sept premiers jours, puis une injection par semaine pendant un mois, puis une injection par mois à vie).
Les traitements immunosuppresseurs, immunomodulateurs ou par corticothérapie ne sont pas indiqués.
Le régime sans gluten est indiqué dans la maladie cœliaque, une entéropathie auto-immune causée par l’ingestion de gluten, qu’on découvre plutôt dans un contexte d’anémie par carence martiale. En raison de la disparition des villosités intestinales, le fer n’est pas correctement absorbé.
Vous avez donc prescrit à Mme G. des injections de vitamine B12 intramusculaire tous les mois et vous lui avez expliqué qu’elle devrait les continuer à vie et avoir régulièrement une surveillance endoscopique de son estomac pour surveiller l’apparition de dysplasie et métaplasie.
Question 6 - Vous devez également rechercher (une ou plusieurs réponses exactes) :
La maladie de Biermer est une maladie auto-immune. Il convient donc de chercher au diagnostic les autres atteintes immunes qui peuvent être associées, notamment un diabète de type 1, une atteinte thyroïdienne, du vitiligo.
Le syndrome de Lynch prédispose à certains cancers digestifs, gynécologiques et néphrologiques par altération des protéines du système de réparation de l’ADN. C’est une altération constitutionnelle. Il n’est pas associé à la maladie de Biermer.
La maladie de Wilson est une atteinte génétique caractérisée par une accumulation excessive de cuivre dans le corps et entraîne principalement une atteinte hépatique. Elle n’est pas cause d’anémie.
Mme G. n’a pas suivi son traitement par vitamine B12. Elle n’est jamais revenue à ses rendez-vous de suivi.
Vous la revoyez dix ans plus tard. Elle consulte car elle a perdu du poids, elle a des douleurs épigastriques et signale parfois de selles noires très nauséabondes.
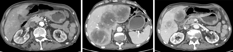
Dans ce contexte, vous lui organisez une gastroscopie rapidement et vous lui prescrivez un scanner thoraco-abdomino-pelvien dont voici les images.
Figure 3 (Élisabeth Capelle, La Revue du Praticien)
Question 7 - Sur le scanner, vous observez (une ou plusieurs réponses exactes) :
Il n’y a pas de dilatation du tube digestif, ni de jonction grêle plat-grêle dilaté.
On voit des métastases hépatiques mais le foie n’est pas à contours bosselés.
On voit une masse tissulaire qui fait saillie de la paroi (voir figure 4).
Il n’y a pas de liquide libre dans la cavité péritonéale.
La rate se rehausse bien, sans hypodensité.
 
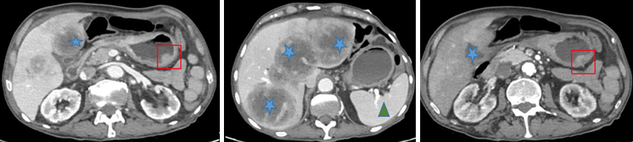
Figure 4 (Élisabeth Capelle, La Revue du Praticien)

Dans le carré rouge : masse gastrique suspecte.
Étoiles bleues : métastases hépatiques.
Triangle vert : rate d’aspect normal.

Exercez-vous aux ECN avec les dossiers progressifs et les LCA de La Revue du Praticien