Éric est âgé de 38 ans. Il est adressé en dermatologie pour des lésions cutanées évoluant depuis trois mois. Il signale l’amélioration de ces lésions cutanées après l’été. Voici l’aspect clinique constaté.

Figure 1 (Antoine Bertolotti, La Revue du Praticien)
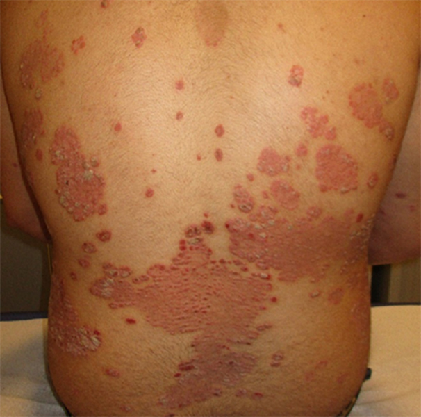
Question 1 - Décrivez les lésions élémentaires visibles sur cette photo. On observe (une ou plusieurs réponses exactes) :
On aurait vu des lésions avec une perte de substance superficielle.
Les lésions font plus de 2 cm de diamètre, on peut donc parler de plaques.
Les lésions sont bien délimitées.
Cette bonne délimitation est marquée par un contour ovalaire.
Les lésions auraient été grisâtres.
Question 2 - Vos hypothèses diagnostiques sont :
Lésions non pustuleuses, ni comédoniennes.
À évoquer devant des lésions érythémato-squameuses.
À évoquer devant des lésions érythémato-squameuses.
À évoquer devant des lésions érythémato-squameuses.
Moins probable devant les zones concernées sur cette photo (moindre photo-exposition), mais possible devant des lésions érythémato-squameuses.
Question 3 - Afin d’avancer dans votre enquête étiologique, vous formulez différentes hypothèses :
Des squames du cuir chevelu pourraient vous orienter vers du psoriasis, une alopécie pourrait vous orienter vers un lupus ou une syphilis ou encore une dermatophytie.
Des squames pourraient vous orienter vers du psoriasis.
Le psoriasis ne donne pas d’atteinte buccale.
Des squames pourraient vous orienter vers du psoriasis.
Une onycholyse, une dépression ponctuée, une leuconychie, etc., pourraient vous orienter vers un psoriasis. La dermatophytie peut atteindre les ongles, mais ni la syphilis, ni le lupus ni l’acné ne donnent d’atteinte des ongles.
À l’examen clinique, vous identifiez des lésions au niveau fronto-temporal droit.
Figure 2 (Antoine Bertolotti, La Revue du Praticien)
Question 4 - Comment interprétez-vous ces lésions (une ou plusieurs réponses exactes) ?
Lésions à type de papule érythémateuse avec des lésions squameuses et kératosiques un peu plus en haut dans les cheveux.
Il n’y a pas d’alopécie, hormis une alopécie androgénétique avec recul des golfes temporaux.
Il n’y a pas d’alopécie, hormis une alopécie androgénétique avec recul des golfes temporaux.
La folliculite est une inflammation à la base du poil, poil par poil.
Question 5 - À partir de cet examen, quel serait votre hypothèse la plus probable ?
Pas d’atteinte du cuir chevelu de l’acné.
Les lésions des dermatophyties au niveau du cuir chevelu sont des alopécies localisées avec fond inflammatoire. Il n’est pas fréquent d’avoir une atteinte du cuir chevelu et du corps lors des teignes/dermatophyties.
Ce type de lésion est très rare dans la syphilis. Plus fréquemment la syphilis entraîne une alopécie dite en clairière ou en fourrure mitée.
À évoquer devant toute lésion érythémato-squameuse du scalp.
Les lésions du lupus au niveau du cuir chevelu sont soit des alopécies diffuses, soit cicatricielles.
Vous suspectez un psoriasis.
Question 6 - Si vous aviez réalisé une biopsie cutanée, vous vous attendriez à retrouver sur l’analyse anatomo-pathologique (une ou plusieurs réponses exactes) :
Il s’agirait d’eczéma.
Il s’agirait d’un pemphigus.
Votre hypothèse principale semble la bonne.
Question 7 - À l’interrogatoire, vous recherchez des arguments pour des pathologies associées telles que (une ou plusieurs réponses exactes) :
Toujours poser la question de douleurs articulaires chez un patient ayant un psoriasis.
L’impact sur la qualité de vie est important, il faut savoir le chercher.
Très fréquemment associé au psoriasis.
Comorbidité pouvant avoir un impact sur certains des traitements employés dans le psoriasis.
Lien possible.

Exercez-vous aux ECN avec les dossiers progressifs et les LCA de La Revue du Praticien