Vous recevez en première consultation de suivi Mme L., patiente primigeste âgée de 22 ans originaire des Antilles, au terme de neuf semaines d’aménorrhée (SA). Elle ne rapporte pas d’antécédent médico-chirurgical notable. L’examen clinique est sans particularité. Elle est adressée par son médecin traitant et vous rapporte les résultats suivants : hémoglobine (Hb) = 7,8 g/dL ; volume globulaire moyen (VGM) = 78 fL ; électrophorèse de l’hémoglobine : HbS = 95 %, HbA absente, HbF = 5 %.
Question 1 - Quel est votre diagnostic ? Comment orientez-vous votre interrogatoire ? Et quels autres examens complémentaires demandez-vous dans ce contexte ? (plusieurs réponses exactes)
Il s’agit d’une drépanocytose homozygote.
La drépanocytose est une maladie à transmission autosomique récessive. Il est donc important de proposer un dépistage du conjoint (électrophorèse de l’hémoglobine) pour évaluer le risque que le fœtus soit atteint par la maladie.
Systématique pour toute femme enceinte en consultation pré-conceptionnelle ou à défaut lors de la première consultation de suivi.
Spécifique aux femmes enceintes atteintes de drépanocytose.
La patiente est porteuse d’une drépanocytose homozygote SS. Elle n’a pas d’atteinte d’organe spécifiquement liée à la drépanocytose et n’a jamais été transfusée. Elle est adressée à un centre de référence pour une prise en charge multidisciplinaire. Son taux d’hémoglobine de base est à 8 g/dL. Elle souhaite être informée des risques.
Question 2 - Quels sont les risques spécifiques de la drépanocytose homozygote pendant la grossesse pour la mère et pour le fœtus (plusieurs réponses exactes) ?
Le risque fœtal est important : mort fœtale in utero, retard de croissance intra-utérin (RCIU), prématurité.
Concernant la grossesse chez des femmes atteintes de drépanocytose homozygote
• Avant la conception (ou début de grossesse) :
– conseil génétique : dépistage du conjoint, le Collège national des gynécologues et obstétriciens (CNGOF) recommande une consultation entre 11 et 17 semaines d’aménorrhée (SA) avec dépistage par analyse de l’ADN libre circulant (DPNI) ou interruption en cas d’homozygotie SS ou Sβ0 ;
– clinique : recueil et analyse des antécédents cardiaques, rénaux, ophtalmologiques, évaluation psychosociale ;
– bilan biologique : groupe sanguin étendu, recherche d’agglutinines irrégulières, taux d’hémoglobine de base, bilan hépatique/ionogramme sanguin complet, sérologies VIH, cytomégalovirus (CMV), virus de l’hépatite B (VHB), virus de l’hépatite C (VHC), virus T-lymphotropique de type 1 (HTLV1) et 2, toxoplasmose, rubéole, syphilis, parvovirus B19, examen cytobactériologique des urines (ECBU), prélèvement vaginal ;
– recherche de résultats récents de consultation ophtalmologique, échographie cardiaque, épreuves fonctionnelles respiratoires ;
– vaccination : Pneumo 23 et hépatite B si besoin.
• Surveillance de la grossesse :
– consultations rapprochées : alternance entre gynécologue et médecin référent drépanocytose, toutes les deux à quatre semaines, hebdomadaires dès 36 SA ;
– examens systématiques :
. clinique : dépistage des crises douloureuses et surveillance de la grossesse,
. biologique : numération formule sanguine (NFS), lactate déshydrogénase (LDH), réticulocytes, créatinémie, uricémie, transaminases, protéinurie mensuelle,
. bactériologique : ECBU tous les quinze jours, prélèvement vaginal trimestriel,
. échographie cardiaque au T3,
. EFR si anomalie initiale,
. échographies fœtales rapprochées.
• Prévention des complications :
– règles hygiéno-diététiques : hydratation 2-3 L/j, éviter froid/hypoxie/tabac/alcool ;
– traitement systématique :
. acide folique 10 mg/j,
. vitamine D 100 000 UI en une fois,
. fer si carence documentée,
. kinésithérapie respiratoire (par exemple RespiFlow) ;
– programme transfusionnel, élément clé de la prévention et du traitement des complications.
• Médicaments contre-indiqués :
– corticoïdes : facteur déclenchant de crise vaso-occlusive (CVO), à utiliser avec prudence si indispensable (échange transfusionnel préalable à discuter). Attention donc à la corticothérapie de maturation fœtale ;
– anti-inflammatoires non stéroïdiens (AINS), inhibiteurs de l’enzyme de conversion (IEC), sartans, diurétiques, ribavirine, certains antidiabétiques.
• Traitement des complications :
– deux principales : syndrome thoracique aigu et CVO ;
– conjointement avec les équipes d’anesthésie-réanimation ;
– classique selon les CVO ou syndrome thoracique. Informer le pédiatre.
• Accouchement :
– réchauffement, oxygénation, hydratation, anesthésie loco-régionale si possible. Anesthésie péridurale recommandée ;
– antibioprophylaxie adaptée ;
– discussion sur le choix de la voie d’accouchement selon l’examen clinique.
• Post-partum :
– surveillance stricte de quarante-huit heures en unité de surveillance continue ;
– anticoagulation préventive de sept jours ;
– bonne hydratation (3 à 4 litres par jour dont 1 litre d’eau de Vichy) ;
– toutes méthodes contraceptives possibles. Progestatifs recommandés.
À 30 SA, Mme L. consulte aux urgences adressée par son échographiste avec la courbe de croissance et les images suivantes.
Figure 1 (Rodolphe Matias de Sousa, La Revue du Praticien)
Figure 2 (Rodolphe Matias de Sousa, La Revue du Praticien)

À l’arrivée : pression artérielle (PA) = 140/80 mmHg ; fréquence cardiaque (FC) = 100 bpm ; température (T°) = 37,2°C ; bandelette urinaire (BU) : protéinurie +.
Le rythme cardiaque fœtal à l’arrivée est normal et la patiente est asymptomatique.
Question 3 - Quelles sont les propositions exactes ?
L’indication de naissance est donnée en cas de péril imminent pour la mère ou l’enfant. Dans ce cas, le rythme cardiaque fœtal est normal et la mère n’est pas en danger. Dans un contexte de RCIU, l’indication de naissance est donnée par des anomalies du rythme ou un arrêt total de la croissance et non sur des anomalies Doppler. Ces dernières sont prédictives de la morbi-mortalité fœtale mais ne donnent pas d’indication d’extraction fœtale.
Les principales étiologies de RCIU à avoir en tête sont :
– infectieuses (infections à CMV, toxoplasmose, rubéole) ;
– génétiques (malformations fœtales syndromiques) ;
– vasculaires (syndrome des antiphospholipides [SAPL], prééclampsie) ;
– toxiques (alcool, tabac, cannabis).
La prééclampsie se définit par l’association pression artérielle systolique (PAS) > 140 mmHg ou pression artérielle diastolique (PAD) = 90 mmHg et protéinurie > 0,3 g/24 h.
Il existe une franche cassure de la courbe, le fœtus est passé au troisième percentile. L’échographie en figure 1 est un écho-Doppler de l’artère ombilicale. Elle montre une diastole ombilicale nulle. Il s’agit donc d’un RCIU et non d’un fœtus petit pour l’âge gestationnel.
Cela permet d’organiser le suivi rapproché maternel et fœtal et de poser un diagnostic étiologique.
Il s’agit vraisemblablement d’un RCIU, probablement d’origine vasculaire maternelle secondaire à la microangiopathie de la drépanocytose (hypoxie placentaire chronique).
Concernant l’échographie de vitalité fœtale (figure 3), elle décrit :
– la présentation fœtale (céphalique, siège) et la position du dos ;
– la position du placenta (antérieur, postérieur, fundique, à distance ou recouvrant l’orifice interne du col) ;
– la quantité de liquide amniotique ;
– l’analyse du Doppler de l’artère ombilicale qui témoigne des échanges entre le fœtus et la mère (par ordre de gravité : diastole ombilicale positive normale ; diastole ombilicale nulle ; reverse-flow) ;
– l’analyse du Doppler de l’artère cérébrale moyenne qui peut mettre en évidence une redistribution cérébro-placentaire ou une anémie fœtale.
Figure 3 (Rodolphe Matias de Sousa, La Revue du Praticien)
Mme L. sort finalement d’hospitalisation avec une surveillance en hospitalisation au domicile et au centre d’explorations fonctionnelles.
La protéinurie des vingt-quatre heures était à 0,2 g/24 h, et il a été conclu à un RCIU d’origine vasculaire dans ce contexte de drépanocytose. Le fœtus poursuit sa croissance sur le même mode.
À 32 SA, la patiente arrive aux urgences pour des douleurs lombaires intenses, douleurs thoraciques et contractions utérines.
Ses constantes à l’arrivée sont : PA = 130/80 mmHg ; FC = 90 bpm ; T° = 38 °C ; saturation en oxygène (SpO2) = 95 % en air ambiant.
La patiente ressent les mouvements actifs fœtaux normalement, elle n’a pas de perte de liquide ni de métrorragie. L’auscultation pulmonaire retrouve quelques crépitants des deux bases.
L’hémoglobine est à 6,5 g/dL, le reste du bilan biologique objective une protéine C réactive (CRP) à 5 et des leucocytes à 11 000/mm3.
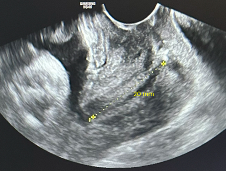
Voici le résultat de la cardiotocométrie et de l’échographie du col réalisée par voie endovaginale.
Figure 4 (Rodolphe Matias de Sousa, La Revue du Praticien)
Figure 5 (Rodolphe Matias de Sousa, La Revue du Praticien)

Au toucher vaginal, le col est mi-long tonique postérieur fermé.
Question 4 - Quelles sont vos hypothèses diagnostiques (plusieurs réponses exactes) ?
Une menace d’accouchement prématuré se définit comme des contractions utérines régulières et douloureuses (ici 5 par dix minutes visibles à la tocométrie) et un col raccourci ou modifié cliniquement (ici mesuré à 20 mm à l’échographie endovaginale). Un col non modifié est dit long, tonique, postérieur, fermé avec une présentation fœtale non sollicitante.
L’association contractions utérines et fièvre doit faire évoquer une chorioamniotite même si les membranes ne sont pas rompues.
Une fréquence cardiaque fœtale normale se situe entre 110 et 160 bpm.
À évoquer devant les douleurs thoraciques, les crépitants bilatéraux et le fébricule.
Concernant l’analyse du rythme cardiaque fœtal.
Figure 6 (Rodolphe Matias de Sousa, La Revue du Praticien)

Un rythme cardiaque fœtal normal a :
– un rythme de base entre 110 et 160 bpm ;
– des accélérations correspondant à une augmentation du rythme cardiaque fœtal de plus de 15 bpm pendant au moins 15 sec ;
– une variabilité correspondant à des oscillations du rythme cardiaque fœtal entre 5 et 25 bpm ;
– l’absence de ralentissement.
Pour information, on classe les rythmes cardiaques fœtaux en fonction du risque d’acidose fœtale qu’ils prédisent.

Concernant l’échographie endovaginale.
Figure 7 (Rodolphe Matias de Sousa, La Revue du Praticien)
La patiente est hospitalisée en maternité de niveau 3 pour menace d’accouchement prématuré et CVO. Elle reçoit des antalgiques. La surveillance fœtale est quotidienne.
Sa saturation est normale en air ambiant.
Question 5 - Quelles sont les mesures à mettre en œuvre pendant l’hospitalisation pour optimiser la prise en charge materno-fœtale ? Quels traitements spécifiques peuvent être envisagés selon l’évolution ? (plusieurs réponses exactes)
Les corticoïdes sont contre-indiqués chez les patientes drépanocytaires homozygotes. Ils peuvent déclencher des CVO parfois sévères. S’il existe une indication formelle aux corticoïdes (menace d’accouchement prématuré très sévère notamment), il convient au préalable de réaliser un échange transfusionnel. Il est également strictement contre-indiqué d’introduire une tocolyse chez une patiente ayant possiblement une chorioamniotite.
Il est possible d’utiliser des antalgiques de palier 3 chez une femme enceinte. Le traitement de la douleur est primordial dans ce contexte car cette dernière peut être un facteur favorisant les CVO.
Utile même en l’absence d’hypoxémie pour limiter au maximum le risque de falciformisation. La spirométrie incitative est également indispensable pour prévenir le syndrome thoracique aigu (STA).
Traitement de la CVO.
Traitement de la CVO.
La patiente accouche par voie basse à 37 SA d’un nouveau-né eutrophe. Elle revient en consultation post-natale.
Question 6 - Quelles propositions sont vraies ?
Pour information, les déchirures périnéales sont classées en trois catégories :
– grade 1 : déchirures de la muqueuse vaginale +/- de la peau ;
– grade 2 : déchirures de la muqueuse vaginale +/- de la peau ainsi que du plan musculaire ;
– grade 3 : atteinte du sphincter externe de l’anus (= périnée complet).
Seules des déchirures périnéales de grade 3 peuvent faire proposer une césarienne programmée pour protection périnéale lors de la prochaine grossesse.
Le seuil est de 500 mL pendant les vingt-quatre premières heures après la naissance.
Le diagnostic préimplantatoire (DPI) est une technique utilisée en assistance médicale à la procréation pour détecter des anomalies génétiques ou chromosomiques dans un embryon avant son implantation dans l’utérus. Réalisé dans le cadre d’une fécondation in vitro (FIV), il permet de sélectionner les embryons indemnes d’une pathologie identifiée chez les parents. Il a donc toute sa place ici mais celui-ci a lieu avant l’implantation et non pas au premier trimestre de la grossesse.
Son conjoint souhaite être testé. Il n’a pas d’antécédents personnels. L’électrophorèse de l’hémoglobine montre : HbA = 60 % ; HbS = 35 % ; HbA2 = 3 %.
Question 7 - Quelles propositions sont vraies ?
Tableau (Rodolphe Matias de Sousa, La Revue du Praticien)
Le diagnostic pré-implantatoire requiert une méthode de fécondation in vitro et est réalisé avant le transfert d’embryon.
L’amniocentèse est possible à partir de 15 SA.

Exercez-vous aux ECN avec les dossiers progressifs et les LCA de La Revue du Praticien