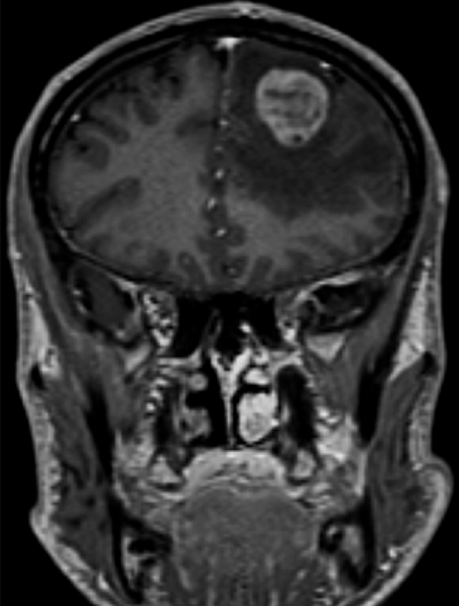
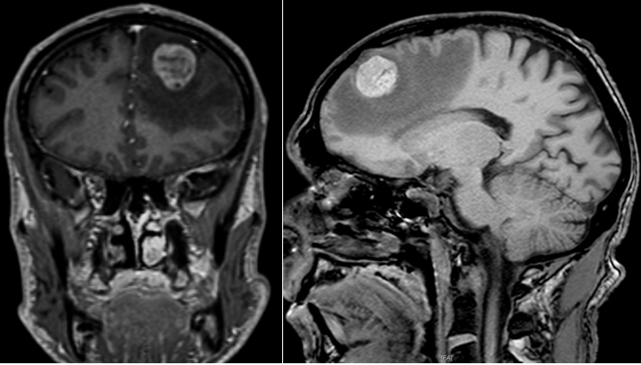
M. B., 72 ans, consulte à votre cabinet de médecine générale accompagné de son épouse pour de curieux phénomènes. En effet, récemment, il lui est arrivé à trois reprises d’avoir du mal à parler. Son épouse vous rapporte qu’il « bafouillait » pendant quelques secondes ou minutes. Les trois épisodes sont survenus à des moments complètement différents de la journée, sans horaire particulier. M. B. est inquiet car il n’arrivait pas à « trouver ses mots », ce qui ne lui était jamais arrivé auparavant. Dans ses antécédents, il vous rapporte un syndrome coronaire aigu traité par la pose d’un stent en 2000 et un tabagisme à 20 paquets-année sevré depuis cet accident. Votre examen clinique ne retrouve pas de déficit sensitif ni moteur mais montre une hyper-réflexivité ostéo-tendineuse de l’hémicorps droit avec signes de Hoffmann et de Babinski droits. Il n’y a pas d’anomalie des nerfs crâniens.
Question 1 - Vous déduisez de votre examen clinique que M. B. présente :
L’association d’une hyper-réflexivité ostéo-tendineuse de l’hémicorps droit avec signes de Hoffmann et de Babinski droits signifie qu’il existe une atteinte de la voie pyramidale droite. Comme le syndrome pyramidal est associé à des troubles de la parole, il faut d’emblée évoquer une origine encéphalique et non pas médullaire. Puisque le syndrome pyramidal est hémicorporel droit, on recherchera une atteinte encéphalique controlatérale, de l’hémisphère gauche, qui explique bien l’association à des troubles de la parole.




