M. T., 29 ans, se présente aux urgences pour une diplopie évoluant depuis deux semaines, accompagnée de céphalées frontales bilatérales peu intenses depuis 1 semaine. Il consulte car depuis la veille il ne voit plus double mais un ptosis droit s’est installé. Il n’a aucun antécédent et ne prend aucun traitement.
Question 1 - Vous caractérisez la diplopie grâce aux données suivantes :
Une diplopie binoculaire n’est présente que lorsque les 2 yeux sont ouverts en même temps (chaque œil perçoit une image unique mais elles ne sont pas situées au même endroit et se superposent donc), elle disparaît à l’occlusion d’un œil quel qu’il soit. Un patient peut donc présenter un trouble oculomoteur sans diplopie s’il présente un ptosis qui cache l’axe visuel d’un œil ou s’il est monophtalme. La diplopie est maximale dans le champ d’action du muscle touché. Une diplopie monoculaire correspond à un dédoublement de l’image perçu par un seul œil, elle persiste donc à l’occlusion de l’œil controlatéral et disparaît à l’occlusion de l’œil concerné.
Votre examen oculomoteur est le suivant :
Source : M. Philibert.
Question 2 - M. T. présente :
M. T. présente un défaut d’adduction et un ptosis à droite.
L’examen des pupilles à la lumière et à l’obscurité n’objective pas d’anisocorie.
Question 3 - La structure anatomique que vous suspectez être à l’origine des troubles de M. T. est :
M. T. présente une atteinte du nerf oculomoteur commun extrinsèque (III) partielle. Une atteinte extrinsèque complète est responsable d’une limitation de l’élévation, de l’abaissement et de l’adduction de l’œil homolatéral accompagnée d’un ptosis. En cas d’atteinte intrinsèque associée on observe une mydriase (anisocorie plus marquée à la lumière). La systématisation neurogène correspondant au territoire du III n’oriente pas vers une atteinte musculaire. Une atteinte du nerf trochléaire est responsable d’un déficit dans le regard en bas et en dedans entraînant une diplopie verticale ou oblique.
Question 4 - Les éléments essentiels pour compléter votre examen clinique sont :
Chez un patient qui présente une paralysie du nerf III, il est indispensable de rechercher des éléments faisant suspecter une rupture d’anévrysme : des douleurs (rétro-orbitaires ou céphalées), une atteinte intrinsèque du III caractérisée par une mydriase. Les autres éléments évocateurs sont une atteinte partielle, progressive ou chez un patient jeune. C’est la règle des 5 P (Partiel, Pupille, Pain (douleur), Progressif, Patient jeune). Devant toute anomalie d’un nerf crânien il est primordial de rechercher une atteinte associée d’un autre nerf crânien qui apportera une information topographique importante orientant les examens complémentaires. En cas d’atteinte concomitante du III et du V, il faut suspecter une atteinte du sinus caverneux. La présence d’un œdème papillaire et d’une paralysie du III ferait évoquer une anomalie de l’apex orbitaire ou de l’orbite et non pas une hypertension intracrânienne qui donne classiquement un œdème papillaire et une paralysie du VI. L’association de la paralysie du III à un déficit neurologique hémicorporel signe un syndrome alterne qui localise la lésion au niveau du tronc cérébral (et notamment du mésencéphale où se situe le noyau du III). La maladie de Horton serait à rechercher en priorité chez un patient de plus de 50 ans.
Question 5 - Une atteinte intrinsèque du nerf III signifie que :
Le nerf III est responsable d’une innervation extrinsèque : celle des muscles droit supérieur, droit inférieur, droit médial, oblique inférieur et releveur de la paupière supérieure, mais également d’une innervation intrinsèque qui contrôle le sphincter de l’iris par le biais du système autonome parasympathique. Une dysfonction du système parasympathique va donc entraîner une dilatation de la pupille homolatérale et l’on observe une mydriase aréflectique (puisque la contraction pupillaire dysfonctionne). L’examen des pupilles pour caractériser une anisocorie doit toujours s’effectuer à la lumière et à l’obscurité. En cas de mydriase, l’anisocorie est plus marquée à la lumière (puisque la pupille normale va se contracter normalement sous l’effet de la lumière alors que la pupille pathologique demeure grande). En cas de myosis, l’anisocorie est plus marquée à l’obscurité puisque la pupille saine va se dilater normalement alors que la pupille pathologique reste petite comme en ambiance lumineuse. De manière plus générale, la pupille pathologique est la pupille la moins variable.
Vous suspectez une paralysie partielle du nerf III extrinsèque.
Question 6 - Vous demandez en urgence l’examen suivant :
L’urgence absolue devant un III partiel douloureux (et devant une paralysie du III quelle que soit sa sémiologie de manière plus générale) est d’éliminer un anévrysme de la communicante postérieure qui serait fissuré. En effet, le nerf III quitte le tronc cérébral à la partie haute du mésencéphale et chemine entre la pince formée par la carotide interne et la communicante postérieure. Le seul examen à demander en urgence est une imagerie cérébrale injectée afin de bien visualiser le polygone de Willis. Chez un patient de plus de 50 ans, la deuxième urgence est d’éliminer une maladie de Horton grâce au dosage de la CRP.
Anatomie du nerf III (jaune), du nerf IV (vert) et du nerf VI (violet) [source : rapport de la Société française d’ophtalmologie sur le strabisme).
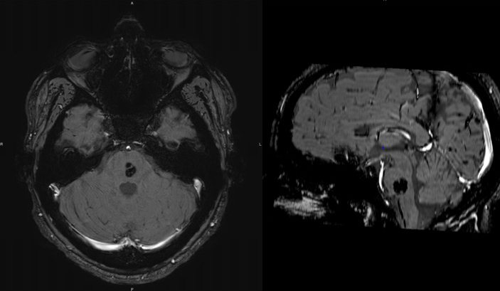
Vous demandez une IRM cérébrale injectée dont voici 2 clichés. La lésion du tronc cérébral est identifiée comme étant un angiome sans signe de saignement récent.
Source : M. Philibert.
Question 7 - Vous concluez :
L’IRM cérébrale retrouve une lésion du tronc cérébral qui est un angiome. Cependant, il est situé au niveau du pont alors que le noyau du III est situé à la partie haute du mésencéphale, il ne peut donc pas être en cause dans la paralysie. Le reste de l’IRM est normale. Il n’y a donc pas d’anomalie morphologique permettant d’expliquer le tableau clinique.
Source : M. Philibert.
L’IRM cérébrale ne retrouve pas de lésion permettant d’expliquer le tableau clinique. L’angiome protubérantiel est à distance du noyau du III et n’est pas responsable du tableau clinique.
Question 8 - Vos hypothèses diagnostiques sont :
En cas de névrite du III, l’IRM retrouverait une prise de contraste du III droit. En cas de poussée de sclérose en plaques, l’IRM aurait retrouvé des hypersignaux de la substance blanche sur la séquence FLAIR. Une myopathie aiguë ne se présente pas par une atteinte unilatérale mimant le territoire d’un nerf oculomoteur. Il peut exister des myosites (virales) d’un seul muscle orbitaire, une atteinte inflammatoire des muscles orbitaires (notamment le droit inférieur et le droit médial) dans le cadre d’une maladie de Basedow mais sans ptosis. Les myopathies oculaires sont responsables d’atteintes bilatérales et symétriques d’installation très progressive. Les deux hypothèses principales à évoquer devant ce tableau clinique sont un syndrome de Miller-Fisher qui est une forme de syndrome de Guillain-Barré responsable d’un tableau clinique d’ophtalmoplégie + ataxie + aréflexie et la myasthénie auto-immune qui peut de manière trompeuse mimer une atteinte neurogène oculomotrice.
Question 9 - Votre suspicion diagnostique de syndrome de Miller-Fisher serait confortée par la présence :
Le syndrome de Miller Fisher qui est une forme de syndrome de Guillain-Barré responsable d’un tableau clinique d’ophtalmoplégie, ataxie, aréflexie. Il est souvent lié à une infection digestive par Campylobacter jejuni. La présence de diarrhée ayant précédé l’installation du tableau est donc évocatrice. Il n’y a en revanche ni dyspnée ni hypoesthésie faciale.
Vous ne retrouvez aucun argument à votre interrogatoire ni à votre examen clinique confortant votre hypothèse de Miller-Fisher.
Question 10 - Pour orienter votre suspicion diagnostique de myasthénie auto-immune, vous réalisez certains tests cliniques simples très utiles :
Dans la myasthénie la communication entre le nerf est le muscle est altérée par la présence d’anticorps qui bloquent la communication neuromusculaire. La symptomatologie se présente donc par un déficit moteur dont la caractéristique spécifique est d’être fluctuant en fonction du degré d’effort musculaire. Lors de toute suspicion de myasthénie, il est donc primordial de réaliser des tests de fatigabilité. Le ptosis va donc être fatigable et se majorer au cours de la consultation si l’on demande au patient d’ouvrir et fermer ses paupières de manière successive ou s’il maintient le regard vers le haut de manière prolongée (car cette direction sollicite et donc fatigue le muscle releveur de la paupière et l’on observe alors une chute lente de la paupière pathologique). La communication neuromusculaire (et donc le déficit myasthénique) est améliorée par le froid. Le fait de poser un glaçon sur la paupière supérieure concernée par le ptosis entraîne une diminution temporaire du ptosis. Il n’y a jamais dans la myasthénie de déficit sensitif (puisque c’est la communication motrice entre le nerf et le muscle qui dysfonctionne), ni de modification des réflexes ostéotendineux ni d’anisocorie.
Vous réalisez judicieusement un test au glaçon qui revient positif.
Source : M. Philibert.
Question 11 - Pour conforter votre diagnostic de myasthénie vous programmez :
Le diagnostic de myasthénie est confirmé par le dosage biologique des anticorps anti-récepteurs de l’acétylcholine (anti-RAC) – présents dans 80 % des myasthénies généralisées et 50 % des myasthénies oculaires – et la réalisation d’un électroneuromyogramme (ENMG) qui met en évidence un bloc neuromusculaire post-synaptique = présence d’un décrément (diminution de l’amplitude du potentiel évoqué musculaire (≥ 10 %) pour les stimulations répétitives à basse fréquence. La stimulation à haute fréquence et le dosage des anticorps anti-canaux calciques voltage-dépendants est utile dans le diagnostic du syndrome myasthéniforme de Lambert-Eaton dont la symptomatologie est inverse (déficit moteur au repos qui s’améliore à l’effort). Le scanner thoracique apporte un argument diagnostique supplémentaire s’il retrouve une anomalie du thymus, ce qui servira également dans l’arbre thérapeutique.
Le dosage des anticorps anti-récepteurs de l’acétylcholine est positif. L’ENMG montre un décrément significatif au niveau des couples nerf muscle facial/releveur de la paupière supérieure et spinal/trapèze droit. Le scanner thoracique conclut à la présence d’un reliquat thymique sans thymome malin.
Question 12 - Vous proposez à M. T. de débuter avec le traitement suivant :
En première intention, on commence par proposer un traitement symptomatique par pyridostigmine puisqu’il n’y a pas de signes de gravité. Dans un second temps on pourra proposer une corticothérapie à demi-dose (dans les formes oculaires) si les symptômes persistent. Le traitement immunosuppresseur et la thymectomie sont réservés aux myasthénies généralisées.
Vous débutez initialement un traitement symptomatique seul par pyridostigmine à la dose de 3 à 6 comprimés par jour.
Question 13 - En parallèle de ce traitement, vous expliquez à M. T. :
La myasthénie est une maladie prise en charge à 100 %. Il est impératif d’éduquer le patient qui doit toujours porter sur lui sa carte de patient myasthénique. Celle-ci sert notamment, en cas d’accident, à éviter d’utiliser des curares si une anesthésie est nécessaire. Il faut également remettre au patient une liste des traitements contre-indiqués (bêtabloquants, quinine, curares…) qu’il devra présenter à son médecin et son pharmacien.
Un mois après avoir débuté son traitement, M. T. vous contacte car malgré la nette amélioration des symptômes oculaires, il présente depuis une semaine des crampes, des fasciculations des muscles des membres inférieurs, ainsi qu’une diarrhée invalidante.
Question 14 - Vous répondez à M. T. :
M. T. présente les symptômes d’un surdosage en pyridostigmine avec l’association de signes muscarinique (hypersécrétion bronchique, intestinale, salivaire et sudorale) et de signes nicotiniques (fasciculations, crampes musculaires, tremblements). La prise en charge consiste à diminuer les doses du traitement en ambulatoire. Il est cependant nécessaire de voir le patient en consultation pour s’assurer de l’absence de symptômes myasthéniques associés.
La symptomatologie précédente s’est rapidement atténuée après la diminution de la dose de la pyridostigmine. M. T. ne présentait aucun signe en lien avec sa myasthénie lors de votre précédent examen clinique. Il vous contacte à nouveau car la diplopie et le ptosis sont réapparus depuis 15 jours et, depuis 1 semaine, il se plaint également d’une fatigabilité à la marche avec un essoufflement significatif et quelques fausses routes.
Question 15 - Votre attitude thérapeutique consiste à :
M. T. présente une myasthénie généralisée avec des signes de gravité (troubles de la déglutition, dyspnée) qui nécessitent une hospitalisation en réanimation en urgence. Le traitement de la crise aiguë de myasthénie repose sur des immunoglobulines intraveineuses. Il est ensuite indiqué de pratiquer une thymectomie.

Exercez-vous aux ECN avec les dossiers progressifs et les LCA de La Revue du Praticien