Vous êtes de garde aux urgences et recevez M. G., 55 ans, venu avec sa femme qui le trouve « jaune comme un citron » depuis deux jours.
En l’interrogeant, il vous explique que depuis quinze jours ses urines sont très foncées et ses selles anormalement claires. Il y a quarante-huit heures, sa femme lui a fait remarquer que ses yeux jaunissaient et il a eu des frissons à plusieurs reprises. Il vous dit ressentir une gêne épigastrique avec irradiation dorsale depuis un mois et a perdu 8 kg en trois mois.
Il a comme seul antécédent un méningiome sous surveillance depuis cinq ans et ne prend aucun traitement. Il fume un paquet de cigarettes par jour depuis trente ans et buvait deux verres de whisky par jour mais est complètement sevré depuis dix ans.
À l’examen clinique, vous observez un ictère conjonctival. Il a un abdomen sensible en épigastre et hypochondre droit, sans défense. L’examen cardiopulmonaire est normal.
Ses constantes : température (T°) = 38,4 °C ; fréquence cardiaque (FC) = 106 battements par minute ; pression artérielle (PA) = 100/65 mmHg ; saturation en oxygène (SaO2) = 96 % en air ambiant.
Question 1 - Devant ce tableau clinique, vous évoquez comme diagnostic(s) :
M. G. a un tableau de douleur épigastrique irradiant dans le dos, associé à un ictère et de la fièvre, qui est la triade évocatrice de l’angiocholite. Il faut ensuite réfléchir à la cause de cette angiocholite : – une lithiase, mais le tableau serait plus brutal ; – un cancer entraînant une compression des voies biliaires : un cholangiocarcinome, un cancer de la tête du pancréas, des métastases hépatiques de n’importe quel cancer primitif. La perte de poids est en faveur. Le tableau n’est pas évocateur d’une hépatite aiguë en première intention. L’hépatite aiguë est asymptomatique dans la majorité des cas et les symptômes de l’hépatite sont aspécifiques : nausée, vomissements, douleurs abdominales diffuses, céphalées. Les douleurs épigastriques irradiant dans le dos et qui signent la douleur bilio-pancréatique, l’ictère, la perte de poids depuis trois mois ne sont pas en faveur de ce diagnostic. La cholécystite est une inflammation de la vésicule biliaire, elle n’entraîne ni ictère ni fièvre. L’atrésie des voies biliaires et une maladie congénitale qui entraîne une malformation des voies biliaires. Elle se déclare à la naissance et nécessite dans la majorité des cas une prise en charge chirurgicale (intervention de Kasaï où l’on remplace les voies biliaires par un segment d’intestin grêle, très schématiquement).
Question 2 - Afin d’étayer votre diagnostic, vous demandez en première intention l’/les analyse(s) biologique(s) et/ou radiologique(s) suivante(s) :
Le CA19-9 est un marqueur sanguin de l’adénocarcinome pancréatique, comme l’antigène carcino-embryonnaire (ACE). Cependant, il n’est pas utilisé pour le diagnostic. Il peut être dosé au diagnostic pour suivre son évolution au cours de la maladie mais n’est en aucun cas un marqueur diagnostique.
Dans l’angiocholite, la bilirubinémie est élevée. Sa valeur nous permettra de confirmer le diagnostic.
Le scanner va nous permettre plusieurs choses : – confirmer un obstacle sur les voies biliaires devant une dilatation des voies biliaires ; – identifier un potentiel obstacle au niveau des voies biliaires, un calcul ou une masse. Ces deux étiologies sont les plus fréquentes. Le scanner n’est pas le meilleur examen pour voir précisément les calculs, c’est l’échographie ou la bili-IRM. Cependant on peut voir une vésicule lithiasique sur un scanner. La proposition échographie abdominale aurait été également vraie.
La bili-IRM (IRM des voies biliaires) n’est pas un examen réalisé en urgence. Elle permet d’identifier un calcul enclavé au niveau des voies biliaires ou de mieux caractériser les voies biliaires lorsque le scanner ou l’échographie ne permet pas de déterminer l’étiologie de l’angiocholite.
Les hémocultures permettront de documenter une éventuelle bactériémie associée à l’angiocholite, étant donné que M. G. est fébrile et a eu des frissons à domicile.
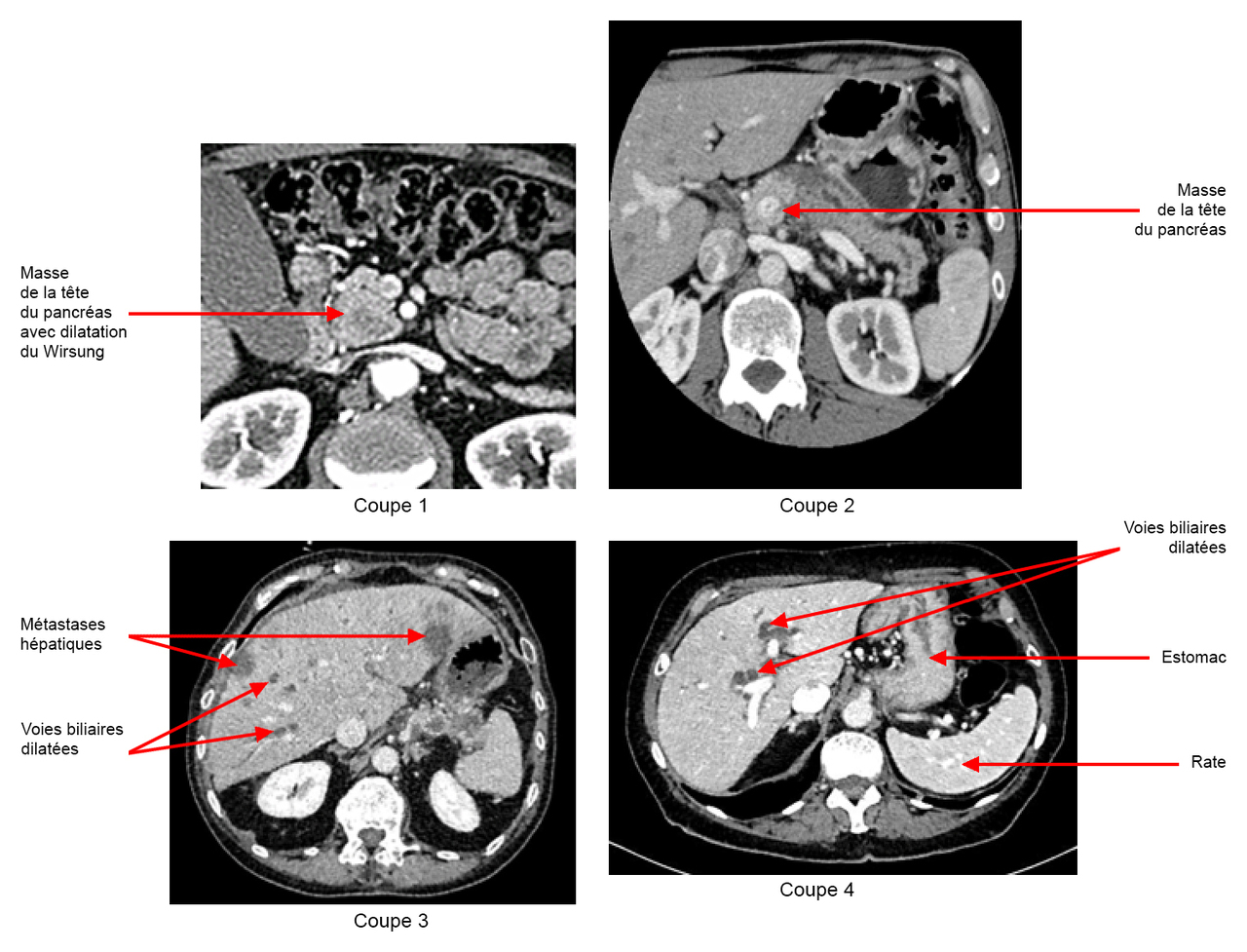
Vous recevez les résultats du bilan biologique : – hémoglobine (Hb) = 10,1 g/dL ; volume globulaire moyen (VGM) = 75 fl ; plaquettes = 550 G/L ; leucocytes = 18 G/L dont polynucléaires neutrophiles (PNN) à 15 G/L ; – natrémie = 136 mmol/L ; kaliémie = 3,4 mmol/L ; créatininémie = 70 umol/L ; – aspartate aminotransférase (ASAT) = 230 U/L (N < 30) ; alanine aminotransférase (ALAT) = 241 U/L (N < 30) ; gamma GT = 879 U/L (N < 60) ; phosphatases alcalines = 967 U/L (N < 100) ; bilirubine totale = 460 µmol/L (N < 17) ; bilirubine conjuguée = 400 µmol/L ; protéine C réactive (CRP) = 300 mg/L ; ferritine = 974 µg/L ; coefficient de saturation de la transferrine = 21 % ; taux de prothrombine (TP) = 45 %, facteur V = 98 %. Voici les coupes de scanner : Figure 1 (Source : Elisabeth Capelle, La Revue du Praticien)
Question 3 - Après avoir vu le scanner et les résultats biologiques, vous pouvez affirmer que :
Voir figure 2 dans le commentaire de la question.
Voir figure 2 dans le commentaire de la question.
Les hypodensités hépatiques sont probablement des métastases hépatiques, étant donné leur nombre, leur forme et surtout le contexte.
M. G. a un TP abaissé avec un facteur V normal. La chute du TP est donc liée à une carence en vitamine K qui est causée par l’ictère qui empêche une absorption correcte de la vitamine K. Les facteurs vitamino-K dépendants sont les facteurs X, IX, VII et II ainsi que les protéines C et S.
M. G. a une anémie car son hémoglobine est inférieure à 13 g/L. Elle est microcytaire car son VGM est 80 fL. Une anémie microcytaire peut être due à une carence martiale ou une inflammation. Ici, la CRP à 300 mg/L oriente vers une origine inflammatoire. La ferritine élevée est peu interprétable dans ce contexte inflammatoire mais le coefficient de saturation non effondré (> 10 %) rend peu probable une carence martiale associée. On pourrait aussi demander un récepteur soluble de la transferrine qui, en cas d’élévation, serait en faveur d’une carence martiale associée.
Figure 2 (Source : Elisabeth Capelle, La Revue du Praticien)
Vous faites donc le diagnostic d’angiocholite sur obstruction des voies biliaires par une tumeur de la tête du pancréas, associée à des images évocatrices de métastases hépatiques.
Question 4 - Concernant la suite de votre prise en charge, la/les proposition(s) exacte(s) est/sont :
Cette bi-antibiothérapie est le traitement antibiotique probabiliste de l’angiocholite.
Il faut drainer la bile afin de permettre la résolution de l’angiocholite. Plusieurs options sont possibles dont la pose d’un drain interne-externe en radiologie interventionnelle.
Il faut drainer la bile afin de permettre la résolution de l’angiocholite. Une des options est d’aller mettre une prothèse dans la voie biliaire principale pour rétablir le trajet. L’intérêt du drainage endoscopique est qu’il n’y a pas de drain à l’extérieur.
On ne draine pas chirurgicalement une angiocholite, les voies endoscopiques ou radiologiques sont moins invasives et privilégiées
L’urgence est de drainer la bile pour éviter le choc septique.
Lors d’une angiocholite, les deux mesures qui sont les plus importantes sont l’initiation de l’antibiothérapie qui doit être mise en route dès la suspicion diagnostique et le drainage. Le drainage doit être fait (connaissance non nécessaire pour l’ECN) : – en urgence en cas de défaillance d’organe associée, c’est-à-dire dès que possible et au plus tard à H24 ; – s’il n’y a pas de défaillance d’organe mais que le patient est âgé avec une sévérité biologique (chiffre de bilirubine, CRP très élevée) : dès que possible et au plus tard dans les 72 heures ; – s’il n’y pas de critère de gravité, dans les 72 heures.
Vous initiez une antibiothérapie par ceftriaxone-métronidazole et vous hospitalisez M. G. en gastro-entérologie. Après discussion pluridisciplinaire avec les radiologues et les gastro-entérologues, l’équipe a opté pour un drainage endoscopique et M. G. bénéficie en urgence de la pose d’une prothèse biliaire métallique par cholangiopancréatographie rétrograde endoscopique (CPRE), avec prélèvements à visée histologique lors de la procédure. Le lendemain de la procédure, M. G. a une douleur épigastrique transfixiante, intense, irradiant dans le dos, qui ne ressemble pas à ses douleurs habituelles. Ses constantes sont les suivantes : pression artérielle (PA) = 118/80 mmHg ; température (T°) = 36,4 °C ; fréquence cardiaque (FC) = 98 battements par minute ; saturation en oxygène (SpO2) = 97 % en air ambiant.
Question 5 - Afin de confirmer votre hypothèse principale expliquant les nouvelles douleurs, vous demandez comme examen(s) complémentaire(s) en urgence :
On suspecte une pancréatite aiguë post-CPRE. Le scanner sera fait à 72-96 heures afin de stratifier la gravité de la pancréatite.
Non indiquée pour le diagnostic de pancréatite aiguë.
Le dosage > 3N confirme le diagnostic de pancréatite aiguë.
L’ulcère gastrique n’est pas l’hypothèse diagnostique principale.
Non indiquée pour le diagnostic de pancréatite aiguë.
On suspecte fortement une pancréatite aiguë post-CPRE, qui est l’effet indésirable principal de ce geste. Afin de le confirmer, on fait un dosage de la lipase qui doit être > 3N. La douleur associée à la lipase augmentée suffit au diagnostic. On réalise ensuite un scanner abdomino-pelvien avec injection à 72-96 heures afin d’évaluer la gravité de la pancréatite aiguë. La nécrose de la glande pancréatique et la présence de coulées de nécrose sont des éléments scannographiques de gravité.
Le dosage de la lipase > 3N vous confirme votre hypothèse de pancréatite aiguë post-CPRE. Le scanner abdomino-pelvien à 72 heures du début des douleurs montre une pancréatite aiguë non grave (computed tomography severity index [CTSI] de 2), d’évolution favorable avec traitement symptomatique. Le drainage par prothèse biliaire est efficace, la bilirubinémie se normalise et la fièvre disparaît. Vous recevez sept jours après le geste les résultats histologiques qui montrent un adénocarcinome pancréatique.
Question 6 - Afin de bénéficier de tous les éléments nécessaires pour décider du traitement, vous organisez pour M. G. :
Le bilan d’extension d’un cancer du pancréas repose sur un scanner thoraco-abdomino-pelvien avec injection au temps artériel et portal.
Le TEP-scan n’est pas indiqué dans le bilan d’extension du cancer du pancréas.
L’IRM hépatique ne fait pas partie du bilan de première intention du cancer du pancréas. On peut le discuter dans un second temps en cas de métastase hépatique unique potentiellement accessible à une résection chirurgicale.
Vous vous orientez vers une prise en charge par chimiothérapie. Il est nécessaire d’avoir une évaluation nutritionnelle avec prise de poids, indice de masse corporelle (IMC), dosage de l’albumine et de la préalbumine afin d’initier un support nutritionnel par alimentation entérale ou compléments alimentaires oraux si nécessaire. Un état nutritionnel trop précaire peut contre-indiquer temporairement une chimiothérapie.
Un bilan endoscopique ne fait pas partie du bilan d’extension du cancer du pancréas.
Le scanner thoracique montre des métastases pulmonaires associées aux métastases hépatiques. Vous décidez en réunion de concertation pluridisciplinaire (RCP) d’une chimiothérapie par folfirinox, soit une association de 5-fluoro-uracile, oxaliplatine et irinotécan, chez ce patient jeune avec un état nutritionnel préservé et un score OMS à 1.
Question 7 - M. G. vous demande de lui expliquer les effets secondaires attendus à la suite de l’initiation du traitement par folfirinox. Vous lui expliquez que :
Effet indésirable du 5-FU.
Seuls les vaccins vivants atténués sont contre-indiqués lors de la chimiothérapie. On attend en revanche une efficacité amoindrie des vaccinations après avoir reçu la chimiothérapie.
La neutropénie est provoquée par une toxicité médullaire de la chimiothérapie. Elle favorise les infections.
Effet indésirable de l’oxaliplatine.
Toutes les chimiothérapies sont pourvoyeuses de diarrhée, particulièrement l’irinotécan.
Le folfirinox est une tri-chimiothérapie constituée de : – 5 fluoro-uracile, molécule appartenant à la classe des antimétabolites. Il est nécessaire avant d’initier son traitement de doser l’uracilémie à la recherche d’un déficit d’activité de la dihydropyrimidine déshydrogénase (DPD). Si le patient a un déficit, il n’éliminera pas correctement la molécule et à risque de toxicité majeure. Ce dosage est médicolégal. Son effet indésirable principal est le spasme coronarien mimant un infarctus du myocarde, au moment de la perfusion ; – oxaliplatine, molécule appartenant à la famille des sels de platine. Son effet indésirable majeur est la neuropathie périphérique touchant d’abord les extrémités et se manifestant par des picotements et une diminution de la sensibilité. Elle peut aller jusqu’à entraîner des lâchages d’objet et contre-indique alors l’utilisation de la molécule ; – irinotécan, molécule appartenant à la famille des inhibiteurs de topo-isomérase. Son effet indésirable majeur est la diarrhée. Hormis les effets indésirables propres à chaque molécule, il existe les effets indésirables imputables à toute molécule de chimiothérapie : – pancytopénie par toxicité médullaire. Le plus redoutable est la neutropénie fébrile ; – nausées, vomissements ; – diarrhée ; – perte de cheveux ; – asthénie.
Il faut ensuite réfléchir à la cause de cette angiocholite :
– une lithiase, mais le tableau serait plus brutal ;
– un cancer entraînant une compression des voies biliaires : un cholangiocarcinome, un cancer de la tête du pancréas, des métastases hépatiques de n’importe quel cancer primitif. La perte de poids est en faveur.
Le tableau n’est pas évocateur d’une hépatite aiguë en première intention. L’hépatite aiguë est asymptomatique dans la majorité des cas et les symptômes de l’hépatite sont aspécifiques : nausée, vomissements, douleurs abdominales diffuses, céphalées. Les douleurs épigastriques irradiant dans le dos et qui signent la douleur bilio-pancréatique, l’ictère, la perte de poids depuis trois mois ne sont pas en faveur de ce diagnostic.
La cholécystite est une inflammation de la vésicule biliaire, elle n’entraîne ni ictère ni fièvre.
L’atrésie des voies biliaires et une maladie congénitale qui entraîne une malformation des voies biliaires. Elle se déclare à la naissance et nécessite dans la majorité des cas une prise en charge chirurgicale (intervention de Kasaï où l’on remplace les voies biliaires par un segment d’intestin grêle, très schématiquement).