Vous recevez en consultation Madame C., âgée de 25 ans, pour des douleurs abdominales associées à une diarrhée, adressée par son médecin traitant. Elle n’a aucun antécédent, ne prend pas de traitement. Vous apprenez que sa mère est suivie pour une hyperthyroïdie. Elle fume 20 cigarettes par jour depuis l’âge de 16 ans.

Elle a depuis environ 6 mois des douleurs en fosse iliaque droite, s’accentuant après les repas, lors de « gonflements » abdominaux, soulagées après exonération. Elle pèse 50 kg, elle a perdu 3 kg. Elle a 3 à 5 selles par jour, parfois liquides. Elle a vomi à 2 reprises ces derniers jours.

Le bilan biologique présenté ce jour retrouve une hémoglobine à 10,5 g/dL, volume globulaire moyen à 75 fL, des leucocytes à 11 500/mm3, plaquettes à 550 000/mm3, une ferritine à 5 mg/L et une CRP à 15 mg/L, le bilan hépatique est normal. La bandelette urinaire et le taux de ß-hCG sont négatifs. Les anticorps anti-transglutaminase de type IgA sont négatifs

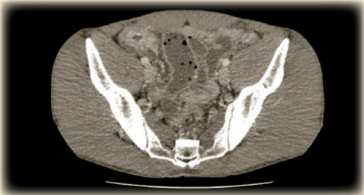
Voici les résultats du scanner abdomino-pelvien réalisé à la demande de son médecin traitant :

Quel diagnostic évoquez-vous en premier lieu ?
Quelles sont les deux grandes causes d’anémie chez cette patiente?
La coloscopie réalisée dans le cadre du bilan étiologique retrouve une iléite terminale ulcérée siégeant sur une muqueuse érythémateuse et des ulcérations aphtoïdes sur l’ensemble des segments coliques. Vous avez réalisé des biopsies.
Concernant l’histologie dans les MICI (maladies inflammatoires chroniques de l’intestin), quelle(s) est(sont) la(les) proposition(s) vraie(s) ?
Concernant les MICI, quelle est la proposition fausse ?

Exercez-vous aux ECN avec les dossiers progressifs et les LCA de La Revue du Praticien