Un homme de 51 ans, aux antécédents de tumeur parotidienne, est hospitalisé pour des troubles de la marche et une hémiparésie gauche d’apparition progressive.
Une imagerie par résonance magnétique (IRM) cérébrale est réalisée.
Quel est votre diagnostic ?
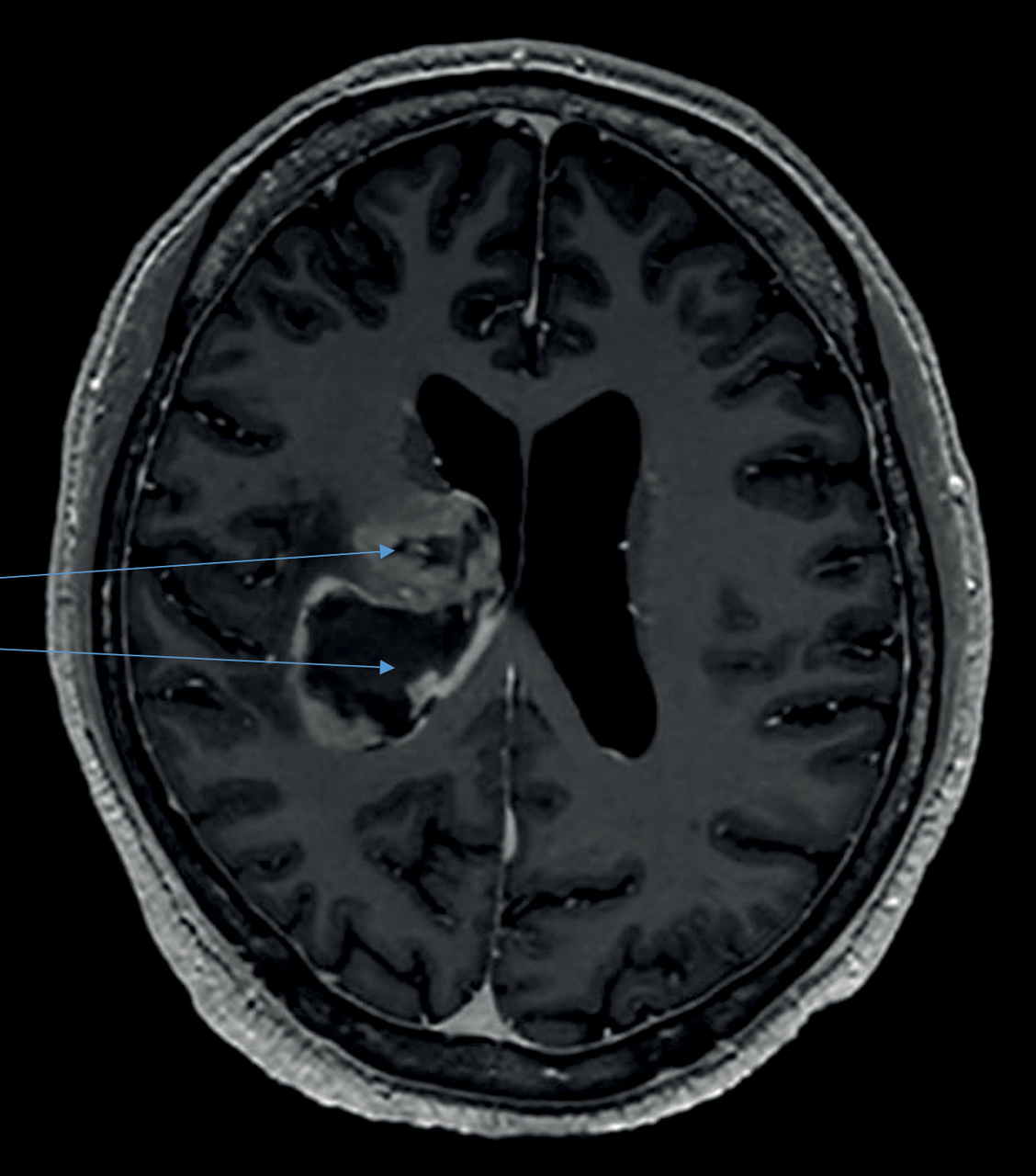
L’IRM montre une lésion rehaussée, à paroi épaisse, charnue et nécrotique capsulolenticulaire et thalamique postérieure droite, étendue à la paroi ventriculaire et à la substance blanche profonde de la région centrale. Il existe un effet de masse modéré avec déplacement du troisième ventricule et élargissement du ventricule controlatéral. La biopsie cérébrale confirme le diagnostic de glioblastome.
Une radiothérapie et une chimiothérapie concomitantes sont débutées, avec un traitement adjuvant par témozolomide.
Par Olivier Fain, service de médecine interne, hôpital Saint-Antoine, Paris, France
Une radiothérapie et une chimiothérapie concomitantes sont débutées, avec un traitement adjuvant par témozolomide.
Par Olivier Fain, service de médecine interne, hôpital Saint-Antoine, Paris, France