Vous recevez en consultation M. Z., 80 ans, qui souffre depuis 1 mois de troubles de l’équilibre d’aggravation progressive, de la coordination et de la déglutition, de dysarthries et d’une spasticité avec perte de la marche. Il n’a pas d’antécédent personnel ou familial.
Pas de méningite après ponction lombaire. Sa biologie n’a aucune particularité.
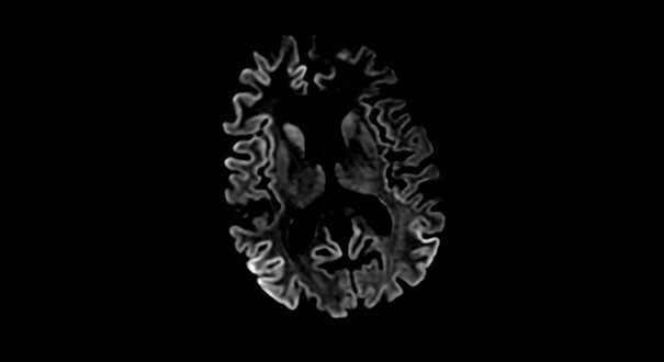
Vous réalisez une IRM cérébrale, dont voici une coupe axiale.
Quel est votre diagnostic ?
La clinique ainsi que le liseré cortical en hypersignal diffusion sont très évocateurs. Pour confirmer le diagnostic, mesurer le taux de protéine 14-3-3 dans le LCR (attention : prendre des précautions renforcées pour la ponction lombaire afin de ne pas contracter la pathologie). Il convient de dépister les formes génétiques. Aucun traitement n’existe à ce jour, l’évolution se fait vers l’aggravation et le décès.
Pour en savoir plus : Brandel J-P. Maladies à prion. Rev Prat 2024;74(10);1121-4.
Par le Dr Jeanne De la Rochefoucauld, service de médecine interne, hôpital de la Pitié-Salpêtrière, Paris.
Pour en savoir plus : Brandel J-P. Maladies à prion. Rev Prat 2024;74(10);1121-4.
Par le Dr Jeanne De la Rochefoucauld, service de médecine interne, hôpital de la Pitié-Salpêtrière, Paris.