Vous recevez une patiente de 62 ans pour une douleur thoracique. Le scanner est le suivant.
Quel est votre diagnostic ?
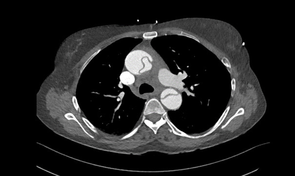
On voit très bien sur ce temps artériel le flap intimal au niveau de l’aorte ascendante et descendante. C’est une urgence chirurgicale absolue.
On ne peut pas affirmer qu’il y a une aortite car les parois de l’aorte ne semblent pas épaissies. L’examen anatomopathologique de la pièce opératoire aura le dernier mot.
La fenêtre médiastinale ne permet pas de voir le parenchyme pulmonaire : il est donc impossible de conclure à un pneumothorax. De plus, hors contexte traumatique, il est rare, voire exceptionnel, d’avoir à la fois dissection aortique et pneumothorax.
La larva migrans est une maladie parasitaire qui n’a rien à voir avec l’aorte.
Les artères pulmonaires ne sont pas visibles, ce n’est pas le bon moment pour éliminer une embolie pulmonaire. La concomitance des deux diagnostics est exceptionnelle.
Pour en savoir plus : Alsac JM. Dissection aortique à la phase aiguë.  Rev Prat 2021;71(8);842-6.
 
Par la Dr Jeanne De la Rochefoucauld, service de médecine interne, hôpital de la Pitié-Salpêtrière, Paris.

Exercez-vous aux ECN avec les dossiers progressifs et les LCA de La Revue du Praticien