Un homme âgé de 25 ans est hospitalisé pour une fièvre à 39 °C évoluant depuis un mois, associée à une tuméfaction cervicale connue depuis quatre mois. Une TEP-TDM au 18-FDG est réalisée.
Quel est votre diagnostic ?
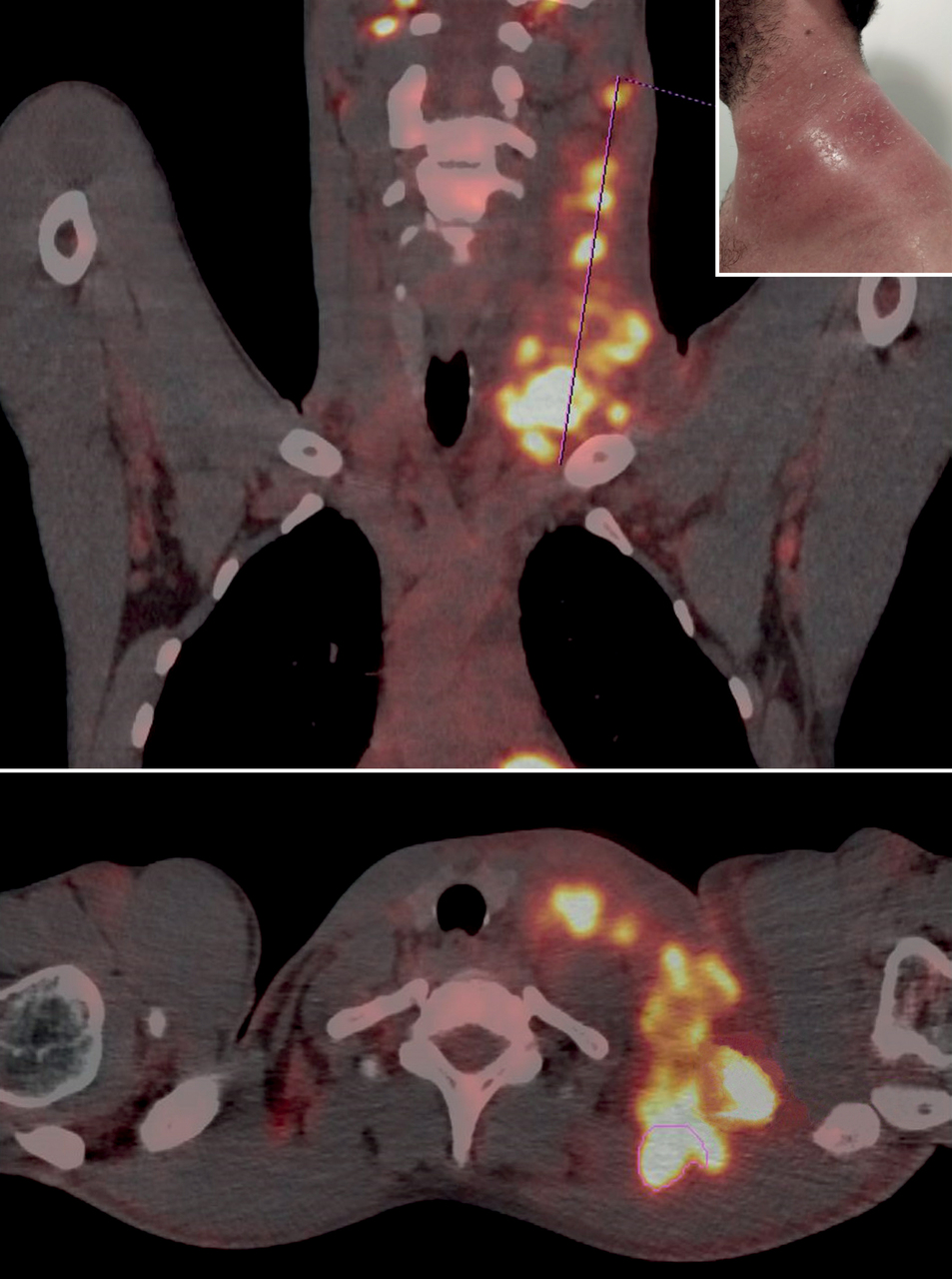
La tomographie par émission de positonstomodensitométrie (TEP-TDM au 18 FDG) montre un hypermétabolisme pathologique en regard d’une volumineuse infiltration tumorale ganglionnaire de fixation hétérogène cervicale gauche multiple, étendue dans le médiastin supérieur, en rétroclaviculaire gauche et en arrière du grill costal supérieur gauche avec inflammation sous-cutanée diffuse. La biopsie sous scanner n’est pas contributive. L’exérèse ganglionnaire ne permet pas de conclure entre un lymphome de Hodgkin peu cellulaire ou une localisation de lymphome T.
Par Olivier Fain, service de médecine interne, hôpital Saint-Antoine, Paris.

Exercez-vous aux ECN avec les dossiers progressifs et les LCA de La Revue du Praticien