Vous recevez un patient de 65 ans adressé pour altération modérée de l’état général et syndrome inflammatoire prolongé. Il a eu plusieurs pancréatites au cours des dernières années. Il vient muni des résultats d’un TEP scanner dont voici les images clefs.
Quel est votre diagnostic ?
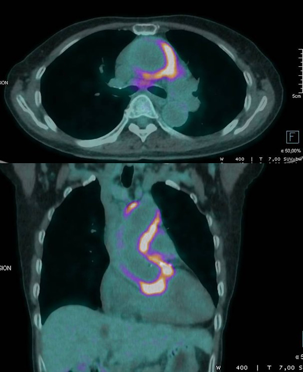
Il existe très clairement un épaississement hypermétabolique de l’aorte thoracique ascendante évocateur d’une aortite, qui fait partie du spectre des vascularites des gros vaisseaux.
Il faut rechercher des arguments pour une artérite à cellules géantes, une vascularite à ANCA (qui donne plus souvent une atteinte des petits vaisseaux, mais parfois aussi des aortites), une maladie associée aux IgG4 (surtout vu les pancréatites à répétition), et aussi bien sûr les aortites infectieuses.
Il faut rechercher des arguments pour une artérite à cellules géantes, une vascularite à ANCA (qui donne plus souvent une atteinte des petits vaisseaux, mais parfois aussi des aortites), une maladie associée aux IgG4 (surtout vu les pancréatites à répétition), et aussi bien sûr les aortites infectieuses.
Pour en savoir plus :
Greigert H, Bonnotte B, Samson M. Diagnostic de l’artérite à cellules géantes. Rev Prat 2023;73(4):387-93.
Greigert H, Bonnotte B, Samson M. Traitement de l’artérite à cellules géantes. Rev Prat 2023;73(4):395-8.
Par la Dr Jeanne De la Rochefoucauld, service de médecine interne, hôpital de la Pitié-Salpêtrière, Paris.