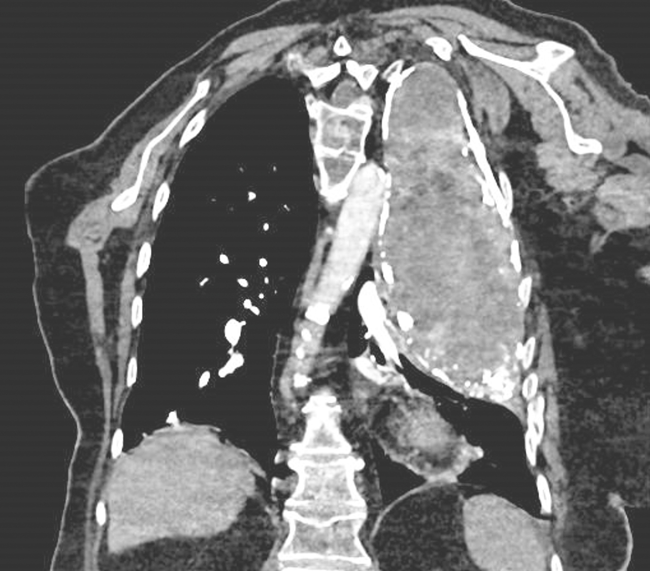
Une femme de 97 ans est hospitalisée pour fièvre et toux. La PCR Covid-19 est positive. Voici son scanner thoracique.
Quel est votre diagnostic ?



Exercez-vous aux ECN avec les dossiers progressifs et les LCA de La Revue du Praticien